Click here to close Hello! We notice that you are using Internet Explorer, which is not supported by Xenbase and may cause the site to display incorrectly. We suggest using a current version of Chrome, FireFox, or Safari.
XB-ART-24639
Development 1991 Aug 01;1124:1021-9.
Show Gene links Show Anatomy links

The switch from larval to adult globin gene expression in Xenopus laevis is mediated by erythroid cells from distinct compartments.

Weber R, Blum B, Müller PR.


???displayArticle.abstract???
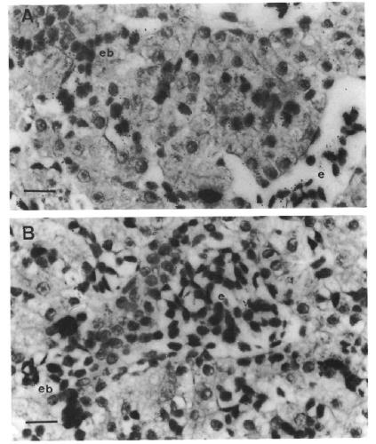
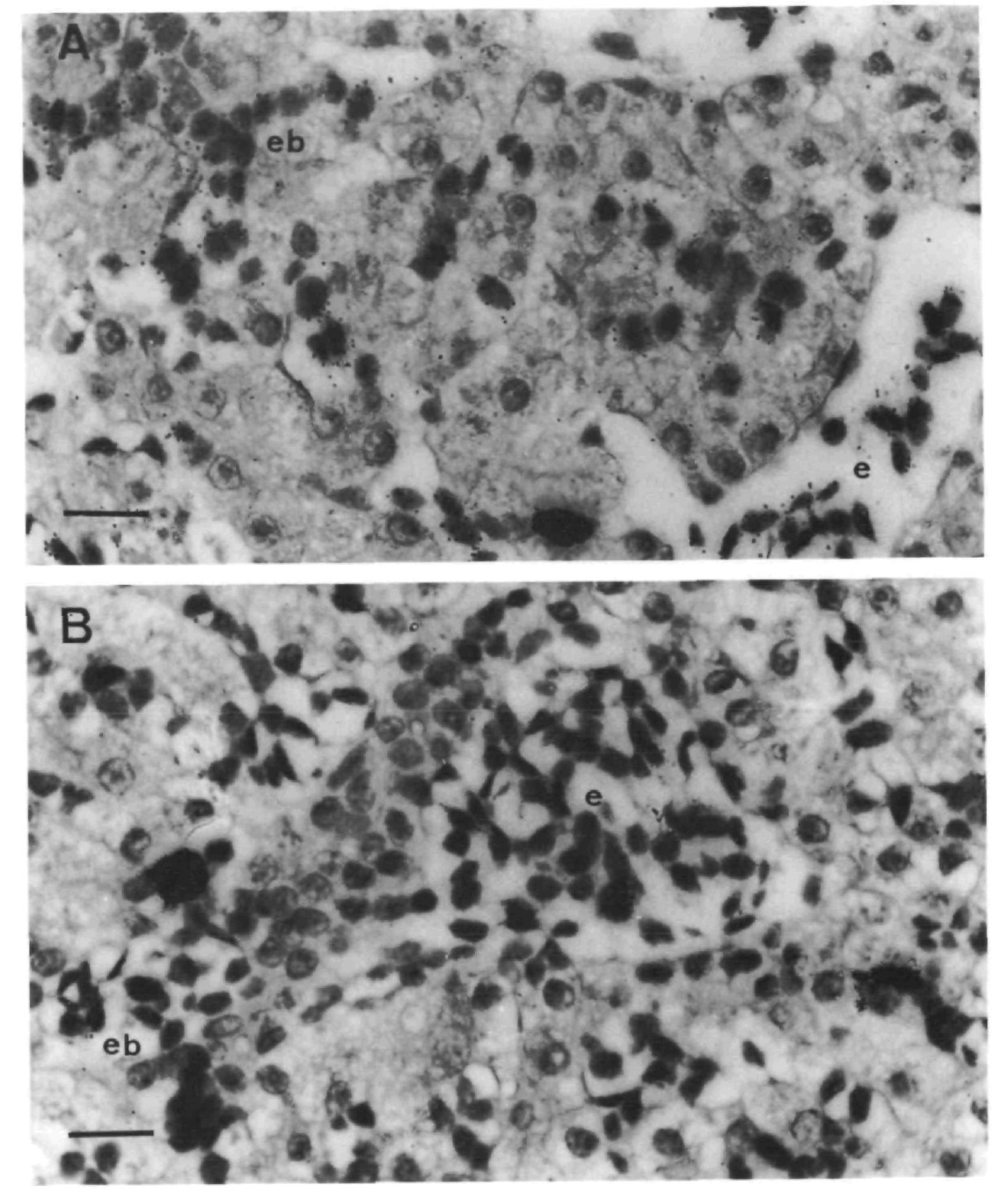
The transition of hemoglobins during metamorphosis of Xenopus laevis involves replacement of the larval erythrocytes by adult ones, suggesting that the developmental control of this event depends upon the growth characteristics of the precursor cells. To identify the erythroid precursor cells and to investigate their developmental fate, we analyzed the distribution of stage-specific globin mRNAs by northern blotting in dorsal and ventral fragments of stage 32 embryos after in vitro culture as well as presumptive erythropoietic tissues of tadpoles during metamorphosis. The histological analysis shows that erythrocytes differentiate only in ventral fragments, suggesting that the ventral blood islands and most likely also the dorsolateral mesoderm are the primary sites of erythropoiesis. We also demonstrate that the first generations of erythrocytes, already express the predominating larval-specific alpha-globin mRNAs. The globin mRNA patterns obtained from presumptive erythropoietic tissues suggest an important role of circulating precursor cells in larval erythropoiesis, whereas the liver appears to be the main site of formation and maturation of the adult erythrocytes. Tentatively we propose that anuran erythropoiesis is dependent upon a self-perpetuating stem-cell line and that the larval and the adult erythrocytes are derived from successive generations of erythroid precursors, whose commitment may be imposed by the erythropoietic sites.

???displayArticle.pubmedLink??? 1935695



Species referenced: Xenopus laevis
Genes referenced: hba1 hba3


???attribute.lit??? ???displayArticles.show???