Click here to close
Hello! We notice that you are using Internet Explorer, which is not supported by Xenbase and may cause the site to display incorrectly.
We suggest using a current version of Chrome,
FireFox, or Safari.
???displayArticle.abstract???
The Ras protein activates at least three different pathways during early development. Two of them regulate mesodermal gene expression and the third is thought to participate in the control of actin cytoskeleton dynamics via the Ral protein. From a yeast two-hybrid screen of a Xenopus maternal cDNA library, we identified the Xenopus orthologue of the Ral interacting protein (RLIP, RIP1 or RalBP1), a putative effector of small G protein Ral. Previously, we observed that a constitutively activated form of Ral GTPase (XralB G23V) induced bleaching of the animal hemisphere and disruption of the cortical actin cytoskeleton. To demonstrate that RLIP is the effector of RalB in early development, we show that the artificial targeting of RLIP to the membrane induces a similar phenotype to that of activated RalB. We show that overexpression of the Ral binding domain (RalBD) of XRLIP, which binds to the effector site of Ral, acts in competition with the endogenous effector of Ral and protects against the destructive effect of XralB G23V on the actin cytoskeleton. In contrast, the XRLIP has a synergistic effect on the activated form of XralB, which is dependent on the RalBD of RLIP. We provide evidence for the involvement of RLIP by way of its RalBD on the dynamics of the actin cytoskeleton and propose that signalling from Ral to RLIP is required for gastrulation.
???displayArticle.pubmedLink???
15511640 ???displayArticle.link???Mech Dev
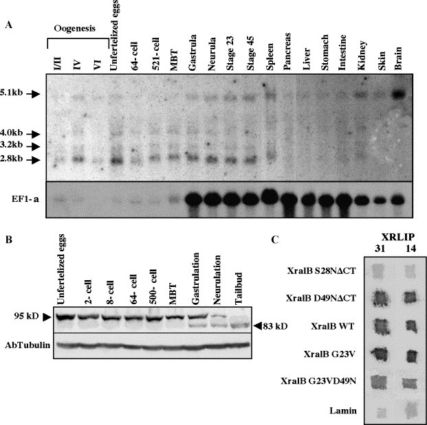
Fig. 2. (A) Temporal expression of Xenopus XRLIP mRNAs during oogenesis, development and in some adult tissues analyzed by Northern blot. Ten
micrograms of RNA of each stage were loaded, except for oogenesis stage I/II where 2 mg were loaded. RNAs were separated on an agarose gel, blotted and
hybridized with the XRLIP DH14 probe. EF1-a (Krieg, 1989 #94) was used as loading control on the same Northern blots (the zygotic transcription of EF1-a
mRNA begins at the mid-blastula transition (MBT). (B) Temporal expression of the Xenopus XRLIP proteins during development. Protein extracts
corresponding to one embryo for each of the different developmental stages were run on an SDS-polyacrylamide gel and immunoblotted with antiserum against
RLIP. Protein loading on each lane was monitored with anti-tubulin antibodies (Ab tubulin). C-XRLIP interacts specifically with RalB in the two-hybrid
system. Interactions of both Xenopus XRLIP, XRLIP DH31 (amino acids 1955) and XRLIP DH14 (amino acids 3055), were tested with either the
inactivated form (XralB S28NDCT), both activated forms, (XralB G23V, XralB G23VD49N), or wild type XralB. Human lamin served as control.
Fig. 3. In vivo interaction of Ral with RLIP. Embryos at the two-cell stage were microinjected with XralS28NC203S (lane 2) mRNA or co-injected with Myc-
XRLIP2 (lane 3) or Myc-XRLIP2DRalBD (lane 4) proteins were extracted at stage 10.5. Myc-XRLIP and Myc-XRLIP2DRalBD were immunoretained on
agarose and the co-immunoretained Ral proteins were assessed with anti-RalB antibodies. (A) The RLIP retained by anti-Myc agarose and the associated RalB
(IP:RalB). (B) Schematic representation of XRLIP2 indicates the position of the RalBD in XRLIP2 and the deletion of this domain in XRLIP2DRalBD.
Numbers refer to amino acids. (C) Localization of XRLIP was visualized with the monoclonal c-myc antibody 9E10 and secondary antibodies conjugated to
FITC. (D) Localization of XRLIP in cells of animal cap incubated with FGF. Scale bars represent 50 mm, each picture corresponds to the stacking of three
confocal optical sections of 1 mm thickness.
