Click here to close
Hello! We notice that you are using Internet Explorer, which is not supported by Xenbase and may cause the site to display incorrectly.
We suggest using a current version of Chrome,
FireFox, or Safari.
PLoS One
2008 Sep 01;39:e3121. doi: 10.1371/journal.pone.0003121.
Show Gene links
Show Anatomy links
Group II intron-based gene targeting reactions in eukaryotes.
Mastroianni M, Watanabe K, White TB, Zhuang F, Vernon J, Matsuura M, Wallingford J, Lambowitz AM.
???displayArticle.abstract???
BACKGROUND: Mobile group II introns insert site-specifically into DNA target sites by a mechanism termed retrohoming in which the excised intron RNA reverse splices into a DNA strand and is reverse transcribed by the intron-encoded protein. Retrohoming is mediated by a ribonucleoprotein particle that contains the intron-encoded protein and excised intron RNA, with target specificity determined largely by base pairing of the intron RNA to the DNA target sequence. This feature enabled the development of mobile group II introns into bacterial gene targeting vectors ("targetrons") with programmable target specificity. Thus far, however, efficient group II intron-based gene targeting reactions have not been demonstrated in eukaryotes.
METHODOLOGY/PRINCIPAL FINDINGS: By using a plasmid-based Xenopus laevis oocyte microinjection assay, we show that group II intron RNPs can integrate efficiently into target DNAs in a eukaryotic nucleus, but the reaction is limited by low Mg(2+) concentrations. By supplying additional Mg(2+), site-specific integration occurs in up to 38% of plasmid target sites. The integration products isolated from X. laevis nuclei are sensitive to restriction enzymes specific for double-stranded DNA, indicating second-strand synthesis via host enzymes. We also show that group II intron RNPs containing either lariat or linear intron RNA can introduce a double-strand break into a plasmid target site, thereby stimulating homologous recombination with a co-transformed DNA fragment at frequencies up to 4.8% of target sites. Chromatinization of the target DNA inhibits both types of targeting reactions, presumably by impeding RNP access. However, by using similar RNP microinjection methods, we show efficient Mg(2+)-dependent group II intron integration into plasmid target sites in zebrafish (Danio rerio) embryos and into plasmid and chromosomal target sites in Drosophila melanogster embryos, indicating that DNA replication can mitigate effects of chromatinization.
CONCLUSIONS/SIGNIFICANCE: Our results provide an experimental foundation for the development of group II intron-based gene targeting methods for higher organisms.
???displayArticle.pubmedLink???
18769669 ???displayArticle.pmcLink???PMC2518211 ???displayArticle.link???PLoS One ???displayArticle.grants???[+]
Figure 1. Group II intron-integration assay in X. laevis oocyte nuclei.(A) Plasmid assay. Microinjected group II intron RNPs containing a 0.9-kb Ll.LtrB-ΔORF intron RNA with a T7 promoter in DIV and the group II intron RT integrate into a target site (ligated ltrB exon 1 and 2 sequences; E1 and E2) cloned upstream of a promoterless tetR gene in an AmpR target plasmid (pBRR3-ltrB), thereby activating the tetR gene. T1 and T2 are E. coli rrnB transcription terminators, and Tφ is a phage T7 transcription terminator. (B) Protocol. Target plasmids and RNPs were injected into oocyte nuclei using different needles. After incubating the oocytes for different times, nucleic acids were isolated and electroporated into E. coli HMS174(DE3). The integration efficiency was calculated as the ratio of (TetR+AmpR)/AmpR colonies.
