???pagination.result.count???
An IMPDH2 variant associated with neurodevelopmental disorder disrupts purine biosynthesis and somite organization. , O'Neill AG, McCartney ME, Wheeler GM, Patel JH, Sanchez-Ramirez G, Kollman JM, Wills AE ., Proc Natl Acad Sci U S A. December 9, 2025; 122 (49): e2511727122.
Shh signaling directs dorsal ventral patterning in the regenerating X. tropicalis spinal cord. , Angell Swearer A, Perkowski S, Wills A ., Dev Biol. April 22, 2025; 520 191-199.
Protocol for tail vein injection in Xenopus tropicalis tadpoles. , Patel JH, Angell Swearer A, Kakebeen AD, Loh LR, Wills AE ., STAR Protoc. February 15, 2024; 5 (1): 102895.
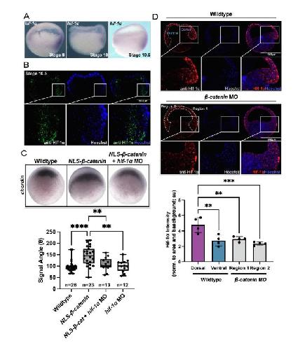
Mitochondrial leak metabolism induces the Spemann-Mangold Organizer via Hif-1α in Xenopus. , MacColl Garfinkel A, Mnatsakanyan N, Patel JH, Wills AE , Shteyman A, Smith PJS, Alavian KN, Jonas EA, Khokha MK ., Dev Cell. November 20, 2023; 58 (22): 2597-2613.e4.
Chromatin accessibility analysis reveals distinct functions for HDAC and EZH2 activities in early appendage regeneration. , Arbach HE, Harland-Dunaway M, Braden C, Chitsazan AD, Pickering E, Patel JH, Wills AE ., Wound Repair Regen. November 1, 2022; 30 (6): 707-725.
Elevated pentose phosphate pathway flux supports appendage regeneration. , Patel JH, Ong DJ, Williams CR, Callies LK, Wills AE ., Cell Rep. October 25, 2022; 41 (4): 111552.
Hif1α and Wnt are required for posterior gene expression during Xenopus tropicalis tail regeneration. , Patel JH, Schattinger PA, Takayoshi EE, Wills AE ., Dev Biol. March 1, 2022; 483 157-168.
Tissue disaggregation and isolation of specific cell types from transgenic Xenopus appendages for transcriptional analysis by FACS. , Kakebeen AD, Chitsazan AD, Wills AE ., Dev Dyn. September 1, 2021; 250 (9): 1381-1392.
A temporally resolved transcriptome for developing "Keller" explants of the Xenopus laevis dorsal marginal zone. , Kakebeen AD, Huebner RJ, Shindo A, Kwon K, Kwon T , Wills AE , Wallingford JB ., Dev Dyn. May 1, 2021; 250 (5): 717-731.
Nutrient availability contributes to a graded refractory period for regeneration in Xenopus tropicalis. , Williams MC, Patel JH, Kakebeen AD, Wills AE ., Dev Biol. May 1, 2021; 473 59-70.
Chromatin accessibility dynamics and single cell RNA-Seq reveal new regulators of regeneration in neural progenitors. , Kakebeen AD, Chitsazan AD, Williams MC, Saunders LM, Wills AE ., Elife. April 27, 2020; 9
Advancing genetic and genomic technologies deepen the pool for discovery in Xenopus tropicalis. , Kakebeen A, Wills A ., Dev Dyn. August 1, 2019; 248 (8): 620-625.
More Than Just a Bandage: Closing the Gap Between Injury and Appendage Regeneration. , Kakebeen AD, Wills AE ., Front Physiol. January 1, 2019; 10 81.
Extreme nuclear branching in healthy epidermal cells of the Xenopus tail fin. , Arbach HE, Harland-Dunaway M, Chang JK, Wills AE ., J Cell Sci. September 20, 2018; 131 (18):
Transcriptional dynamics of tail regeneration in Xenopus tropicalis. , Chang J, Baker J , Wills A ., Genesis. January 1, 2017; 55 (1-2):
Zeta-Tubulin Is a Member of a Conserved Tubulin Module and Is a Component of the Centriolar Basal Foot in Multiciliated Cells. , Turk E, Wills AA , Kwon T , Sedzinski J , Wallingford JB , Stearns T ., Curr Biol. August 17, 2015; 25 (16): 2177-83.
E2a is necessary for Smad2/3-dependent transcription and the direct repression of lefty during gastrulation. , Wills AE , Baker JC ., Dev Cell. February 9, 2015; 32 (3): 345-57.
Developmental enhancers are marked independently of zygotic Nodal signals in Xenopus. , Gupta R , Wills A , Ucar D, Baker J ., Dev Biol. November 1, 2014; 395 (1): 38-49.
Chromatin immunoprecipitation and deep sequencing in Xenopus tropicalis and Xenopus laevis. , Wills AE , Gupta R , Chuong E, Baker JC ., Methods. April 1, 2014; 66 (3): 410-21.
Interrogating transcriptional regulatory sequences in Tol2-mediated Xenopus transgenics. , Loots GG , Bergmann A, Hum NR, Oldenburg CE, Wills AE , Hu N, Ovcharenko I, Harland RM ., PLoS One. July 1, 2013; 8 (7): e68548.
RNA sequencing reveals a diverse and dynamic repertoire of the Xenopus tropicalis transcriptome over development. , Tan MH, Au KF , Yablonovitch AL, Wills AE , Chuang J, Baker JC , Wong WH, Li JB., Genome Res. January 1, 2013; 23 (1): 201-16.
HEB and E2A function as SMAD/FOXH1 cofactors. , Yoon SJ , Wills AE , Chuong E, Gupta R , Baker JC ., Genes Dev. August 1, 2011; 25 (15): 1654-61.
The genome of the Western clawed frog Xenopus tropicalis. , Hellsten U, Harland RM , Gilchrist MJ , Hendrix D, Jurka J, Kapitonov V, Ovcharenko I, Putnam NH, Shu S, Taher L, Blitz IL , Blumberg B , Dichmann DS , Dubchak I, Amaya E , Detter JC, Fletcher R, Gerhard DS, Goodstein D, Graves T, Grigoriev IV, Grimwood J, Kawashima T, Lindquist E, Lucas SM, Mead PE , Mitros T, Ogino H , Ohta Y, Poliakov AV, Pollet N , Robert J , Salamov A, Sater AK , Schmutz J, Terry A , Vize PD , Warren WC, Wells D, Wills A , Wilson RK, Zimmerman LB , Zorn AM , Grainger R , Grammer T , Khokha MK , Richardson PM , Rokhsar DS ., Science. April 30, 2010; 328 (5978): 633-6.
BMP antagonists and FGF signaling contribute to different domains of the neural plate in Xenopus. , Wills AE , Choi VM, Bennett MJ, Khokha MK , Harland RM ., Dev Biol. January 15, 2010; 337 (2): 335-50.
Bmp signaling is necessary and sufficient for ventrolateral endoderm specification in Xenopus. , Wills A , Dickinson K, Khokha M , Baker JC ., Dev Dyn. August 1, 2008; 237 (8): 2177-86.
Twisted gastrulation is required for forebrain specification and cooperates with Chordin to inhibit BMP signaling during X. tropicalis gastrulation. , Wills A , Harland RM , Khokha MK ., Dev Biol. January 1, 2006; 289 (1): 166-78.