Click here to close
Hello! We notice that you are using Internet Explorer, which is not supported by Xenbase and may cause the site to display incorrectly.
We suggest using a current version of Chrome,
FireFox, or Safari.
Biochem Biophys Res Commun
2000 Sep 24;2762:515-23. doi: 10.1006/bbrc.2000.3482.
Show Gene links
Show Anatomy links
Part of Xenopus translin is localized in the centrosomes during mitosis.
Castro A, Peter M, Magnaghi-Jaulin L, Vigneron S, Loyaux D, Lorca T, Labbé JC.
???displayArticle.abstract???
During oogenesis, maternal mRNAs are synthesised and stored in a translationally dormant form due to the presence of regulatory elements at the 3' untranslated regions (3'UTR). In Xenopus oocytes, several studies have described the presence of RNA-binding proteins capable to repress maternal-mRNA translation. The testis-brain RNA-binding protein (TB-RBP/Translin) is a single-stranded DNA- and RNA-binding protein which can bind the 3' UTR regions (Y and H elements) of stored mRNAs and can suppress in vitro translation of the mRNAs that contain these sequences. Here we report the cloning of the Xenopus homologue of the TB-RBP/Translin protein (X-translin) as well as its expression, its localisation, and its biochemical association with the protein named Translin associated factor X (Trax) in Xenopus oocytes. The fact that this protein is highly present in the cytoplasm from stage VI oocytes until 48 h embryos and that it has been described as capable to inhibit paternal mRNA translation, indicates that it could play an important role in maternal mRNA translation control during Xenopus oogenesis and embryogenesis. Moreover, we investigated X-translin localisation during cell cycle in XTC cells. In interphase, although a weak and diffuse nuclear staining was observed, X-translin was mostly present in the cytoplasm where it exhibited a prominent granular staining. Interestingly, part of X-translin underwent a remarkable redistribution throughout mitosis and associated with centrosomes, which may suggest a new unknown role for this protein in cell cycle.
FIG. 1. (A) Specificity of anti-X-translin and anti-C-terminus X-translin polyclonal antibodies. Twenty ml of unfertilised egg extracts were
immunoprecipitated with a-X-translin antibodies (a-X-translin) or a-C-terminus X-translin antibodies (a-Cter-trans). Material eluted from
each matrix (IP), as well as 10% of the corresponding supernatants (SN), and an equivalent volume of the starting material (E) were analysed
by Western blotting and probed with a-X-translin antibodies in a-Cter-trans immunoprecipitation and a-Cter-trans antibodies in a-Xtranslin
immunoprecipitation. (B) Binding of the recombinant DGST-X-translin to the Bcl-CL1 single-stranded DNA oligonucleotide
containing specific chromosomal breakpoint sequences. [32P]-labelled Bcl-CL1 (1 ng) was incubated either with a 10 mg of a control protein
(lane 1) or with two different concentrations of recombinant DGST-X-translin (5 mg and 10 mg, lanes 2 and 3, respectively) and tested by gel
shift analysis. a-X-translin antibodies (2 mg) (lane 4) or control immunoglobulins (2 mg) (lane 5) were incubated with recombinant
DGST-X-translin (10 mg), then, [32P]-labelled Bcl-CL1 (1 ng) was added to the mixture and tested for detection of [32P]-labelled Bcl-CL1/Xtranslin
complex supershifted. (C) X-translin expression during Xenopus oocyte maturation and embryogenesis. Stage VI oocyte (VI),
metaphase II arrested oocyte (MII) or embryos at different times after fertilisation (3 h, 5 h, 6 h, 7 h, 9 h, 24 h, and 48 h) were homogenised
in 20 ml of oocyte buffer (see Methods) and centrifuged 3 min at 13,000 rpm. The supernatant was run on SDSâPAGE and immunoblotted
with a-X-translin antibodies. Equal protein amounts corresponding to one oocyte was loaded per lane.
FIG. 2. (A) Distribution of X-translin in stage VI and maturing Xenopus oocytes. Western blot analysis with a-X-translin antibodies were
developed in the germinal vesicle (VG) or the cytoplasm (Cy) of stage VI (VI) or maturing oocytes at 1, 2, 3, and 4 h after progesterone addition
(1 h, 2 h, 3 h, 4 h, respectively). Equivalent protein amounts corresponding to one germinal vesicle or one cytoplasm were loaded per lane.
(B) Subcellular localisation of X-translin in XTC cells. Single a-X-translin immunofluorescence in interphase cell (1, X-translin) and
pro-metaphase cell (2, X-translin) as visualised by propidium iodide staining (2, DNA) and double a-X-translin/a-b-tubulin immunofluorescence
(3, X-translin, 3, b-tubulin, respectively) in a metaphase cell. The bar in the lower right micrograph corresponds to 50 mm (same
magnification for all micrographs). The localisation of X-translin in the different stages of the cell cycle was identical for all the cells observed
in all the immunostainings.
