Click here to close Hello! We notice that you are using Internet Explorer, which is not supported by Xenbase and may cause the site to display incorrectly. We suggest using a current version of Chrome, FireFox, or Safari.
XB-IMG-75925

Xenbase Image ID: 75925


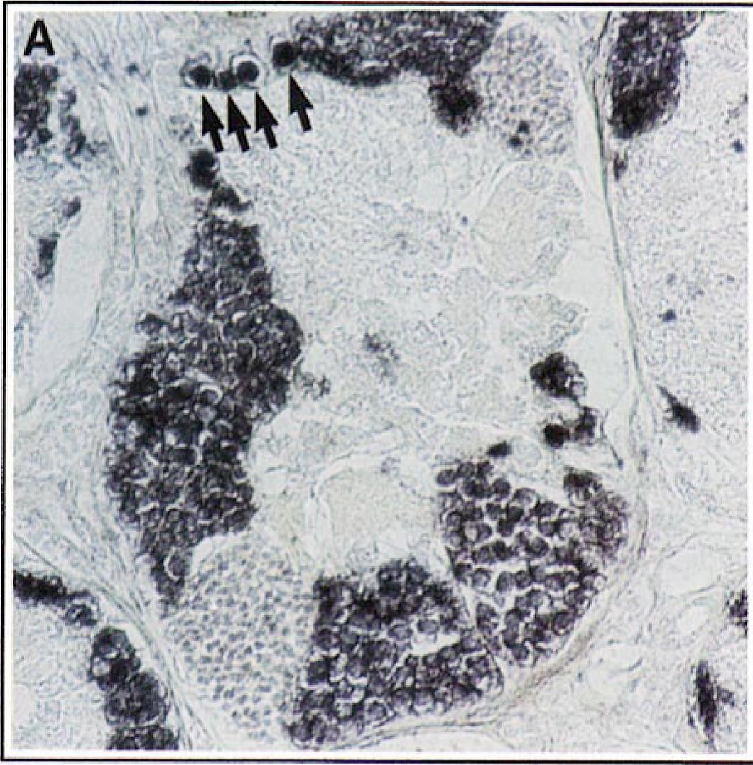
ddx4 (DEAD (Asp-Glu-Ala-Asp) box polypeptide 4) expression in sections of adult gonad detected by immunohistochemistry. (A) A section of the seminiferous tubules of the testis. Spermatocytes (SC) are strongly stained and spermatids (ST) are slightly stained, but spermatozoa (SP) are not stained at all. Some cells (arrows), in which the nucleus is stained, are thought to be primary spermatogonia (SG).

Image published in: Komiya T et al. (1994)

Copyright © 1994. Image reproduced with permission of the Publisher, Elsevier B. V.

GeneSynonymsSpeciesStage(s)Tissue
ddx4.Lvasa-like gene 1, xvlg1X. laevisThroughout NF stage 66germ cell
testis
spermatocyte
spermatid
primary spermatogonium

Image source: Published

Larger Image
Printer Friendly View

Return to previous page