Click here to close Hello! We notice that you are using Internet Explorer, which is not supported by Xenbase and may cause the site to display incorrectly. We suggest using a current version of Chrome, FireFox, or Safari.
XB-ART-15008
J Comp Neurol 1998 Jun 08;3953:273-80.
Show Gene links Show Anatomy links

Two olfactory marker proteins in Xenopus laevis.

Rössler P, Mezler M, Breer H.


???displayArticle.abstract???
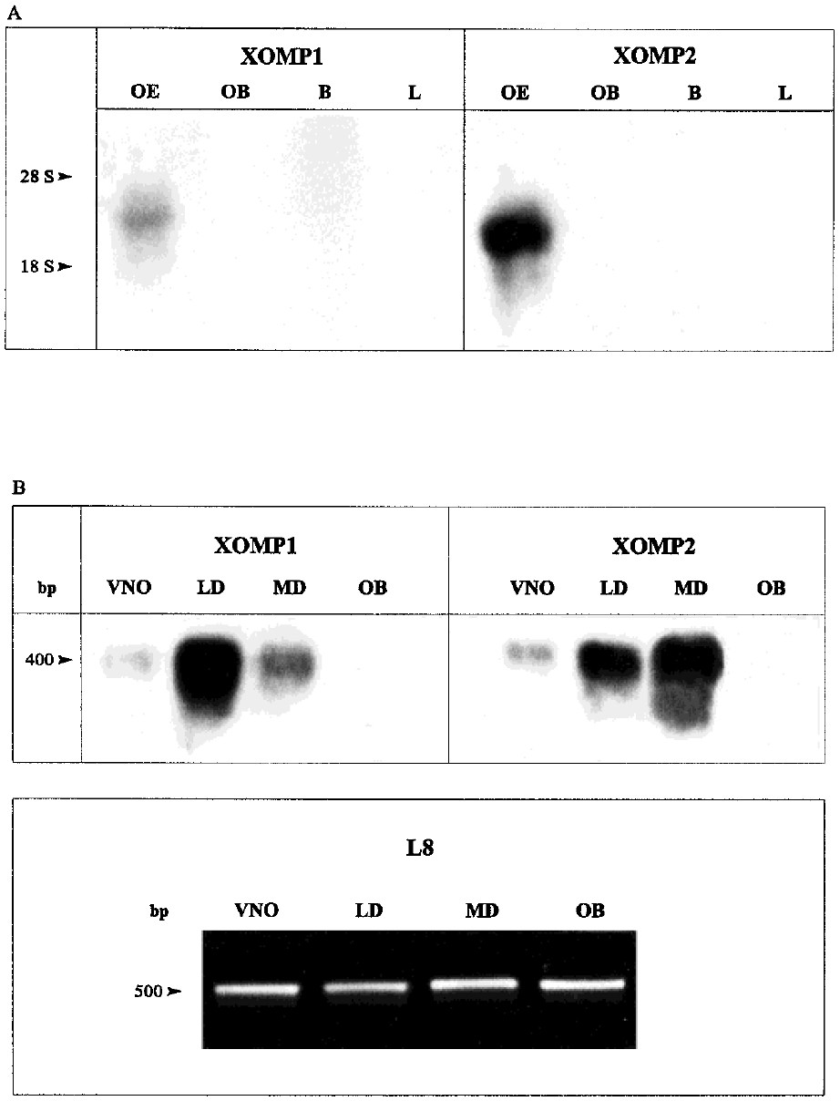
Mature olfactory receptor neurons of mammals are characterized by the expression of the highly conserved olfactory marker protein (OMP) encoded by single copy genes. In Xenopus laevis, two homologous genes encoding olfactory marker proteins have been identified that share a sequence identity with mammalian OMPs of about 50%. Sequence comparison revealed significant variability in the N-terminus and C-terminus regions; in contrast, two internal domains were highly conserved between amphibian and mammalian OMPs, suggesting some functional relevance. The two OMP subtypes were regionally expressed in the olfactory nasal epithelium of Xenopus. XOMP1 transcripts were more abundant in the lateral diverticulum and XOMP2 in the medial diverticulum. The lateral location of XOMP1 and medial location of XOMP2 correspond to the suggested locations of olfactory receptor neurons responsive to water-borne and air-borne odorants, respectively.

???displayArticle.pubmedLink??? 9596523
???displayArticle.link??? J Comp Neurol


Species referenced: Xenopus laevis
Genes referenced: omp


???attribute.lit??? ???displayArticles.show???