XB-ART-19790
Gen Comp Endocrinol
1995 May 01;982:157-65. doi: 10.1006/gcen.1995.1056.
Show Gene links
Show Anatomy links
Developmental changes in melanin-concentrating hormone in Rana temporaria.
???displayArticle.abstract???
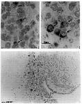
Melanin-concentrating hormone (MCH) is a vertebrate neuropeptide produced in hypothalamic neurons. In bony fish, such as trout, MCH acts as a neurohypophysial hormone which, once released into the circulation, acts on pigmented skin cells with the result that the fish turns pale to camouflage itself against a light colored background. In other animals the role of MCH is not clearly established but it appears to be a neuromodulator/transmitter within the central nervous system rather than a hormone. The present study examines MCH function in the grass frog, Rana temporaria. Using immunocytochemistry the location and morphology of irMCH neurons were followed, from tadpole to adult frog. In adult R. temporaria a group of MCH neurons appeared to comprise small and large-celled populations located in the ventral and dorsal infundibular regions, respectively. A group of MCH neurons in the preoptic area is proposed, although the perikarya were rarely immunostainable. Immunoreactive fibers were seen in various areas of the brain, including the olfactory lobes, optic tecta, habenular nucleus, and spinal cord. Immunoreactive MCH cells were only visible in midmetamorphic climax stages, and cellular morphology suggested low secretory activity until the animal first emerged onto land at which time nuclear size and granulation increased significantly. No such increase was observed in equivalent stages of the South African clawed toad, Xenopus laevis, an animal which is fully aquatic throughout its life in contrast to R. temporaria which is terrestrial.(ABSTRACT TRUNCATED AT 250 WORDS)
???displayArticle.pubmedLink??? 7635269
???displayArticle.link??? Gen Comp Endocrinol
Species referenced: Xenopus laevis
Genes referenced: pmch tecta tecta.2
???attribute.lit??? ???displayArticles.show???
