|
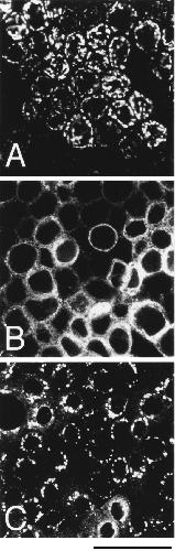
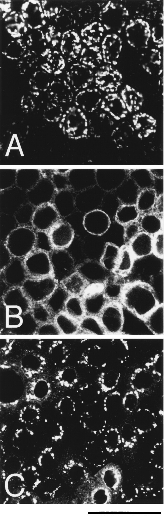
Figure 1. The Golgi disassembly induced by Xenopus egg extracts. MDCK-GT cells, grown on polycarbonate membrane, were pretreated with 5 mg/ml taxol at 37°C for 30 min. The cells were permeabilized by SLO treatment and washed with 1 M KCl. Then they were incubated with either ATP (A), Xenopus egg extracts and ATP (B), or Xenopus interphase extracts and ATP (C), respectively, at 33°C for 60 min. After incubation, the cells were fixed and viewed by confocal microscope. A typical perinuclear structure of the Golgi in MDCK-GT cells was observed (A). Xenopus egg extracts and ATP caused mitotic Golgi disassembly (B). Xenopus interphase extracts did not affect the Golgi structures, although some loosening of the stacking was observed (C). Bar, 50 μm. |
|
Figure 2. Time course of the Golgi disassembly induced by Xenopus egg extracts. Semi-intact MDCK-GT cells were incubated in the presence of the extracts and ATP at 33°C for 0, 20, 40, and 60 min, and then fixed and viewed by confocal microscope. Perinuclear cisternae disorganized into punctate structures during 20–40 min incubation. The Golgi membranes appeared to be dispersed throughout the cytoplasm within 60 min incubation. Cells in the white boxed area are shown at a higher magnification in the right panels. Bars, 10 μm. |
|
Figure 3. Morphological changes during the Golgi disassembly in a single semi-intact cell. (A) MDCK-GT cells were incubated with Xenopus egg extracts and ATP at 28°C for the indicated period. Images were collected every 10 min using a confocal microscope. Although the disassembly process progressed halfway probably due to damage from the repeated laser scans, punctate structures budding from the Golgi structures were frequently observed (arrows). As a control, mitotic Golgi membranes labeled with GFP in intact MDCK-GT cells are shown in the last panel. (B) A similar process was observed in semi-confluent cultured cells using a conventional microscope. Perinuclear Golgi cisternae were disorganized into punctate structures by the 10 min incubation. The punctate structures began to fragment further at ∼30 min and had entirely dispersed within 60 min. Fluorescent membranous remnants were observed even at the final stage of mitotic Golgi membranes (arrow). Bars, 10 μm. |
|
Figure 4. Morphological dissection of the Golgi disassembly process in semi-intact cells. For the morphometric analysis, we divided the disassembly process into three stages based on the Golgi morphology: stage I (intact); intact perinuclear Golgi cisternae (A), stage II (punctate); punctate structures on the apical side of the nucleus (B), stage III (dispersed); highly dispersed Golgi membranes throughout the cytoplasm (C). Cells at each stage were observed by confocal microscope. The lower panel shows xy images in an apical region of the cells and the upper panel shows xz sectioning images. Electron microscopic images of cells at each stage are shown in D (stage I), E (stage II), and F (stage III). (D) Control without egg extracts (stage I). A large stack of cisternae of the Golgi apparatus is seen at the apical side of the cell. (E) 80 min after incubation with egg extracts containing cdc2 kinase inhibitor (stage II). Mini-stacked Golgis (MSG) are seen at the apical side of the cells, where tight junction (TJ) is observed. Mini-stacked Golgi associates with microtubules (MT). (F) 80 min after incubation with egg extracts (stage III). No stacked structure of the Golgi apparatus is observed, and only tubulo-vesicular structures (arrows), which probably derived from the Golgi, are seen. Inset represents the tubulo-vesicular structures (asterisk) at a higher magnification. Bars: (A–C) 20 μm; (D–F) 1 μm. |
|
Figure 5. Relocation of the GT-GFP to the ER during the Golgi disassembly. (A) Intact MDCK-GT cells were treated with cycloheximide (10 μg/ml for 3 h) and then subjected to the permeabilization. Semi-intact MDCK-GT cells were incubated with either Xenopus egg extracts and ATP with cdc2 inhibitor (stage II), or Xenopus egg extracts and ATP (stage III) at 33°C for 80 min. The typical distributions of GT-GFP in the apical, middle and basal regions in the cells at each stage are visualized with a confocal microscope. White lines indicate the periphery of single cells. Extensive staining of the nuclear envelopes (middle region) and the ER-like networks (apical and basal regions) are observed most likely at stage III. The stained nuclear envelope is indicated by arrowheads. (B) The GT-GFP and the ER specific marker, PDI, at stage III were double stained and visualized with a confocal microscope. Extensive overlap in the distribution of GT-GFP and PDI in the nuclear envelopes (middle) and partial overlap in the ER-like networks (middle and apical regions of the cells) were detected. Bars, 10 μm. |
|
Figure 6. Intracellular configurations of the Golgi membranes and microtubules at each stage. Semi-intact MDCK-GT cells were incubated with either ATP in TB (stage I), Xenopus egg extracts and ATP with cdc2 inhibitor (stage II), or Xenopus egg extracts and ATP (stage III) at 33°C for 80 min. The Golgi membranes and microtubules at each stage were double stained and visualized with a confocal microscope. The apical region (A, h = 9.2 μm from the base), and middle region (B, h = 5.4 μm) of the cells at each stage are shown. The Golgi membranes are indicated by green, and the microtubules by red. At stage II, punctate Golgi membranes associated with apical microtubule networks. At stage III, the Golgi membrane was dispersed throughout the cytoplasm. Bar, 10 μm. |
|
Figure 7. Kinetics of Golgi disassembly in semi-intact cells. Semi-intact cells were incubated with Xenopus egg extracts and ATP at 33°C for the indicated period. After incubation, the cells were fixed and morphometric analysis was performed. Time-dependent changes in the percentages of cells at each stage are shown. The protein concentration of the extract used was 5.0 mg/ml. 300 cells were counted in three randomly selected fields, and standard deviations are shown as vertical bars. |
|
Figure 8. Effect of protein kinase inhibitors on the Golgi disassembly. Semi-intact MDCK-GT cells were incubated with Xenopus egg extracts and ATP containing either no inhibitor (control), staurosporine (SS), butyrolactone l (BL), PD98059 (PD), SB203580 (SB), or BL+PD, respectively, at 33°C for 80 min. Then cells were fixed and morphometric analysis was performed as described in the legend of Fig. 7. |
|
Figure 9. Inhibition of the Golgi disassembly by cdc2- or MEK-depleted Xenopus egg extracts. (A) Immunoblotting of mock for MEK-depleted, MEK-depleted, mock for cdc2-depleted, and cdc2-depleted Xenopus egg extracts with anti-cdc2 (top) and anti-MEK (bottom) antibodies. (B) Mock, cdc2- or MEK-depleted Xenopus egg extracts were applied to semi-intact cells and incubated at 33°C for 80 min. The cells were fixed and morphometric analysis was performed as described in the legend of Fig. 7. Cdc2-depleted extracts arrested the disassembly process at stage II (punctate), and MEK-depleted extracts did so at stage I (intact). |
|
|
|
|