Click here to close Hello! We notice that you are using Internet Explorer, which is not supported by Xenbase and may cause the site to display incorrectly. We suggest using a current version of Chrome, FireFox, or Safari.
XB-ART-13942
Wound Repair Regen 1998 Jan 01;64:388-97. doi: 10.1046/j.1460-9568.1998.60415.x.
Show Gene links Show Anatomy links

Fibroblast growth factor receptors regulate the ability for hindlimb regeneration in Xenopus laevis.

D'Jamoos CA, McMahon G, Tsonis PA.


???displayArticle.abstract???
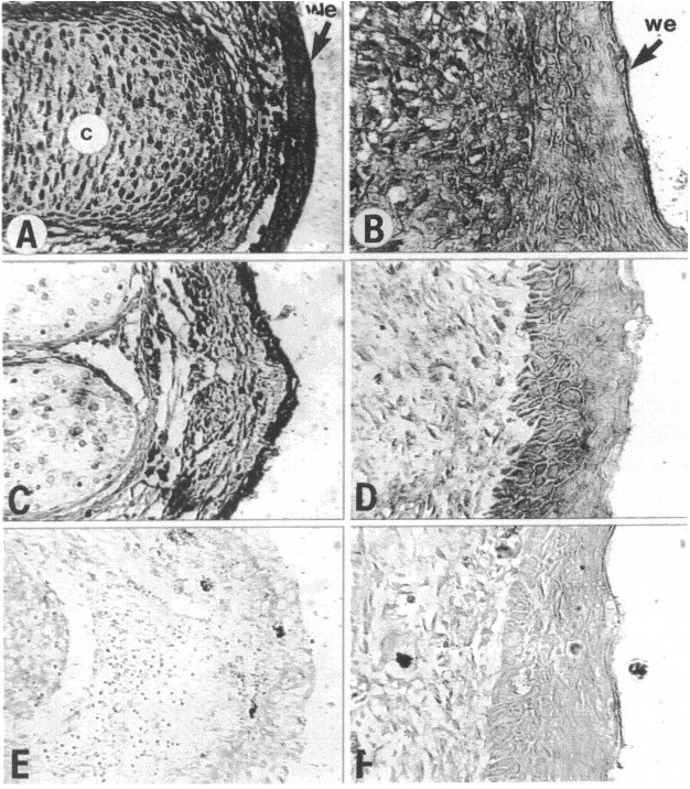
During outgrowth of the developing limb, signals from the apical ectodermal ridge, such as fibroblast growth factors, are paramount for limb patterning. Similarly, fibroblast growth factor molecules and their receptors are synthesized in the wound epithelium of the regenerating limb blastema, implicating an analogous function to limb development. To address this issue further and to understand the role of fibroblast growth factor receptor signaling in limb regeneration, we have examined the expression patterns of x-fibroblast growth factor receptors-1, -2, -3, -4a, and -4b in Xenopus laevis. This amphibian model provides a system in which both regenerating (premetamorphic; tadpole or larva stage) and nonregenerating (postmetamorphic; froglet stage) hindlimbs can be studied. In premetamorphic hindlimbs (stage 53), all of the receptors were expressed in the wound epithelium and the underlying mesenchyme. In postmetamorphic limbs (stage 61), however, transcripts for x-fibroblast growth factor receptors-1 and -2 were absent from the wound epithelium. The expression results for x-fibroblast growth factor receptors-1 and -2 were corroborated at the protein level by employing specific antibodies. Thus, it appears that expression of both fibroblast growth factor receptors-1 and -2 is associated with the ability for limb regeneration. The role of these receptors in regeneration was further investigated by using specific inhibitors to fibroblast growth factor receptors during premetamorphic hindlimb regeneration. These compounds inhibited the normal limb outgrowth and resulted, in the majority of the cases, in outgrowths of cones or spikes reminiscent of growth that is seen in amputated postmetamorphic limbs. Thus, fibroblast growth factor receptors-1 and -2 expression and function should be regarded as paramount for the ability of limb regeneration in Xenopus.

???displayArticle.pubmedLink??? 9824558
???displayArticle.link??? Wound Repair Regen


Species referenced: Xenopus laevis
Genes referenced: egfr fgfr1 fgfr2 fgfr4 nppa pdgfrb


???attribute.lit??? ???displayArticles.show???