Click here to close Hello! We notice that you are using Internet Explorer, which is not supported by Xenbase and may cause the site to display incorrectly. We suggest using a current version of Chrome, FireFox, or Safari.

Profile Publications (30)
XB-PERS-3219

Publications By Kohji Ikenishi

???pagination.result.count???

???pagination.result.page??? 1


Analysis of SDF-1/CXCR4 signaling in primordial germ cell migration and survival or differentiation in Xenopus laevis., Takeuchi T, Tanigawa Y, Minamide R, Ikenishi K, Komiya T., Mech Dev. January 1, 2010; 127 (1-2): 146-58.   


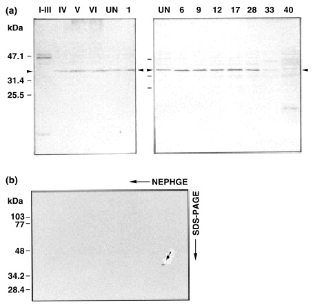
Characterization of the 38 kDa protein lacking in gastrula-arrested mutant Xenopus embryos., Tanaka TS, Nishiumi F, Komiya T, Ikenishi K., Int J Dev Biol. January 1, 2010; 54 (8-9): 1347-53.


A novel method for microinjection into Xenopus eggs and embryos supported in methylcellulose solution., Tanigawa Y, Ikenishi K, Komiya T., Int J Dev Biol. January 1, 2009; 53 (7): 1053-6.


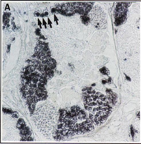
Ectopic germline cells in embryos of Xenopus laevis., Ikenishi K, Ohno T, Komiya T., Dev Growth Differ. September 1, 2007; 49 (7): 561-70.   


The mRNA coding for Xenopus glutamate receptor interacting protein 2 (XGRIP2) is maternally transcribed, transported through the late pathway and localized to the germ plasm., Kaneshiro K, Miyauchi M, Tanigawa Y, Ikenishi K, Komiya T., Biochem Biophys Res Commun. April 20, 2007; 355 (4): 902-6.   


The Xdsg protein in presumptive primordial germ cells (pPGCs) is essential to their differentiation into PGCs in Xenopus., Ikenishi K, Nishiumi F, Komiya T., Dev Biol. September 15, 2006; 297 (2): 483-92.   


The mode and molecular mechanisms of the migration of presumptive PGC in the endoderm cell mass of Xenopus embryos., Nishiumi F, Komiya T, Ikenishi K., Dev Growth Differ. January 1, 2005; 47 (1): 37-48.   


A novel gene, the protein product of which is mainly expressed in germline cells and in the dorsal structures of Xenopus., Yamakita S, Mishima Y, Ikenishi K., Dev Genes Evol. February 1, 2004; 214 (2): 89-95.


A trial for induction of supernumerary primordial germ cells in Xenopus tadpoles by injecting RNA of Xenopus vasa homologue into germline cells of 32-cell embryos., Ikenishi K, Yamakita S., Dev Growth Differ. January 1, 2003; 45 (5-6): 417-26.   


Possible role of the 38 kDa protein, lacking in the gastrula-arrested Xenopus mutant, in gastrulation., Tanaka TS, Ikenishi K., Dev Growth Differ. February 1, 2002; 44 (1): 23-33.   


Spatio-temporal expression of Xenopus vasa homolog, XVLG1, in oocytes and embryos: the presence of XVLG1 RNA in somatic cells as well as germline cells., Ikenishi K, Tanaka TS., Dev Growth Differ. April 1, 2000; 42 (2): 95-103.   


Cause of the decreased number of PGC in albino Xenopus: analysis of the number and position of pPGC in albino embryos during and after cleavage., Ogiso-Ono Y, Ikenishi K., Dev Growth Differ. December 1, 1999; 41 (6): 745-50.


Germ plasm in Caenorhabditis elegans, Drosophila and Xenopus., Ikenishi K., Dev Growth Differ. February 1, 1998; 40 (1): 1-10.


Involvement of the protein of Xenopus vasa homolog (Xenopus vasa-like gene 1, XVLG1) in the differentiation of primordial germ cells., Ikenishi K, Tanaka TS., Dev Growth Differ. October 1, 1997; 39 (5): 625-33.   


