Click here to close
Hello! We notice that you are using Internet Explorer, which is not supported by Xenbase and may cause the site to display incorrectly.
We suggest using a current version of Chrome,
FireFox, or Safari.
Mre11-Rad50-Nbs1-dependent processing of DNA breaks generates oligonucleotides that stimulate ATM activity.
Jazayeri A, Balestrini A, Garner E, Haber JE, Costanzo V.
???displayArticle.abstract???
DNA double-strand breaks (DSBs) can be processed by the Mre11-Rad50-Nbs1 (MRN) complex, which is essential to promote ataxia telangiectasia-mutated (ATM) activation. However, the molecular mechanisms linking MRN activity to ATM are not fully understood. Here, using Xenopus laevis egg extract we show that MRN-dependent processing of DSBs leads to the accumulation of short single-stranded DNA oligonucleotides (ssDNA oligos). The MRN complex isolated from the extract containing DSBs is bound to ssDNA oligos and stimulates ATM activity. Elimination of ssDNA oligos results in rapid extinction of ATM activity. Significantly, ssDNA oligos can be isolated from human cells damaged with ionizing radiation and injection of small synthetic ssDNA oligos into undamaged cells also induces ATM activation. These results suggest that MRN-dependent generation of ssDNA oligos, which constitute a unique signal of ongoing DSB repair not encountered in normal DNA metabolism, stimulates ATM activity.
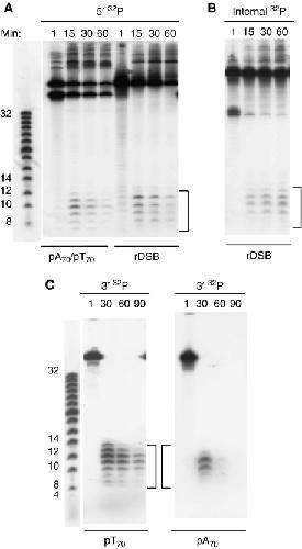
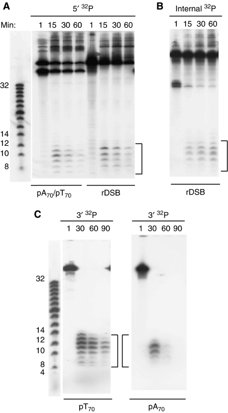
Figure 1. DNA end processing leads to generation of ssDNA oligos. (A) Different DNA structures such as rDSB and pA70/pT70 were stoichiometrically labelled at the 5′ (5′ 32P). After incubation for the indicated times in the egg extract, the DNA was recovered and ran on a 22% denaturing acrylamide gel. In (B) rDSBs were internally labelled (internal 32P) at the thirty-fifth nucleotide from the 5′ end and in (C) pT70 and pA70 were labelled at the 3′ end (3′ 32P) before incubation.
Figure 2. ATM activation by different DNA structures. (A) Histone H2AX carboxy-terminal peptide phosphorylation in the presence of increasing amounts of rDSB, pA70/pT70, pT70, pA70, M13 circular ssDNA or pT70 plus 100 μM aphidicolin (Aph). Activity was measured 15 min after incubation of DNA in the extract at 22°C and is expressed as fold induction over the activity measured in the untreated extract. (B) ATM serine 1981 phosphorylation in the untreated (âDNA) egg extract or extract supplemented with rDSB in the absence or presence of 10 μM Ku55933 (ATMi), 2.5 ng/μl pA70/pT70, pT70 or pA70 or after 30 min of incubation. Western blot was performed with Advance ECL for enhanced sensitivity. (C) Histone H2AX peptide phosphorylation in the presence of egg extract containing no DNA, 2.5 ng/μl rDSB, pT70 or 25 ng/μl pA70 and R70 measured at the indicated time points after DNA addition. Activity is expressed as fold induction. In all graphs, the values are average of three independent experiments and the error bars represent standard deviation.
Figure 3. ssDNA oligos sustain ATM activity. (A) Experimental procedure: biotinylated pA70/pT70 labelled with 32P on the 3â² end was incubated for 30 min in the extract and then removed with streptavidin beads. After pA70/pT70 removal, histone H2AX peptide phosphorylation was monitored. (B) Residual DNA left in the extract was isolated and run on a 15% TBEâurea denaturing gel. DNA was isolated from the extract incubated with biotinylated and labelled pA70/pT70 for 30 min (lane 1) and from extracts in which biotinylated pA70/pT70 was incubated for 30 min and then removed with streptavidin beads (Strep) (lanes 2 and 3). The extracts were untreated (lane 2) or supplemented with 0.001 U/μl PDEI (lane 3). (C) Histone H2AX peptide phosphorylation induced by 5 ng/μl biotinylated pA70/pT70 before and after pA70/pT70 removal in the absence (black bar) or in the presence (grey bar) of 0.001 U/μl PDEI. PDEI was added 30 min after DNA addition and was incubated for 10 min at 22°C. Activity is expressed as fold induction over the untreated extract (no DNA).
