Click here to close
Hello! We notice that you are using Internet Explorer, which is not supported by Xenbase and may cause the site to display incorrectly.
We suggest using a current version of Chrome,
FireFox, or Safari.
Sequence and specificity of a soluble lactose-binding lectin from Xenopus laevis skin.
Marschal P
,
Herrmann J
,
Leffler H
,
Barondes SH
,
Cooper DN
.
???displayArticle.abstract???
A 16-kDa lactose-binding lectin comprises 5% or more of the soluble protein in Xenopus laevis skin. This lectin is mainly localized in the cytoplasm of granular gland cells. In response to stress, the lectin along with a variety of toxic and antibiotic peptides are released onto the skin surface by holocrine secretion. We have purified the lectin, sequenced tryptic peptides using tandem mass spectrometry and Edman degradation, and isolated full-length cDNA using a deduced oligonucleotide. Comparison of the cDNA and peptide sequences revealed expression of at least two isolectins, which differ in sequence at only two or three amino acids. Comparison of cDNA with complementary message by ribonuclease protection confirmed expression in approximately equal abundance of two nearly identical messages. The major soluble lactose-binding lectin expressed in Xenopus muscle is composed of these same isolectins, but at 100-fold lower levels. Similarities and distinctions in sequence and carbohydrate-binding specificity indicate that this lectin is a novel member of a family of soluble lactose-binding lectins expressed in a wide range of vertebrate tissues.
FIG. 1. Purification of the X. laevis 16-kDa lactose-binding
lectin. Lactose-binding lectins from extracts of skin (lane a) or
skeletal muscle (lane b) were purified by lactosyl-Sepharose affinity
chromatography. Bound proteins were eluted with 150 mM lactose.
Each eluate was further purified by anion-exchange chromatography.
A 14-kDa contaminant flowed through DEAE-Sepbarose (lane c),
and the 16-kDa lectin was eluted with 120 mM NaCl (lane d ) .P roteins
were resolved by SDS-PAGE and silver staining (10 ng of protein per
lane). Sizes (in kDa) and migration positions of protein standards are
indicated on the left.
FIG. 2. HPLC profiles of tryptic digests of skin and muscle
16-kDa lectin. The purified lectins from skin and muscle were
digested with trypsin, antdh e resulting peptidesw ere fractionated by
reversed-phase HPLC. Major peptide peaks separated by a gradient
of acetonitrile were detected by absorption at 214 nm and numbered
in order of their elution.
FIG.
3. Nucleotide and deduced amino acid sequence from
cDNA for the X. Zuevis 16-kDa lectin.
FIG. 4. Hybridization of 16-kDa lectin cDNA to RNA from
skin and muscle. Total RNA from skin (1 pg, lane a) and muscle
(40 pg, lane b) was electrophoresed in a 1% agarose-formaldehyde gel,
blotted onto nylon, and probed with 32P-labeled lectin cDNA. Band
sizes (in nucleotides) were estimated by comparison with RNA standards.