Figure 2. Determination of optimal conditions for site-specific integration of group II intron RNPs into a plasmid target site in X. laevis oocyte nuclei.(A) Mg2+-concentration dependence. Target plasmid DNA (10 ng) with 0 to 2,000 mM MgCl2 and 17 mM dNTPs was injected into X. laevis oocyte nuclei followed by Ll.LtrB lariat RNPs (50 ng). The oocytes were incubated for 2 h at 25°C. (B) Temperature dependence. Target plasmid DNA (9 ng) with 500 mM MgCl2 and 17 mM dNTPs was injected into X. laevis oocyte nuclei followed by Ll.LtrB lariat RNPs (50 ng). The oocytes were incubated for 2 h at different temperatures. (C and D) Time courses at 25°C or 30°C, respectively. Target plasmid DNA (4.5 ng) with 500 mM MgCl2 and 17 mM dNTPs was injected into X. laevis oocyte nuclei, followed by Ll.LtrB lariat RNPs (36 ng). The oocytes were incubated for the indicated times and then quick frozen on dry ice. Nucleic acids isolated from the 25°C-incubated oocytes were untreated or digested with KpnI or MluI (10 units; New England Biolabs) for 1 h at 37°C and then extracted twice with phenol-CIA and ethanol precipitated prior to electroporation into E. coli. In (A)–(D), injection volumes were 18 nl. Integration efficiencies (%) were determined by electroporating nucleic acids extracted from oocytes into E. coli HMS174(DE3), followed by plating to determine ratios of (TetR+AmpR)/AmpR colonies, as described in Figure 1 and Materials and Methods. Each experiment was repeated at least once with essentially the same results.
Figure 3. Assay of group II intron-RNP stimulated homologous recombination in X. laevis oocyte nuclei.A target plasmid (pBRR3-ltrB) containing the Ll.LtrB intron-insertion site (IS; ligated ltrB exon 1 and 2 sequences; E1 and E2) was co-injected into X. laevis oocyte nuclei with a 5.4-kb linear donor DNA, consisting of a 4-kb phage λ sequence with an inserted T7 promoter, flanked by 705- and 718-bp sequences homologous to those flanking the Ll.LtrB-insertion site in the target plasmid. Ll.LtrB RNPs containing the 0.9-kb Ll.LtrB-ΔORF intron and the group II intron RT were then injected into the same oocyte nuclei. A double-strand break resulting from intron RNA reverse splicing and second-strand cleavage at the Ll.LtrB target site stimulates homologous recombination, resulting in the insertion of the donor DNA containing the T7 promoter, thereby activating the tetR gene. Nucleic acids were isolated and electroporated into E. coli HMS174(DE3), and the targeting efficiency was calculated as the ratio of (TetR+AmpR)/AmpR colonies.
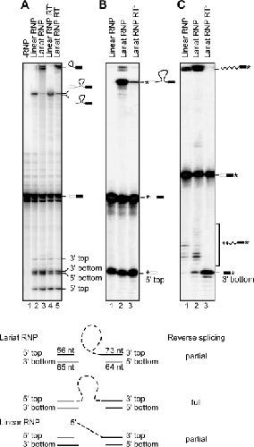
Figure 4. Target DNA cleavage and target DNA-primed reverse transcription reactions of RNPs reconstituted with lariat or linear Ll.LtrB intron RNA.Ll.LtrB RNPs containing lariat or linear intron RNA were incubated with 32P-labeled DNA oligonucleotide substrates containing the Ll.LtrB target site (positions −56 to +73 from the Ll.LtrB intron-insertion site), and the products were analyzed in a denaturing polyacrylamide gel. (A) Lariat and linear RNPs were incubated with internally labeled DNA substrate for 30 min at 37°C, as described in Materials and Methods. (B) and (C) Lariat and linear RNPs incubated with DNA substrates labeled (asterisk) at the 5′-end of the top and bottom strand, respectively in the presence of 0.2 mM dATP, dCTP, dGTP, and dTTP for 30 min at 37°C. In (A)–(C), products are indicated to the right of the gel. The schematic at the bottom diagrams the products expected for each reaction. All lanes are from the same gel, but some lanes in (A) were rearranged to appear adjacent.
