Click here to close Hello! We notice that you are using Internet Explorer, which is not supported by Xenbase and may cause the site to display incorrectly. We suggest using a current version of Chrome, FireFox, or Safari.

Profile Publications (9)
XB-PERS-1085

Publications By Stephen R. Voss

???pagination.result.count???

???pagination.result.page??? 1


Do organisms need an impact factor? Citations of key biological resources including model organisms reveal usage patterns and impact., Piekniewska A, Roelandse M, Lloyd KCK, Korf I, Voss SR, de Castro G, Magnani DM, Varga Z, James-Zorn C, Horb M, Grethe JS, Bandrowski A., PLoS One. August 13, 2025; 20 (8): e0327344.


Ion channel signaling influences cellular proliferation and phagocyte activity during axolotl tail regeneration., Franklin BM, Voss SR, Osborn JL., Mech Dev. August 1, 2017; 146 42-54.


A linkage map for the Newt Notophthalmus viridescens: Insights in vertebrate genome and chromosome evolution., Keinath MC, Voss SR, Tsonis PA, Smith JJ., Dev Biol. June 15, 2017; 426 (2): 211-218.


Gene expression patterns specific to the regenerating limb of the Mexican axolotl., Monaghan JR, Athippozhy A, Seifert AW, Putta S, Stromberg AJ, Maden M, Gardiner DM, Voss SR., Biol Open. July 15, 2012; 1 (10): 937-48.   


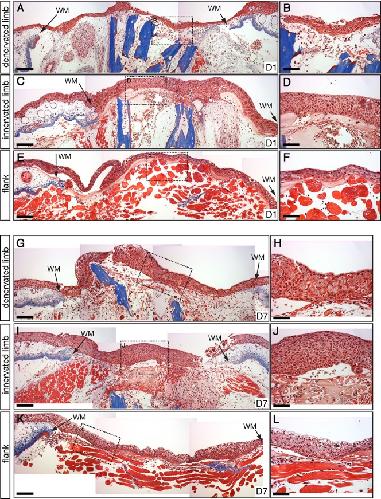
Skin regeneration in adult axolotls: a blueprint for scar-free healing in vertebrates., Seifert AW, Monaghan JR, Voss SR, Maden M., PLoS One. January 1, 2012; 7 (4): e32875.   


Origin of amphibian and avian chromosomes by fission, fusion, and retention of ancestral chromosomes., Voss SR, Kump DK, Putta S, Pauly N, Reynolds A, Henry RJ, Basa S, Walker JA, Smith JJ., Genome Res. August 1, 2011; 21 (8): 1306-12.


Proteomic analysis of blastema formation in regenerating axolotl limbs., Rao N, Jhamb D, Milner DJ, Li B, Song F, Wang M, Voss SR, Palakal M, King MW, Saranjami B, Nye HL, Cameron JA, Stocum DL., BMC Biol. November 30, 2009; 7 83.   


Transcriptional response of Mexican axolotls to Ambystoma tigrinum virus (ATV) infection., Cotter JD, Storfer A, Page RB, Beachy CK, Voss SR., BMC Genomics. October 20, 2008; 9 493.   


Effect of thyroid hormone concentration on the transcriptional response underlying induced metamorphosis in the Mexican axolotl (Ambystoma)., Page RB, Voss SR, Samuels AK, Smith JJ, Putta S, Beachy CK., BMC Genomics. February 11, 2008; 9 78.   

???pagination.result.page??? 1