Click here to close Hello! We notice that you are using Internet Explorer, which is not supported by Xenbase and may cause the site to display incorrectly. We suggest using a current version of Chrome, FireFox, or Safari.
XB-ART-17164
Exp Eye Res 1997 Jan 01;641:73-84. doi: 10.1006/exer.1996.0183.
Show Gene links Show Anatomy links

Evidence for beta 1-integrins on both apical and basal surfaces of Xenopus retinal pigment epithelium.

Chen W, Joos TO, Defoe DM.


???displayArticle.abstract???
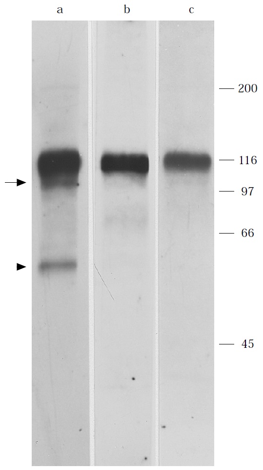
The retinal pigment epithelium (RPE) is a transporting epithelium with polarized membrane domains. A unique characteristic of these cells is that their apical surface does not face a lumenal space, but is directly apposed to a layer of neurons (photoreceptors) and their associated extracellular matrix. Because the interaction occurring at this site is important for retinal attachment and particle phagocytosis, an attempt was made to identify epithelial molecules which potentially could mediate cell-cell or cell-matrix adhesion. In the present report, the subcellular localization of beta 1-integrins, the main receptors for extracellular matrix ligands, has been examined within Xenopus RPE. Several previously characterized antibodies were used in this analysis including: two rabbit polyclonal antibodies directed against purified chick muscle fibronectin receptor (pAbs No. 3818 and No. 2999), and a monoclonal antibody specific for Xenopus beta 1-integrin subunit (mAb 8C8). In Western blots of whole epithelial cell extracts, each of the antibodies intensely labeled a 115 kDa band, consistent with beta 1-integrin reactivity. One of the reagents (pAb No. 3818) also weakly stained unidentified bands of 50 and 100 kDa. Pre-clearing experiments demonstrated that pAb No. 3818 and mAb 8C8 both recognize the same detergent-soluble integrin: when cell extracts were depleted of beta 1-integrin by immunoprecipitation with mAb 8C8, the 115 kDa antigen recognized by pAb No. 3818 was not observed. Consistent with their similar immunochemical reactivities, each of the antibodies produced equivalent immunocytochemical staining of many eyecup tissues, including extraocular skeletal muscle cells, scleral and choroidal fibroblasts and vascular endothelium of the choroid and neural retina. In the native RPE, and isolated sheets of epithelium, however, qualitative differences in labeling between these antibodies were evident. Analysis by confocal microscopy showed that, while all three antibodies stained the basal surface of the epithelium, pAb No. 3818 also strongly labeled the apical microvillar surface. As the adjacent photoreceptors did not cross-react with this antibody in control experiments, the apical RPE staining could not be accounted for as contamination with retinal tissues during isolation. Furthermore, when the apical cell surface was selectively biotinylated in situ, and biotinylated proteins precipitated by streptavidin-agarose, beta 1-integrin was detected by immunoblotting with both mAb 8C8 and pAb No. 3818. This domain-specific material, however, represented only a fraction of the whole cell surface integrin: substantially greater amounts of tagged molecules could be detected when isolated epithelial sheets were biotinylated, most likely representing the basal protein. Based on these results, it can be concluded that beta 1-integrin is present in both basal and apical RPE plasma membranes. Molecules present in the apical membrane may represent components of adhesion receptors responsible for retina-epithelium interactions.

???displayArticle.pubmedLink??? 9093023
???displayArticle.link??? Exp Eye Res
???displayArticle.grants??? [+]

Species referenced: Xenopus laevis
Genes referenced: fn1 gnl3 itgb1 nhs


???attribute.lit??? ???displayArticles.show???