Figure 5. Site-specific integration of retargeted Ll.LtrB introns into chromosomal target sites in the Drosophila melanogaster yellow (y) gene.(A) DNA target site sequences and Ll.LtrB intron RNA base-pairing interactions for targetrons Y18a and Y3776s. Retargeted Ll.LtrB-ΔORF introns (targetrons) are denoted by a number that corresponds to the nucleotide position 5′ to the Ll.LtrB intron-insertion site numbered from the A of the ATG initiation codon, followed by “a” or “s”, indicating sense and antisense strand respectively. The DNA target sequences are shown from positions −30 to +15 from the intron-insertion site, with nucleotide residues that match those in the wild-type Ll.ltrB intron target sequence [7] highlighted in gray in the top strand. The intron-insertion site (IS) in the top strand and the IEP-cleavage site (CS) in the bottom strand are indicated by arrowheads. Below is shown a schematic of the Drosophila yellow (y) gene (NCBI accession number P09957), with the targetron-insertion sites indicated, and a diagram of the PCRs used to detect site-specific targetron insertion. y gene exons are gray rectangles, and introns and flanking sequences are lines. PCR primers used to detect and sequence the targetron integrations are indicated by numbered arrows. (B) PCR analysis of targetron Y18a integration using a double-injection protocol. Fifty embryos were injected with a solution containing 100 mM MgCl2+17 mM dNTPs followed by Y18a lariat RNPs (0.9 mg/ml). The embryos were incubated for 1 h at 30°C followed by 48 h at 18°C. Nucleic acids were isolated, and PCR products corresponding to the 5′- and 3′-junctions of Y18a integrated at its chromosomal target site (1,156-bp and 238-bp, respectively) were detected by nested PCR using the following primer pairs: 5′-junction, primers 1 (LtrB+940a) and 2 (yellow+277a), followed by primers 3 (LtrB+933a) and 4 (yellow+241a); 3′-junction, primers 5 (LtrB+788s) and 6 (yellow-350a), followed by primers 7 (LtrB+880s) and 8 (yellow-160s) (see Materials and Methods). (C) PCR analysis of targetron Y3776s integration using a double-injection protocol. Forty embryos were injected with 100 mM MgCl2 followed by Y3776s lariat RNPs (1.3 mg/ml), and the embryos were then incubated for 30 min at 37°C. Nucleic acids were isolated, and a 702-bp PCR product corresponding to the 3′-junction of Y3776s integrated at its target site was detected by PCR using primers 5 (LtrB+788s) and 9 (yellow+4325a) (see Materials and Methods). The dark band at the bottom of the gel is RNA. (D) PCR analysis of Y3776s integration using a single-injection protocol. Thirty embryos were injected with a solution containing100 mM KCl, 5 mM putrescine dihydrochloride, 3 mM spermidine trihydrochloride, 1 mM spermine tetrahydrochoride, 5 mM MgCl2, and Y3776s linear RNPs (0.5 mg/ml). After incubating the embryos for 30 min at 37°C, nucleic acids were isolated as described above, and a 348-bp PCR product (arrow) corresponding to the 3′-junction for Y3776s integrated at its target site was detected by nested PCR using primers 5 (LtrB+788s) and 9 (yellow+4325a), followed by primers 10 (LtrB+870s) and 11 (yellow+4054a) (see Materials and Methods). Other bands in the gel are likely due to non-specific annealing of the primers. In (B–D), the PCR products were analyzed by electrophoresis in a 1% agarose gel, which was stained with ethidium bromide, and the identities of the PCR products were confirmed by sequencing across the integration junctions (not shown).
Aizawa,
The pathway for DNA recognition and RNA integration by a group II intron retrotransposon.
2003, Pubmed
Aizawa,
The pathway for DNA recognition and RNA integration by a group II intron retrotransposon.
2003,
Pubmed Anderson,
Human gene therapy.
1998,
Pubmed Baum,
Chance or necessity? Insertional mutagenesis in gene therapy and its consequences.
2004,
Pubmed Beumer,
Efficient gene targeting in Drosophila with zinc-finger nucleases.