Figure 4. ssDNA oligos form DNAâprotein complexes with MRN that are able to induce ATM activation. (A) Biotinylated labelled pA70/pT70 was incubated in the extract for 30 min and following DNA removal with streptavidin beads, Mre11 was depleted and ATM activity was monitored. Activity is expressed as fold induction over the untreated samples. (B) 32P-labelled DNA isolated from Mre11 or mock immunoprecipitations was run on a 15% TBEâurea denaturing gel. Immunoprecipitates were untreated or treated with 0.001 U/μl PDEI. (C) Histone H2AX peptide phosphorylation induced by Mre11 immunoprecipitated from an untreated or a pA70/pT70-treated extract and transferred to an extract supplemented with low concentrations of pA70/pT70 (0.2 ng/μl) (black bar), rDSB (0.2 ng/μl) (grey bar) or no DNA (red bar). Immunoprecipitates were also treated with 0.001 U/μl PDEI for 10 min at 22°C before transfer into the extract supplemented with low concentrations of DNA (white bar).
Figure 5. ssDNA oligos are generated from MRN-dependent processing of chromosomal DSBs. (A) Sperm nuclei were incubated in the extract for 30 min. The extract was then supplemented with 0.2 U/μl of EcoRI in the presence or absence of 0.001 U/μl of PDEI and the samples were incubated for a further 60 min. Sperm nuclei were permeabilized and processed to isolate soluble low molecular weight DNA. DNA was labelled with TdT in the presence of 32P-alpha-ddATP and ran on a 15% TBE–urea denaturing gel. (B) Upper panel: sperm nuclei were incubated in the extract for 30 min, after which the extract was supplemented with 0.2 U/μl EcoRI and immediately processed to isolate low molecular weight DNA (0 min) or incubated for a further 60 min. The extracts were untreated, mock depleted (mock) or Mre11-depleted (Mre11 dep) and supplemented with recombinant MRN complex (+MRN) (250 nM). Lower panels: egg extract treated as indicated in the upper panel was probed with anti-Xenopus (xMre11) and anti-human Mre11 (hMre11) antibodies. (C) Sperm nuclei were incubated in the extract in the presence or absence of 0.2 U/μl of EcoRI or 0.001 U/μl of PDEI for 60 min. ATM was immunoprecipitated and immunoblotted as indicated. (D) Sperm nuclei were incubated in the extracts that were untreated (Un), mock depleted (mock) or Mre11 depleted (Mre11 dep) in the presence or absence of 0.2 U/μl of EcoRI for 60 min. ATM was immunoprecipitated and immunoblotted as indicated.
Figure 6. ssDNA oligos are generated following induction of DSBs in human cells and promote ATM activation when injected in undamaged cells. (A) Human U2OS cells were irradiated with 10 Gy of IR. Following a short recovery, cells were permeabilized and processed to isolate soluble low molecular weight DNA. DNA was labelled with TdT in the presence of 32P-alpha-ddATP and ran on a 15% TBE–urea denaturing gel. (B) U2OS cells were co-microinjected with 5 μg/μl pT5 and anti-goat IgG conjugated with Alexa Fluor 488. After 30 min incubation, cells were fixed and stained with anti-ATM phospho-serine 1981 antibody. Where indicated cells were treated with 10 Gy of IR and after 1 h were fixed and immunostained. The ATM inhibitor (ATMi) was used at 10 μM for 1 h prior to irradiation or microinjection. (C) U2OS cells were injected as indicated. All DNA concentrations were at 5 μg/μl and dTTP was 100 μM. After 30 min incubation, cells were fixed and stained with anti-ATM phospho-serine 1981 antibody. All the images were acquired under identical microscope settings. Scale bar is 10 mm.
Figure 7. Proposed model for ssDNA oligo action. ssDNA oligos generated by MRN-dependent processing of DSBs stimulates ATM activity by forming MRN–DNA oligo complexes. Elimination of ssDNA oligos by single-stranded DNA exonucleases such as Trex1 (see Discussion) might indirectly control ATM activity.
Bakkenist,
DNA damage activates ATM through intermolecular autophosphorylation and dimer dissociation.
2003, Pubmed
Bakkenist,
DNA damage activates ATM through intermolecular autophosphorylation and dimer dissociation.
2003,
Pubmed Barlow,
Differential regulation of the cellular response to DNA double-strand breaks in G1.
