???pagination.result.count???
Spatial regulation of mitochondrial membrane potential by α5β1 integrin engagement in collective cell migration. , Pacheco GG , Dzamba BJ, Endo W, Edwards BC, Khan M, Comlekoglu T, Shook DR , Quasey K, Bjerke MA, Hirsh GD, Kashatus DF, DeSimone DW ., J Cell Sci. May 1, 2025; 138 (9):
Modeling the roles of cohesotaxis, cell-intercalation, and tissue geometry in collective cell migration of Xenopus mesendoderm. , Comlekoglu T, Dzamba BJ, Pacheco GG , Shook DR , Sego TJ, Glazier JA, Peirce SM , DeSimone DW ., Biol Open. August 15, 2024; 13 (8):
Characterization of convergent thickening, a major convergence force producing morphogenic movement in amphibians. , Shook DR , Wen JWH, Rolo A, O'Hanlon M, Francica B, Dobbins D, Skoglund P , DeSimone DW , Winklbauer R , Keller RE ., Elife. April 11, 2022; 11
Mechanical and signaling roles for keratin intermediate filaments in the assembly and morphogenesis of Xenopus mesendoderm tissue at gastrulation. , Sonavane PR, Wang C , Dzamba B, Weber GF , Periasamy A, DeSimone DW ., Development. December 1, 2017; 144 (23): 4363-4376.
FAK is required for tension-dependent organization of collective cell movements in Xenopus mesendoderm. , Bjerke MA, Dzamba BJ, Wang C , DeSimone DW ., Dev Biol. October 15, 2014; 394 (2): 340-56.
Diverse functions of kindlin/fermitin proteins during embryonic development in Xenopus laevis. , Rozario T, Mead PE , DeSimone DW ., Mech Dev. August 1, 2014; 133 203-17.
Roles of ADAM13-regulated Wnt activity in early Xenopus eye development. , Wei S , Xu G, Bridges LC, Williams P, Nakayama T , Shah A, Grainger RM , White JM, DeSimone DW ., Dev Biol. March 1, 2012; 363 (1): 147-54.
A mechanoresponsive cadherin-keratin complex directs polarized protrusive behavior and collective cell migration. , Weber GF , Bjerke MA, DeSimone DW ., Dev Cell. January 17, 2012; 22 (1): 104-15.
Identification and characterization of ADAM41, a novel ADAM metalloproteinase in Xenopus. , Xu G, Wei S , White JM, DeSimone DW ., Int J Dev Biol. January 1, 2012; 56 (5): 333-9.
ADAM13 induces cranial neural crest by cleaving class B Ephrins and regulating Wnt signaling. , Wei S , Xu G, Bridges LC, Williams P, White JM, DeSimone DW ., Dev Cell. August 17, 2010; 19 (2): 345-52.
Conservation and divergence of ADAM family proteins in the Xenopus genome. , Wei S , Whittaker CA, Xu G, Bridges LC, Shah A, White JM, Desimone DW ., BMC Evol Biol. July 14, 2010; 10 211.
The physical state of fibronectin matrix differentially regulates morphogenetic movements in vivo. , Rozario T, Dzamba B, Weber GF , Davidson LA , DeSimone DW ., Dev Biol. March 15, 2009; 327 (2): 386-98.
Cadherin adhesion, tissue tension, and noncanonical Wnt signaling regulate fibronectin matrix organization. , Dzamba BJ, Jakab KR, Marsden M , Schwartz MA, DeSimone DW ., Dev Cell. March 1, 2009; 16 (3): 421-32.
Live imaging of cell protrusive activity, and extracellular matrix assembly and remodeling during morphogenesis in the frog, Xenopus laevis. , Davidson LA , Dzamba BD, Keller R , Desimone DW ., Dev Dyn. October 1, 2008; 237 (10): 2684-92.
PACSIN2 regulates cell adhesion during gastrulation in Xenopus laevis. , Cousin H , Desimone DW , Alfandari D ., Dev Biol. July 1, 2008; 319 (1): 86-99.
