Click here to close Hello! We notice that you are using Internet Explorer, which is not supported by Xenbase and may cause the site to display incorrectly. We suggest using a current version of Chrome, FireFox, or Safari.
XB-ART-26037
Int J Dev Biol 1990 Mar 01;341:171-80.
Show Gene links Show Anatomy links

Characterization of myogenesis from adult satellite cells cultured in vitro.

Le Moigne A, Martelly I, Barlovatz-Meimon G, Franquinet R, Aamiri A, Frisdal E, Bassaglia Y, Moraczewski G, Gautron J.


???displayArticle.abstract???
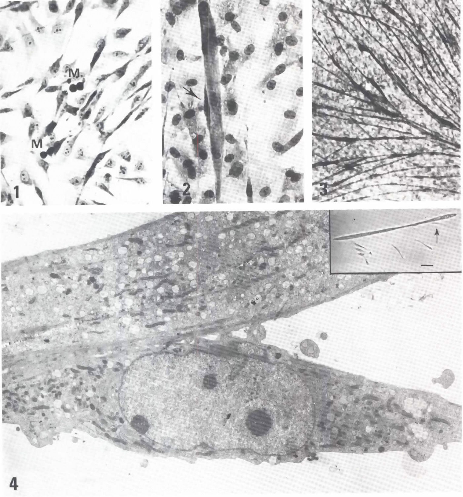
We describe several characteristics of in vitro myogenesis from adult skeletal muscle satellite cells from the rat and several amphibian species. The timing of cell proliferation and fusion into myotubes was determined, and in urodeles, myogenesis from satellite cells was clearly demonstrated for the first time. Growth factors are known to stimulate satellite cell proliferation. Acidic FGF mRNA was present in rat satellite cells during proliferation but it was not detected in myotubes. Fibronectin was synthesized in satellite cells during proliferation and expelled into the extracellular medium when the myotubes differentiated. We suggest that fibronectin plays a part in the formation of myotubes, as this process was inhibited by anti-fibronectin IgG. Adult satellite cells might differ from fetal myoblasts since they were observed to exhibit the opposite response to a phorbol ester (TPA) to that of the myoblasts. We therefore examined the possibility that the different levels of protein kinase C activity and different phorbol ester binding characteristics in the two cell types account for these opposite responses. Our results suggest that the difference is not connected with the phorbol ester receptor but might be caused by events subsequent to protein kinase C activation. Localized extracellular proteolytic activity might have a role in cell mobilization and/or fusion when satellite cells are activated. We showed that the content of plasminogen activators, chiefly urokinase, was larger in tissues from slow twitch muscles which regenerate more rapidly than fast muscles. The urokinase level rose sharply in cultures when cells fused into myotubes, and was twice as high in slow muscle cells as in fast ones. We also found that, in vitro, slow muscle satellite cells displayed greater myogenicity, but that phorbol ester inhibited their mitosis and myogenicity. We conclude that satellite cells acquire characteristics which differentiate them from myoblasts and correspond to the fast and slow muscles from which they originate.

???displayArticle.pubmedLink??? 2203456
???displayArticle.link??? Int J Dev Biol


Species referenced: Xenopus laevis
Genes referenced: fgg fn1 fubp1
???displayArticle.antibodies??? Fn1 Ab2


???attribute.lit??? ???displayArticles.show???