Click here to close
Hello! We notice that you are using Internet Explorer, which is not supported by Xenbase and may cause the site to display incorrectly.
We suggest using a current version of Chrome,
FireFox, or Safari.
???displayArticle.abstract???
Cells in the presumptive neural ectoderm of Xenopus are committed to neural fate through a process called neural induction, which may involve proteins that antagonize BMP signaling pathways. To identify genes that are induced by the BMP antagonists and that may be involved in subsequent neural patterning, we used a suppression PCR-based subtraction screen. Here we investigate the prospective activities and functions of one of the genes, a nuclear orphan receptor previously described as xGCNF. In animal cap assays, xGCNF synergizes with ectopic chordin to induce the midbrain-hindbrain marker engrailed-2 (En-2). In Keller explants, which rely on endogenous factors for neural induction, similar increases in En-2 are observed. Expression in embryos of a dominant interfering form of xGCNF reduces the expression of endogenous En-2 and Krox-20. These gain-of-function and prospective loss-of-function experiments, taken with the observation that xGCNF is expressed in the early neural plate and is elevated in the prospective midbrain-hindbrain region, which subsequently expresses En-2, suggest that xGCNF may play a role in regulating En-2 and thus midbrain-hindbrain identity.
FIG. 1. Identification of xGCNF as a gene differentially expressed
in response to chordin. Two cell embryos were injected with RNA
encoding either chordin (2 ng per embryo) or BMP4 (0.5 ng per
embryo) at the animal pole. Animal cap explants were prepared
from the injected embryos at stage 8.5 and cultured to late
gastrula– early neurula stage (around stage 12.5), and poly(A) RNAs
were then isolated and used to generate cDNAs. A subtracted
hybridization between cDNA from chordin-injected caps (tester)
and from animal caps injected with BMP4 (driver) was then
performed to isolate sequences that are differentially expressed in
chordin-injected animal caps, yielding xGCNF.
FIG. 2. Total RNA (10 mg per lane) was run on an agarose gel,
transferred to a nylon membrane, and hybridized with a xGCNF
DNA probe. Transcripts of a single size of about 10 kb were
strongly expressed in chordin-injected caps (lane 1, upper blot). The
xGCNF band was substantially lower in BMP4-injected animal
caps (lane 2). 28S ribosomal RNA was used as a loading control
(lower bands), and reprobing with a max cDNA confirmed equal
loading (data not shown).
FIG. 3. The spatial pattern of expression of xGCNF during development. Whole-mount in situ hybridization was performed on different
stage embryos using xGCNF antisense probe. (A) A stage 10 embryo. Zygotic xGCNF transcripts were not detected. Solid arrowhead
indicates the emerging dorsal lip. (B) A stage 12.5 embryo. Transcripts for xGCNF were first detected at this stage in the anterior portion
of the neural plate. (C) A stage 13.5 embryo. Strong xGCNF expression was observed in the neural plate. There is an apparent
anterior-to-posterior gradient of xGCNF signal with the higher expression to the anterior. The expression is excluded from the midline,
which represents the future floorplate. Stripes of strong staining (white arrowheads) were seen at the front of the neural plate corresponding
approximately to the midbrainâhindbrain. (D) A stage 23 embryo (tailbud). The expression of xGCNF was decreased at this stage. Persistent
expression was seen in the somites and in the branchial arches.
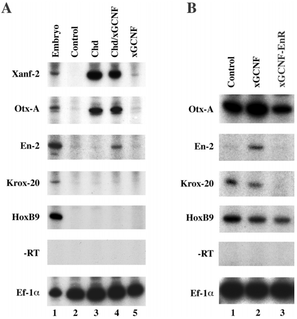
FIG. 4. RT-PCR analysis of neural gene expression. (A) Lane 1, stage 22 whole embryos show a complete anteroposterior range of neural
markers. Lane 2, animal caps from uninjected embryos express no neural markers. Lane 3, animal caps from chordin-injected embryos
express anterior neural markers. Lane 4, animal caps from embryos injected with chordin and xGCNF express En-2 in addition to anterior
neural markers. Lane 5, xGCNF alone does not induce neural markers in animal caps. PCR primer sets used were for Xanf-2, Otx-A, En-2,
Krox-20, HoxB9, and EF-1a which serves as a loading control (see Materials and Methods). (B) Lane 1, RT-PCR analysis of Keller explants
from uninjected embryos serve as controls. Lane 2, RT-PCR analysis of Keller sandwich explants from embryos injected with xGCNF RNA.
Lane 3, RT-PCR of Keller explants from embryos injected with the xGCNF-EnR RNA.
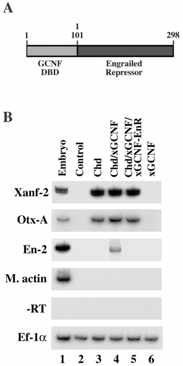
FIG. 5. (A) A diagram of a dominant interfering construct of xGCNF
(xGCNF-EnR). The nucleotides encoding 1–101 amino acids (the
DNA binding domain) of xGCNF were cloned in frame to the
nucleotides coding for the first 298 amino acids (repressor domain) of
Drosophila engrailed (Han and Manley, 1993). (B) Lane 1, RT-PCR
analysis of embryos reveals detectable levels of neural genes (Xanf-2,
Otx-A, En-2) as well as muscle actin (M. actin), a dorsal mesodermal
gene. Lane 2, animal cap explants express none of the marker genes.
Lane 3, animal caps from embryos injected with chordinRNA(360 pg)
express Xanf-2 and Otx-A. Lane 4, animal caps from embryos injected
with chordin (360 pg) and xGCNF (100 pg) RNAs express En-2 as well
as Xanf-2 and Otx-A. Lane 5, animal caps from embryos injected with
chordin (360 pg) and xGCNF (100 pg) RNAs, as well as xGCNF-EnR
RNA(200 pg), express Xanf-2 and Otx-A but not En-2. Lane 6, xGCNF
does not induce any marker in animal cap explants.
FIG. 6. xGCNF-EnR RNA reduces En-2 expression in whole embryos. RNA encoding prolactin (2 ng per embryo, A, D, and G), xGCNF
(0.6 ng per embryo, B, E, and H), or xGCNF-EnR (0.3 ng per embryo, C, F, and I) was injected into both blastomeres of two-cell-stage
embryos. Whole-mount in situ hybridization was performed at neurula stage using antisense RNA probes for different neural markers:
Otx-A (A, B, and C), En-2/Krox-20 (D, E, and F, with En-2 depicted by white arrowhead and double bands of Krox-20 by black arrows), or
HoxB9 (G, H, and I).