Multiscale computational analysis of Xenopus laevis morphogenesis reveals key insights of systems-level behavior. , Robertson SH, Smith CK, Langhans AL, McLinden SE, Oberhardt MA, Jakab KR, Dzamba B, DeSimone DW , Papin JA, Peirce SM ., BMC Syst Biol. October 22, 2007; 1 46.
Using Xenopus embryos to investigate integrin function. , DeSimone DW , Dzamba B, Davidson LA ., Methods Enzymol. January 1, 2007; 426 403-14.
Integrin alpha5beta1 and fibronectin regulate polarized cell protrusions required for Xenopus convergence and extension. , Davidson LA , Marsden M , Keller R , Desimone DW ., Curr Biol. May 9, 2006; 16 (9): 833-44.
The Xenopus embryo as a model system for studies of cell migration. , DeSimone DW , Davidson L , Marsden M , Alfandari D ., Methods Mol Biol. January 1, 2005; 294 235-45.
Assembly and remodeling of the fibrillar fibronectin extracellular matrix during gastrulation and neurulation in Xenopus laevis. , Davidson LA , Keller R , DeSimone DW ., Dev Dyn. December 1, 2004; 231 (4): 888-95.
Multicellular computer simulation of morphogenesis: blastocoel roof thinning and matrix assembly in Xenopus laevis. , Longo D , Peirce SM , Skalak TC, Davidson L , Marsden M , Dzamba B, DeSimone DW ., Dev Biol. July 1, 2004; 271 (1): 210-22.
Patterning and tissue movements in a novel explant preparation of the marginal zone of Xenopus laevis. , Davidson LA , Keller R , DeSimone D ., Gene Expr Patterns. July 1, 2004; 4 (4): 457-66.
Integrin alpha5beta1 supports the migration of Xenopus cranial neural crest on fibronectin. , Alfandari D , Cousin H , Gaultier A , Hoffstrom BG, DeSimone DW ., Dev Biol. August 15, 2003; 260 (2): 449-64.
Integrin- ECM interactions regulate cadherin-dependent cell adhesion and are required for convergent extension in Xenopus. , Marsden M , DeSimone DW ., Curr Biol. July 15, 2003; 13 (14): 1182-91.
Differential regulation of cell adhesive functions by integrin alpha subunit cytoplasmic tails in vivo. , Na J, Marsden M , DeSimone DW ., J Cell Sci. June 1, 2003; 116 (Pt 11): 2333-43.
The cysteine-rich domain regulates ADAM protease function in vivo. , Smith KM , Gaultier A , Cousin H , Alfandari D , White JM, DeSimone DW ., J Cell Biol. December 9, 2002; 159 (5): 893-902.
Mesendoderm extension and mantle closure in Xenopus laevis gastrulation: combined roles for integrin alpha(5)beta(1), fibronectin, and tissue geometry. , Davidson LA , Hoffstrom BG, Keller R , DeSimone DW ., Dev Biol. February 15, 2002; 242 (2): 109-29.
Regulation of cell polarity, radial intercalation and epiboly in Xenopus: novel roles for integrin and fibronectin. , Marsden M , DeSimone DW ., Development. September 1, 2001; 128 (18): 3635-47.
Xenopus ADAM 13 is a metalloprotease required for cranial neural crest-cell migration. , Alfandari D , Cousin H , Gaultier A , Smith K, White JM, Darribère T , DeSimone DW ., Curr Biol. June 26, 2001; 11 (12): 918-30.
Separation of neural induction and neurulation in Xenopus. , Lallier TE, DeSimone DW ., Dev Biol. September 1, 2000; 225 (1): 135-50.
Active zones on motor nerve terminals contain alpha 3beta 1 integrin. , Cohen MW , Hoffstrom BG, DeSimone DW ., J Neurosci. July 1, 2000; 20 (13): 4912-21.