2008,
Pubmed Berkovich,
Roles of ATM and NBS1 in chromatin structure modulation and DNA double-strand break repair.
2007,
Pubmed Bhaskara,
Rad50 adenylate kinase activity regulates DNA tethering by Mre11/Rad50 complexes.
2007,
Pubmed
,
Xenbase Costanzo,
Xenopus cell-free extracts to study the DNA damage response.
2004,
Pubmed
,
Xenbase Costanzo,
Reconstitution of an ATM-dependent checkpoint that inhibits chromosomal DNA replication following DNA damage.
2000,
Pubmed
,
Xenbase Costanzo,
Mre11 assembles linear DNA fragments into DNA damage signaling complexes.
2004,
Pubmed
,
Xenbase Crow,
Mutations in the gene encoding the 3'-5' DNA exonuclease TREX1 cause Aicardi-Goutières syndrome at the AGS1 locus.
2006,
Pubmed D'Amours,
The yeast Xrs2 complex functions in S phase checkpoint regulation.
2001,
Pubmed Dupré,
Two-step activation of ATM by DNA and the Mre11-Rad50-Nbs1 complex.
2006,
Pubmed
,
Xenbase Dupré,
A forward chemical genetic screen reveals an inhibitor of the Mre11-Rad50-Nbs1 complex.
2008,
Pubmed
,
Xenbase Falck,
Conserved modes of recruitment of ATM, ATR and DNA-PKcs to sites of DNA damage.
2005,
Pubmed Guo,
Response of Xenopus Cds1 in cell-free extracts to DNA templates with double-stranded ends.
2000,
Pubmed
,
Xenbase Hickson,
Identification and characterization of a novel and specific inhibitor of the ataxia-telangiectasia mutated kinase ATM.
2004,
Pubmed Ira,
DNA end resection, homologous recombination and DNA damage checkpoint activation require CDK1.
2004,
Pubmed Jazayeri,
ATM- and cell cycle-dependent regulation of ATR in response to DNA double-strand breaks.
2006,
Pubmed Jenkins,
DNA polymerase beta and DNA synthesis in Xenopus oocytes and in a nuclear extract.
1992,
Pubmed
,
Xenbase Keogh,
A phosphatase complex that dephosphorylates gammaH2AX regulates DNA damage checkpoint recovery.
2006,
Pubmed Lee,
ATM activation by DNA double-strand breaks through the Mre11-Rad50-Nbs1 complex.
2005,
Pubmed Lee,
Saccharomyces Ku70, mre11/rad50 and RPA proteins regulate adaptation to G2/M arrest after DNA damage.
1998,
Pubmed Mazur,
Excision of 3' termini by the Trex1 and TREX2 3'-->5' exonucleases. Characterization of the recombinant proteins.
2001,
Pubmed Paull,
The 3' to 5' exonuclease activity of Mre 11 facilitates repair of DNA double-strand breaks.
1998,
Pubmed RAZZELL,
Studies on polynucleotides. IV. Enzymic degradation; the stepwise action of venom phosphodiesterase on deoxyribo-oligonucleotides.
1959,
Pubmed RAZZELL,
Studies on polynucleotides. III. Enzymic degradation; substrate specificity and properties of snake venom phosphodiesterase.
1959,
Pubmed Richard,
Single-stranded DNA-binding protein hSSB1 is critical for genomic stability.
2008,
Pubmed Sartori,
Human CtIP promotes DNA end resection.
2007,
Pubmed Shiloh,
The ATM-mediated DNA-damage response: taking shape.
2006,
Pubmed
,
Xenbase Stiff,
ATR-dependent phosphorylation and activation of ATM in response to UV treatment or replication fork stalling.
2006,
Pubmed Takeda,
Ctp1/CtIP and the MRN complex collaborate in the initial steps of homologous recombination.
2007,
Pubmed Trenz,
ATM and ATR promote Mre11 dependent restart of collapsed replication forks and prevent accumulation of DNA breaks.
2006,
Pubmed
,
Xenbase Tsukuda,
Chromatin remodelling at a DNA double-strand break site in Saccharomyces cerevisiae.
2005,
Pubmed Uziel,
Requirement of the MRN complex for ATM activation by DNA damage.
2003,
Pubmed Vaze,
Recovery from checkpoint-mediated arrest after repair of a double-strand break requires Srs2 helicase.
2002,
Pubmed Yang,
Trex1 exonuclease degrades ssDNA to prevent chronic checkpoint activation and autoimmune disease.
2007,
Pubmed Yoo,
Mcm2 is a direct substrate of ATM and ATR during DNA damage and DNA replication checkpoint responses.
2004,
Pubmed
,
Xenbase