The cause of the decreased number of primordial germ cells in albino Xenopus resides not in the micro-environment but in the presumptive PGC., Ikenishi K, Tanaka TS., Dev Growth Differ. June 1, 1997; 39 (3): 345-9.


Spatio-temporal distribution of the protein of Xenopus vasa homologue (Xenopus vasa-like gene 1, XVLG1) in embryos., Ikenishi K, Tanaka TS, Komiya T., Dev Growth Differ. October 1, 1996; 38 (5): 527-535.


Isolation and characterization of a novel gene of the DEAD box protein family which is specifically expressed in germ cells of Xenopus laevis., Komiya T, Itoh K, Ikenishi K, Furusawa M., Dev Biol. April 1, 1994; 162 (2): 354-63.   


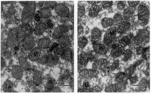
A decreased number of primordial germ cells and the small numbers and reduced sizes of germinal granules in the periodic albino mutant of Xenopus laevis., Kotani M, Ikenishi K, Torii E, Amemiya E, Kadowaki M., Dev Biol. November 1, 1993; 160 (1): 289-91.   


Xenopus Heterochronic Presumptive Primordial Germ Cells (pPGCs) Implanted in the Correct Position in Host Neurula Embryos can Differentiate into PGCs: (Xenopus laevis, PGCs/heterochronic presumptive PGCs/explant/germ plasm-bearing cells)., Ikenishi K, Tanaka TS., Dev Growth Differ. August 1, 1993; 35 (4): 439-445.


Monoclonal antibody production against a subcellular fraction of vegetal pole cytoplasm containing the germ plasm of Xenopus 2-cell eggs., Nakazato S, Ikenishi K., Cell Differ Dev. September 1, 1989; 27 (3): 163-74.


A possible maternal-effect mutant of Xenopus laevis: II. Studies of RNA synthesis in dissociated embryonic cells., Shiokawa K, Tashiro K, Nakakura N, Fu Y, Atsuchi Y, Nakazato S, Tsuzaki Y, Ikenishi K., Cell Differ Dev. September 1, 1988; 25 (1): 47-55.


A possible maternal-effect mutant of Xenopus laevis I. Cytological and biochemical analyses of the unfertilized eggs and embryos., Ikenishi K, Tsuzaki Y., Dev Biol. February 1, 1988; 125 (2): 458-61.


Functional gametes derived from explants of single blastomeres containing the "germ plasm" in Xenopus laevis: a genetic marker study., Ikenishi K., Dev Biol. July 1, 1987; 122 (1): 35-8.


Direct Evidence for the Presence of Germ Cell Determinant in Vegetal Pole Cytoplasm of Xenopus laevis and in a Subcellular Fraction of It: (Xenopus laevis/germ cell determinant/germ plasm/PGC induction)., Ikenishi K, Nakazato S, Okuda T., Dev Growth Differ. November 1, 1986; 28 (6): 563-568.


Differentiation of presumptive primordial germ cell (pPGC)-like cells in explants into PGCs in experimental tadpoles., Ikenishi K, Okuda T, Nakazato S., Dev Biol. May 1, 1984; 103 (1): 258-62.


Ultraviolet effects on presumptive primordial germ cells (pPGCs) in Xenopus laevis after the cleavage stage., Ikenishi K, Kotani M., Dev Biol. March 1, 1979; 69 (1): 237-46.


LOCATION AND ULTRASTRUCTURE OF PRIMORDIAL GERM CELLS (PGCs) IN AMBYSTOMA MEXICANUM., Ikenishi K, Nieuwkoop PD., Dev Growth Differ. January 1, 1978; 20 (1): 1-9.


Observations on the migration and proliferation of gonocytes in Xenopus laevis., Kamimura M, Ikenishi K, Kotani M, Matsuno T., J Embryol Exp Morphol. August 1, 1976; 36 (1): 197-207.


Ultrastructural changes associated with UV irradiation in the "germinal plasm" of Xenopus laevis., Ikenishi K, Kotani M, Tanabe K., Dev Biol. January 1, 1974; 36 (1): 155-68.


Cortical granules remaining after fertilization in Xenopus laevis., Kotani M, Ikenishi K, Tanabe K., Dev Biol. January 1, 1973; 30 (1): 228-32.

???pagination.result.page??? 1