Molecular cloning and developmental expression of the Xenopus homolog of integrin alpha 4. , Whittaker CA, Desimone DW ., Ann N Y Acad Sci. October 23, 1998; 857 56-73.
Thrombospondins in early Xenopus embryos: dynamic patterns of expression suggest diverse roles in nervous system, notochord, and muscle development. , Urry LA, Whittaker CA, Duquette M, Lawler J, DeSimone DW ., Dev Dyn. April 1, 1998; 211 (4): 390-407.
Cloning and characterization of cDNAs encoding the integrin alpha2 and alpha3 subunits from Xenopus laevis. , Meng F, Whittaker CA, Ransom DG, DeSimone DW ., Mech Dev. October 1, 1997; 67 (2): 141-55.
ADAM 13: a novel ADAM expressed in somitic mesoderm and neural crest cells during Xenopus laevis development. , Alfandari D , Wolfsberg TG, White JM, DeSimone DW ., Dev Biol. February 15, 1997; 182 (2): 314-30.
Integrin-dependent adhesive activity is spatially controlled by inductive signals at gastrulation. , Ramos JW, Whittaker CA, DeSimone DW ., Development. September 1, 1996; 122 (9): 2873-83.
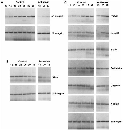
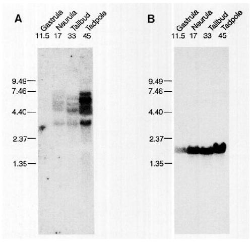
Integrin alpha 6 expression is required for early nervous system development in Xenopus laevis. , Lallier TE, Whittaker CA, DeSimone DW ., Development. August 1, 1996; 122 (8): 2539-54.
Xenopus embryonic cell adhesion to fibronectin: position-specific activation of RGD/synergy site-dependent migratory behavior at gastrulation. , Ramos JW, DeSimone DW ., J Cell Biol. July 1, 1996; 134 (1): 227-40.
Molecular analysis and developmental expression of the focal adhesion kinase pp125FAK in Xenopus laevis. , Hens MD, DeSimone DW ., Dev Biol. August 1, 1995; 170 (2): 274-88.
Integrin alpha v subunit is expressed on mesodermal cell surfaces during amphibian gastrulation. , Alfandari D , Whittaker CA, DeSimone DW , Darribère T ., Dev Biol. August 1, 1995; 170 (2): 249-61.
Integrin alpha 5 during early development of Xenopus laevis. , Joos TO, Whittaker CA, Meng F, DeSimone DW , Gnau V, Hausen P ., Mech Dev. April 1, 1995; 50 (2-3): 187-99.
Integrin expression in early amphibian embryos: cDNA cloning and characterization of Xenopus beta 1, beta 2, beta 3, and beta 6 subunits. , Ransom DG, Hens MD, DeSimone DW ., Dev Biol. November 1, 1993; 160 (1): 265-75.
Integrin alpha subunit mRNAs are differentially expressed in early Xenopus embryos. , Whittaker CA, DeSimone DW ., Development. April 1, 1993; 117 (4): 1239-49.
Identification and characterization of thrombospondin-4, a new member of the thrombospondin gene family. , Lawler J, Duquette M, Whittaker CA, Adams JC, McHenry K, DeSimone DW ., J Cell Biol. February 1, 1993; 120 (4): 1059-67.
Identification and characterization of alternatively spliced fibronectin mRNAs expressed in early Xenopus embryos. , DeSimone DW , Norton PA, Hynes RO., Dev Biol. February 1, 1992; 149 (2): 357-69.
The Xenopus embryo as a model system for the study of cell-extracellular matrix interactions. , DeSimone DW , Johnson KE., Methods Cell Biol. January 1, 1991; 36 527-39.
Xenopus laevis integrins. Structural conservation and evolutionary divergence of integrin beta subunits. , DeSimone DW , Hynes RO., J Biol Chem. April 15, 1988; 263 (11): 5333-40.