XB-ART-25712
Exp Cell Res
1990 Aug 01;1892:157-62.
Show Gene links
Show Anatomy links
Expression of spasmolysin (FIM-A.1): an integumentary mucin from Xenopus laevis.
???displayArticle.abstract???
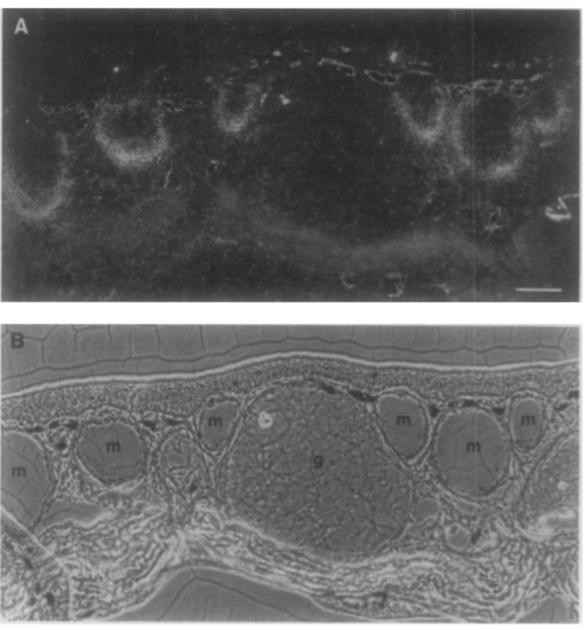
In the past, a unique type of precursor for a secretory protein was discovered. It contains a central repetitive domain rich in threonine residues and terminal cysteine-rich domains. Due to striking homologies of these terminal domains with pancreatic spasmolytic polypeptide, originally the name "prepro-spasmolysin" was proposed. Here we show that the mature protein has a MW of about 130 kDa, consisting of about 70% carbohydrate and 30% protein. Similar O-linked glycoproteins have been found in mucins from human intestine. For this and numerous other reasons we decided to rename this glycoprotein "frog integumentary mucin A.1" (FIM-A.1). Furthermore, analysis of the protein with specific antibodies against the predicted C-terminal end indicates that FIM-A.1 is probably not processed at pairs of basic residues. In situ hybridization as well as immunofluorescence studies revealed that FIM-A.1 is expressed and stored exclusively in mature mucous glands of Xenopus laevis skin. Only cone cells at the proximal part of these glands do not synthesize FIM-A.1. In contrast, all other physiologically active peptides from X. laevis skin investigated so far are synthesized in granular glands. A hypothetical function of FIMs for defense against microbial infections is discussed.
???displayArticle.pubmedLink??? 2196180
Species referenced: Xenopus laevis
Genes referenced: tff3.5
???attribute.lit??? ???displayArticles.show???
