Click here to close Hello! We notice that you are using Internet Explorer, which is not supported by Xenbase and may cause the site to display incorrectly. We suggest using a current version of Chrome, FireFox, or Safari.

Profile Publications (8)
XB-PERS-642

Publications By Kristin Patterson

???pagination.result.count???

???pagination.result.page??? 1


Distinct expression patterns for two Xenopus Bar homeobox genes., Patterson KD, Cleaver O, Gerber WV, White FG, Krieg PA., Dev Genes Evol. March 1, 2000; 210 (3): 140-4.


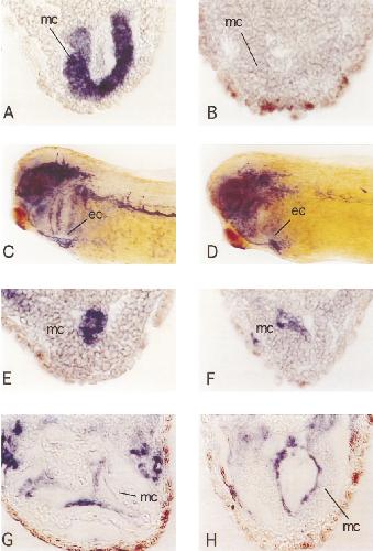
Embryonic origins of spleen asymmetry., Patterson KD, Drysdale TA, Krieg PA., Development. January 1, 2000; 127 (1): 167-75.   


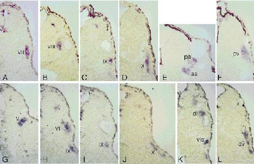
Hox11-family genes XHox11 and XHox11L2 in xenopus: XHox11L2 expression is restricted to a subset of the primary sensory neurons., Patterson KD, Krieg PA., Dev Dyn. January 1, 1999; 214 (1): 34-43.   


Homeobox genes in cardiovascular development., Patterson KD, Cleaver O, Gerber WV, Grow MW, Newman CS, Krieg PA., Curr Top Dev Biol. January 1, 1998; 40 1-44.


Retinoic acid can block differentiation of the myocardium after heart specification., Drysdale TA, Patterson KD, Saha M, Krieg PA., Dev Biol. August 15, 1997; 188 (2): 205-15.   


Remarkable sequence conservation of transcripts encoding amphibian and mammalian homologues of quaking, a KH domain RNA-binding protein., Zorn AM, Grow M, Patterson KD, Ebersole TA, Chen Q, Artzt K, Krieg PA., Gene. April 1, 1997; 188 (2): 199-206.   


Overexpression of the tinman-related genes XNkx-2.5 and XNkx-2.3 in Xenopus embryos results in myocardial hyperplasia., Cleaver OB, Patterson KD, Krieg PA., Development. November 1, 1996; 122 (11): 3549-56.   


Cardiac troponin I is a heart-specific marker in the Xenopus embryo: expression during abnormal heart morphogenesis., Drysdale TA, Tonissen KF, Patterson KD, Crawford MJ, Krieg PA., Dev Biol. October 1, 1994; 165 (2): 432-41.   

???pagination.result.page??? 1