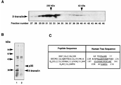
FIG. 3. (A) Side-by-side analysis by Western blotting with a-X-translin antibodies of consecutive fractions (30 ml loaded), after
chromatography by gel filtration on a Superdex 200 column of an unfertilised egg extract. The vertical arrows indicate the positions of elution
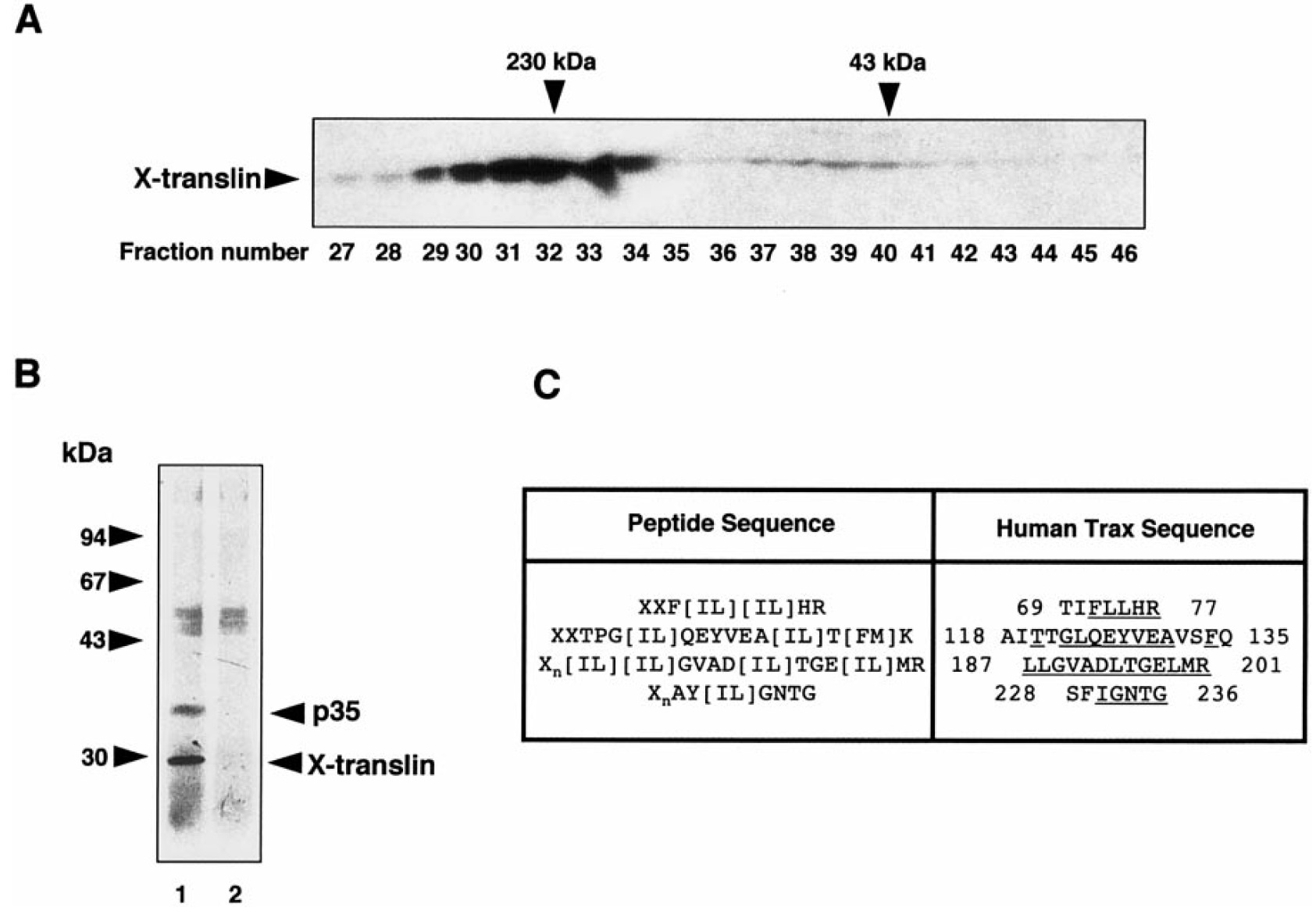
for catalase (230 kDa) and ovalbumin (43 kDa). (B) Analysis of a Xenopus X-translin complex by SDSâPAGE. The purified preparation eluted
from a-Cter-trans antibodies was analysed by SDSâPAGE and silver stained (lane 1). Lane 2, same experiment, but the antibodies were first
saturated with the antigen peptide encoding the C-terminal sequence of X-translin. (C) Amino acid sequences of the proteolytic fragments
obtained from p35. The four-peptide sequences obtained from p35 proteolysis (left) are compared to the human Trax sequence obtained from
the database (right). Numbers denote the positions of the peptides in the protein.