Fig. 4. Rescue of RalBD-injected embryos is dependent on the RalBD of RLIP. All embryos correspond to the same developmental stage (stage 12.5) as the
sibling controls (top row, left). Each blastomere of four-cell-stage embryos was injected in the marginal zone. Embryos injected with RLIP (middle left) or
RLIP2DRalBD (bottom left) mRNAs developed normally with a short delay in development compared with controls. RalBD mRNA injection (400 pg)
arrested development at stage 10.5 (top right). RLIP mRNA rescued the effect of RalBD mRNA (middle right). However, when RalBD mRNA was co-injected
with XRLIP2DRalBD mRNA (bottom right), embryos were blocked at the beginning of gastrulation (stage 10.5) as were embryos injected with only RalBD
mRNA (top right).
Fig. 5. RLIP acts on the actin cytoskeleton by its RalBD. (A) View of the
animal hemisphere of embryos at the large-cell blastula stage. Embryos
were injected into each blastomere at the two-cell stage with 300 pg of
XralB G23V mRNA (G23V), or 5 ng of GST-RalBD mRNA, or co-injected
with 300 pg of XralB G23VmRNA and 5 ng of GST-RalBD mRNA. (B)
Rescue of the effect of XralB G23V mRNA on cortical actin cytoskeleton
by co-injection with GST-RalBD mRNA. Analysis by confocal scanning
microscopy of actin cables stained by rhodamine-phalloidin (7.5 mg/ml).
Embryos injected in each blastomere with 300 pg XralB G23V mRNA, or
co-injected with 5 ng of GST-RalBD mRNA, cultured until the midblastula
stage. Arrows show the partially reconstituted cortical actin cables. Scale
bars represent 50 mm, confocal optical sections are 1 mm thick.
Fig. 6. Synergistic effect of XRLIP2 and RalG23V. (A) Embryos were injected in the animal hemisphere with XralB G23V mRNA (300 pg) alone, or coinjected
with 3 ng of either XRLIP2 or GFP mRNAs. (B) XRLIP2, but not XRLIP2DRalBD enhances the XralB G23V effect. Embryos were injected with
100 pg of XralB G23V mRNA, 3 ng XRLIP2 mRNA, or 3 ng of XRLIP2DRalBD mRNA, or co-injected with XralB G23V and XRLIP2 or XRLIP2DRalBD
mRNAs. Depigmentation was observed only when XralB G23V mRNA was co-injected with XRLIP.
Fig. 7. XRLIP2-CAAX phenocopies the XralB G23V effect. (A) Three nanograms of XRLIP2 CAAX mRNA, XRLIP mRNA, or 500 pg of XralB G23V
mRNA were injected into the animal hemisphere of two-cell stage embryos. Only XRLIP2-CAAX and XralB G23V induced depigmentation of the embryos.
(B) Targeting of XRLIP2 to the plasma membrane. All XRLIP constructs contain a c-myc tag at the N terminus. XRLIP2 or XRLIP2-CAAX (1 ng each) mRNA were microinjected into embryos at the two-cell stage. Localization of XRLIP was visualized with the monoclonal c-myc antibody 9E10 and secondary
antibodies conjugated to FITC. (C) Confocal microscope analysis of actin cytoskeleton cables stained by rhodamine-phalloidin at the 500-cell stage in animal
pole explants. The cortical actin cytoskeleton is visible only in uninjected control embryos and embryos injected with wild type XRLIP. Each picture
corresponds to stacking of three confocal optical sections of 1 mm thickness. (D) Magnification of animal blastomeres in an embryo injected with 0.75 ng of
XRLIP2-CAAX mRNA shows dynamic finger-like protrusions on the cell surface (black arrowheads). Cell division proceeds normally (white arrowheads).
The time lapse between each picture is 15 min. Scale bars represent 50 mm.
Fig. 8. Rescue of the Xral S28N induces gastrulation defect by XRLIP2-
CAAX expression. (A) Embryos at the four-cell stage were microinjected
in the marginal zone with 750 pg/blastomere of XralB S28N mRNA or
500 pg/blastomere of XRLIP2-CAAX mRNA, or coinjected with both
mRNAs. The figure shows a vegetal view of embryos at the same
developmental time after fertilization, as control siblings. Only embryos in
which XralB S28N mRNA has been injected alone exhibit a very wide
blastopore compared to control uninjected embryos. Embryos co-injected
with XralB S28N and RLIP2-CAAX mRNAs are delayed in blastopore
closure. (B) Analysis by Western blot of protein expression in rescue
experiments using appropriate antibodies (anti-RalB, and anti-myc for the
XRLIP constructs). Each lane was loaded with protein extracts corresponding
to one embryo.