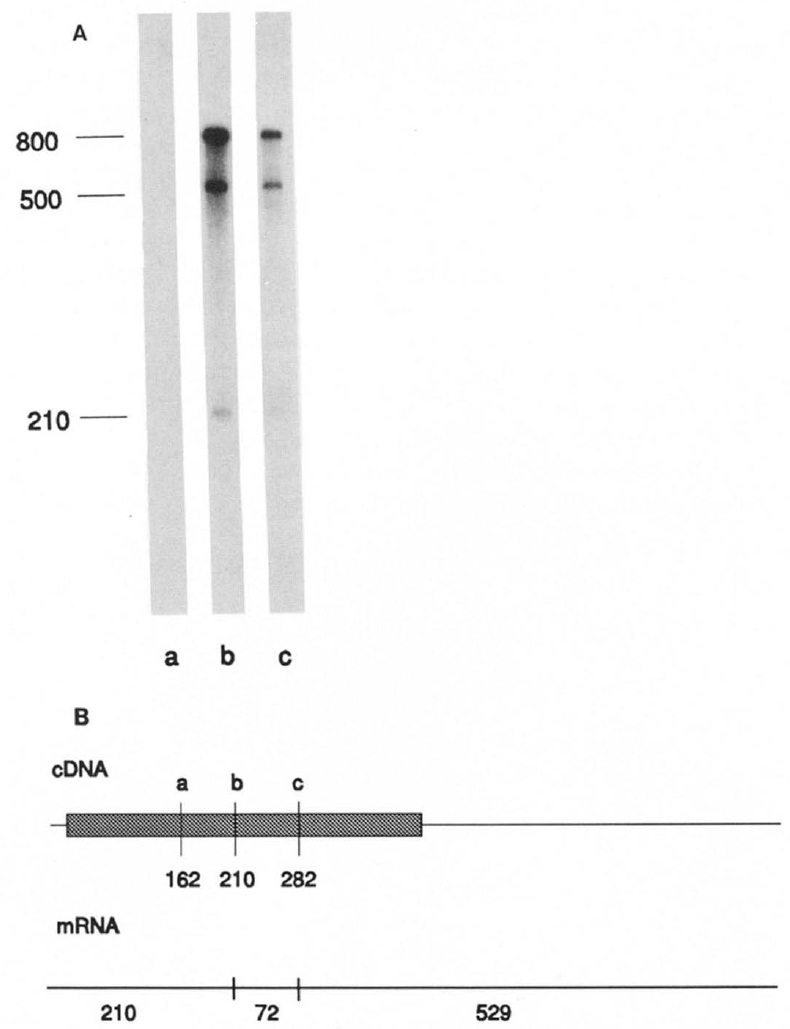
FIG. 5. Comparison of cDNA and complementary messages
for X. laevis 16-kDa lectin by RNase protection analysis. A,
radiolabeled cRNA for the 16-kDa lectin was hybridized with control
yeast RNA (IO pg, lane a), total skin RNA (1 pg, lane b), or total
muscle RNA (30 pg, lane c), digested with RNase, and protected
bands were resolved by electrophoresis in a urea/acrylamide gel. Band
sizes (in nucleotides) were estimated by comparison with a DNA
sequencing ladder. B, potential sites of cDNA and message mismatch
suggested either by inconsistency between cDNA and peptide sequence
(a, Cys/Leu) or by peptide sequence heterogeneity (b, Ile/Val;
c, Ala/Ser) are illustrated schematically. Position of potentially heterogeneous
codons are numbers by nucleotide position in the cDNA,
and the size of message fragments resulting from mismatch cleavage
at sites b and c are given in nucleotides.
FIG. 6. Genomic Southern blot analysis with cDNA probe
for X. laevis 16-kDa lectin. X. laeuis genomic DNA (30 rgllane)
was digested with EcoRI (lane a), BarnHI (lane b), HindIII ( l a n e c),
or PstI (lane cl). Fragments were separated by gel electrophoresis,
blotted, and allowed to hybridize with radiolabeled coding region of
the cDNA. Complementary genomic fragments were revealed by
autoradiography. Band sizes (in base pairs) were estimated by comparison
with the migration of lambda HindIII fragments.
FIG. 7. Amino acid sequence comparison of the X. laevis 16-kDa lectin with other vertebrate S-Lac lectins. The amino acid
sequence of the X. laeuis 16-kDa lactose-binding lectin is compared to sequences for L-14 S-lac lectins from human (29-32); chicken (37,
38), electric eel (39), and R. catesbiana (40), and to the sequence for an L-30 S-lac lectin from human (42-44). In some sequences gaps (-)
or compressions of two amino acids into one (&) were introduced to maximize alignment. Capitalized letters highlight the residues most
highly conserved among the L-14 lectins. Asterisks below the X. sequence mark deviations from the consensus sequence at these residues.
FIG. 8. Effect of lactose concentration on binding of X. laevis
16-kDa lectin to lactosyl-Sepharose beads. Percentage inhibition
is calculated as: 100 X (bound counts in absence of lactose -
bound counts in presence of lactose)/(counts bound in absence of
lactose).