2006,
Pubmed Bibikova,
Targeted chromosomal cleavage and mutagenesis in Drosophila using zinc-finger nucleases.
2002,
Pubmed Bojanowski,
Ionic control of chromosome architecture in living and permeabilized cells.
1998,
Pubmed Bunz,
Human cell knockouts.
2002,
Pubmed Capecchi,
The new mouse genetics: altering the genome by gene targeting.
1989,
Pubmed Carroll,
Homologous genetic recombination in Xenopus: mechanism and implications for gene manipulation.
1996,
Pubmed
,
Xenbase Cathomen,
Zinc-finger Nucleases: The Next Generation Emerges.
2008,
Pubmed Cathomen,
Zinc-finger nucleases: the next generation emerges.
2008,
Pubmed Cazenave,
Characterization and subcellular localization of ribonuclease H activities from Xenopus laevis oocytes.
1994,
Pubmed
,
Xenbase Chen,
Construction of an alpha toxin gene knockout mutant of Clostridium perfringens type A by use of a mobile group II intron.
2005,
Pubmed Cousineau,
Retrohoming of a bacterial group II intron: mobility via complete reverse splicing, independent of homologous DNA recombination.
1998,
Pubmed Cui,
A group II intron-encoded maturase functions preferentially in cis and requires both the reverse transcriptase and X domains to promote RNA splicing.
2004,
Pubmed Daniels,
Two competing pathways for self-splicing by group II introns: a quantitative analysis of in vitro reaction rates and products.
1996,
Pubmed Dickson,
Abortive transposition by a group II intron in yeast mitochondria.
2004,
Pubmed Dion,
The localization of spermidine in salivary gland cells of Drosophila melanogaster and its effect on H3-uridine incorporation.
1967,
Pubmed Donsante,
AAV vector integration sites in mouse hepatocellular carcinoma.
2007,
Pubmed Dorsett,
siRNAs: applications in functional genomics and potential as therapeutics.
2004,
Pubmed Doyon,
Heritable targeted gene disruption in zebrafish using designed zinc-finger nucleases.
2008,
Pubmed Eskes,
Mobility of yeast mitochondrial group II introns: engineering a new site specificity and retrohoming via full reverse splicing.
1997,
Pubmed Eskes,
Multiple homing pathways used by yeast mitochondrial group II introns.
2000,
Pubmed Fedorova,
Group II introns: highly specific endonucleases with modular structures and diverse catalytic functions.
2002,
Pubmed Frazier,
Genetic manipulation of Lactococcus lactis by using targeted group II introns: generation of stable insertions without selection.
2003,
Pubmed Granlund,
Mutually exclusive distribution of IS1548 and GBSi1, an active group II intron identified in human isolates of group B streptococci.
2001,
Pubmed Gregan,
The mitochondrial inner membrane protein Lpe10p, a homologue of Mrs2p, is essential for magnesium homeostasis and group II intron splicing in yeast.
2001,
Pubmed Guo,
Group II intron endonucleases use both RNA and protein subunits for recognition of specific sequences in double-stranded DNA.
1997,
Pubmed Guo,
Group II introns designed to insert into therapeutically relevant DNA target sites in human cells.
2000,
Pubmed Hagedorn,
Characterization of a major permeability barrier in the zebrafish embryo.
1998,
Pubmed Handwerger,
Heat shock induces mini-Cajal bodies in the Xenopus germinal vesicle.
2002,
Pubmed
,
Xenbase Hannon,
RNA interference.
2002,
Pubmed Heap,
The ClosTron: a universal gene knock-out system for the genus Clostridium.
2007,
Pubmed Jackson,
Expression profiling reveals off-target gene regulation by RNAi.
2003,
Pubmed Jasin,
Genetic manipulation of genomes with rare-cutting endonucleases.
1996,
Pubmed Jones,
Retargeting mobile group II introns to repair mutant genes.
2005,
Pubmed Karberg,
Group II introns as controllable gene targeting vectors for genetic manipulation of bacteria.
