???pagination.result.count???
New roles for FoxH1 in patterning the early embryo. , Kofron M , Puck H, Standley H , Wylie C , Old R , Whitman M , Heasman J ., Development. October 1, 2004; 131 (20): 5065-78.
VegT activation of the early zygotic gene Xnr5 requires lifting of Tcf-mediated repression in the Xenopus blastula. , Hilton E , Rex M, Old R ., Mech Dev. October 1, 2003; 120 (10): 1127-38.
Multiple interactions between maternally-activated signalling pathways control Xenopus nodal-related genes. , Rex M, Hilton E , Old R ., Int J Dev Biol. March 1, 2002; 46 (2): 217-26.
Xenopus Enhancer of Zeste ( XEZ); an anteriorly restricted polycomb gene with a role in neural patterning. , Barnett MW, Seville RA, Nijjar S, Old RW , Jones EA ., Mech Dev. April 1, 2001; 102 (1-2): 157-67.
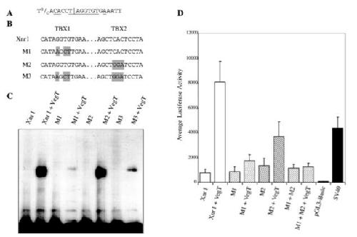
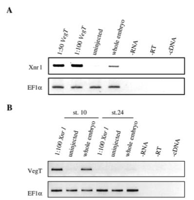
Regulation of the early expression of the Xenopus nodal-related 1 gene, Xnr1. , Hyde CE , Old RW ., Development. March 1, 2000; 127 (6): 1221-9.
Expression pattern of BXR suggests a role for benzoate ligand-mediated signalling in hatching gland function. , Heath LA, Jones EA , Old RW ., Int J Dev Biol. January 1, 2000; 44 (1): 141-4.
Expression pattern of a novel hyaluronidase during Xenopus embryogenesis. , Hyde CE , Old RW ., Mech Dev. April 1, 1999; 82 (1-2): 213-7.
Neural induction and patterning by fibroblast growth factor, notochord and somite tissue in Xenopus. , Barnett MW, Old RW , Jones EA ., Dev Growth Differ. February 1, 1998; 40 (1): 47-57.
Cysteine-200 of human inducible nitric oxide synthase is essential for dimerization of haem domains and for binding of haem, nitroarginine and tetrahydrobiopterin. , Cubberley RR, Alderton WK, Boyhan A, Charles IG, Lowe PN, Old RW ., Biochem J. April 1, 1997; 323 ( Pt 1) 141-6.
Effects of retinoic acid on Xenopus embryos. , Old RW , Smith DP, Mason CS, Marklew S, Jones EA ., Biochem Soc Symp. January 1, 1996; 62 157-74.
Mesoderm induction in Xenopus caused by activation of MAP kinase. , Umbhauer M , Marshall CJ, Mason CS, Old RW , Smith JC ., Nature. July 6, 1995; 376 (6535): 58-62.
Isolation of a novel RXR from Xenopus that most closely resembles mammalian RXR beta and is expressed throughout early development. , Marklew S, Smith DP, Mason CS, Old RW ., Biochim Biophys Acta. August 2, 1994; 1218 (3): 267-72.
Expression of a dominant negative retinoic acid receptor γ in Xenopus embryos leads to partial resistance to retinoic acid. , Smith DP, Mason CS, Jones E , Old R ., Rouxs Arch Dev Biol. March 1, 1994; 203 (5): 254-265.
A novel nuclear receptor superfamily member in Xenopus that associates with RXR, and shares extensive sequence similarity to the mammalian vitamin D3 receptor. , Smith DP, Mason CS, Jones EA , Old RW ., Nucleic Acids Res. January 11, 1994; 22 (1): 66-71.
Precocious synthesis of a thyroid hormone receptor inXenopus embryos causes hormone-dependent developmental abnormalities. , Old R , Jones EA , Sweeney G, Smith DP., Rouxs Arch Dev Biol. September 1, 1992; 201 (5): 312-321.
Detection by PCR of thyroid hormone receptor transcripts in Xenopus oocytes and eggs. , Sweeney GE, Old RW ., Biochem Soc Trans. April 1, 1991; 19 (2): 203S.
Xenopus laevis Oct-1 does not bind to certain histone H2B gene promoter octamer motifs for which a novel octamer-binding factor has high affinity. , Smith DP, Old RW ., Nucleic Acids Res. February 25, 1991; 19 (4): 815-21.
Nucleotide sequence of Xenopus laevis Oct-1 cDNA. , Smith DP, Old RW ., Nucleic Acids Res. January 25, 1990; 18 (2): 369.
Structure and functional expression of a cloned Xenopus thyroid hormone receptor. , Brooks AR, Sweeney G, Old RW ., Nucleic Acids Res. November 25, 1989; 17 (22): 9395-405.
Activity of a cloned Xenopus albumin gene promoter in the homologous frog oocyte system. , Old RW , Sweeney GE, Brooks AR., Biochim Biophys Acta. November 10, 1988; 951 (1): 220-5.
Trans-activation of transcription, from promoters containing immunoglobulin gene octamer sequences, by myeloma cell mRNA in Xenopus oocytes. , Sweeney GE, Old RW ., Nucleic Acids Res. June 10, 1988; 16 (11): 4903-13.
Individual Xenopus histone genes are replication-independent in oocytes and replication-dependent in Xenopus or mouse somatic cells. , Old RW , Sheikh SA, Chambers A, Newton CA, Mohammed A, Aldridge TC., Nucleic Acids Res. October 25, 1985; 13 (20): 7341-58.
Nucleotide sequences of H1 histone genes from Xenopus laevis. A recently diverged pair of H1 genes and an unusual H1 pseudogene. , Turner PC, Aldridge TC, Woodland HR , Old RW ., Nucleic Acids Res. June 25, 1983; 11 (12): 4093-107.
Organization and expression of cloned histone gene clusters from Xenopus laevis and X. borealis. , Old RW , Woodland HR , Ballantine JE, Aldridge TC, Newton CA, Bains WA, Turner PC., Nucleic Acids Res. December 11, 1982; 10 (23): 7561-80.
In situ hybridization to lampbrush chromosomes: a potential source of error exposed. , Callan HG, Old RW ., J Cell Sci. February 1, 1980; 41 115-23.