2001,
Pubmed Lambowitz,
Mobile group II introns.
2004,
Pubmed Lloyd,
Targeted mutagenesis using zinc-finger nucleases in Arabidopsis.
2005,
Pubmed Lombardo,
Gene editing in human stem cells using zinc finger nucleases and integrase-defective lentiviral vector delivery.
2007,
Pubmed Marshall,
Clinical research. Gene therapy a suspect in leukemia-like disease.
2002,
Pubmed Meng,
Targeted gene inactivation in zebrafish using engineered zinc-finger nucleases.
2008,
Pubmed Michels,
Conversion of a group II intron into a new multiple-turnover ribozyme that selectively cleaves oligonucleotides: elucidation of reaction mechanism and structure/function relationships.
1995,
Pubmed Moehle,
Targeted gene addition into a specified location in the human genome using designed zinc finger nucleases.
2007,
Pubmed Mohr,
Rules for DNA target-site recognition by a lactococcal group II intron enable retargeting of the intron to specific DNA sequences.
2000,
Pubmed Mörl,
Integration of group II intron bI1 into a foreign RNA by reversal of the self-splicing reaction in vitro.
1990,
Pubmed Pâques,
Meganucleases and DNA double-strand break-induced recombination: perspectives for gene therapy.
2007,
Pubmed Perutka,
Use of computer-designed group II introns to disrupt Escherichia coli DExH/D-box protein and DNA helicase genes.
2004,
Pubmed Podar,
Group II intron splicing in vivo by first-step hydrolysis.
1998,
Pubmed Porteus,
Gene targeting using zinc finger nucleases.
2005,
Pubmed Rago,
Genetic knockouts and knockins in human somatic cells.
2007,
Pubmed Rodriguez,
Targeted inactivation of francisella tularensis genes by group II introns.
2008,
Pubmed Romani,
Hormonal regulation of Mg2+ transport and homeostasis in eukaryotic cells.
2002,
Pubmed Rong,
Gene targeting by homologous recombination in Drosophila.
2000,
Pubmed Russell,
Human gene targeting by viral vectors.
1998,
Pubmed Saldanha,
RNA and protein catalysis in group II intron splicing and mobility reactions using purified components.
1999,
Pubmed San Filippo,
Characterization of the C-terminal DNA-binding/DNA endonuclease region of a group II intron-encoded protein.
2002,
Pubmed Santiago,
Targeted gene knockout in mammalian cells by using engineered zinc-finger nucleases.
2008,
Pubmed Segal,
Endonuclease-induced, targeted homologous extrachromosomal recombination in Xenopus oocytes.
1995,
Pubmed
,
Xenbase Shao,
Targeted gene disruption by use of a group II intron (targetron) vector in Clostridium acetobutylicum.
2007,
Pubmed Singh,
Interaction of a group II intron ribonucleoprotein endonuclease with its DNA target site investigated by DNA footprinting and modification interference.
2001,
Pubmed Smith,
Recruitment of host functions suggests a repair pathway for late steps in group II intron retrohoming.
2005,
Pubmed Streisinger,
Production of clones of homozygous diploid zebra fish (Brachydanio rerio).
1981,
Pubmed Urnov,
Highly efficient endogenous human gene correction using designed zinc-finger nucleases.
2005,
Pubmed Verma,
Gene therapy -- promises, problems and prospects.
1997,
Pubmed Vogel,
Lariat formation and a hydrolytic pathway in plant chloroplast group II intron splicing.
2002,
Pubmed Wiesenberger,
The nuclear gene MRS2 is essential for the excision of group II introns from yeast mitochondrial transcripts in vivo.
1992,
Pubmed Yao,
Gene targeting in gram-negative bacteria by use of a mobile group II intron ("Targetron") expressed from a broad-host-range vector.
2007,
Pubmed Yao,
Use of targetrons to disrupt essential and nonessential genes in Staphylococcus aureus reveals temperature sensitivity of Ll.LtrB group II intron splicing.
2006,
Pubmed