XB-ART-42018
Cell
2010 Aug 06;1423:444-55. doi: 10.1016/j.cell.2010.06.039.
Show Gene links
Show Anatomy links
Aurora kinases and protein phosphatase 1 mediate chromosome congression through regulation of CENP-E.
Kim Y, Holland AJ, Lan W, Cleveland DW.
???displayArticle.abstract???
Opposing roles of Aurora kinases and protein phosphatase 1 (PP1) during mitosis have long been suggested. Here, we demonstrate that Aurora kinases A and B phosphorylate a conserved residue on the kinetochore motor CENP-E. PP1 binds CENP-E via a motif overlapping this phosphorylation site and binding is disrupted by Aurora phosphorylation. Phosphorylation of CENP-E by the Auroras is enriched at spindle poles, disrupting binding of PP1 and reducing CENP-E's affinity for individual microtubules. This phosphorylation is required for CENP-E-mediated towing of initially polar chromosomes toward the cell center. Kinetochores on such chromosomes cannot make subsequent stable attachment to spindle microtubules when dephosphorylation of CENP-E or rebinding of PP1 to CENP-E is blocked. Thus, an Aurora/PP1 phosphorylation switch modulates CENP-E motor activity as an essential feature of chromosome congression from poles and localized PP1 delivery by CENP-E to the outer kinetochore is necessary for stable microtubule capture by those chromosomes.
???displayArticle.pubmedLink??? 20691903
???displayArticle.pmcLink??? PMC2921712
???displayArticle.link??? Cell
???displayArticle.grants??? [+]
GM29513 NIGMS NIH HHS , R01 GM029513-31 NIGMS NIH HHS , R01 GM029513 NIGMS NIH HHS , R37 GM029513 NIGMS NIH HHS
Species referenced: Xenopus laevis
Genes referenced: cenpe dld h2bc21 myc npy4r ptk2 tacc3 tbx2
???attribute.lit??? ???displayArticles.show???
|
|
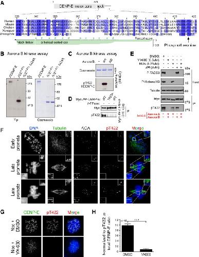
Figure 1. A Conserved Threonine Close to the Motor Domain of CENP-E Is Phosphorylated by Aurora A and B on the Kinetochores of Unaligned Chromosomes(A) Alignment of CENP-E protein sequences using ClustalW algorithm. α-helical coiled-coil in the CENP-E neck were predicted for human CENP-E using Paircoil (Berger et al., 1995). Heptad repeat positions (a and d) in the coiled-coil are indicated.(B) In vitro kinase assays using Aurora B/INCENP to phosphorylate Xenopus full-length CENP-E or CENP-E1-473 with or without T424A mutation. Coomassie staining of purified proteins and autoradiogram showing incorporation of γ-32P ATP.(C) Coomassie staining and immunoblot for pT422 using human CENP-E1-429 incubated with wild-type (WT) or kinase dead (KD) Aurora B.(D) CENP-E immunoprecipitates from nocodazole-treated DLD-1 cells expressing either WT or T422A MycGFP-CENP-E were blotted with the pT422 antibody. Half the WT immunoprecipitate was treated with λ-phosphatase.(E) Nocodazole-arrested DLD-1 cells expressing MycGFP-CENP-E were treated with Aurora kinase inhibitors and MG132 and blotted for P-TACC3 (Aurora A substrate), P-Histone H3 (Aurora B substrate), and tubulin (loading control). CENP-E immunoprecipitates using a Myc antibody were blotted with the pT422 antibody.(F) PtK2 cells were stained for DNA (Blue), Tubulin (Green), ACA, and pT422 (Red).(G) Nocodazole-arrested HeLa cells were treated with VX-680 and MG132 and stained for CENP-E (Green), pT422 (Red) and DNA (Blue).(H) pT422 fluorescence intensity was normalized to the total CENP-E fluorescence. Plots show the mean of > 15 cells per condition from two independent experiments. ***p < 0.0001 by t test. Error bars represent SEM. See also Figure S1 and Figure S2. |
|
|
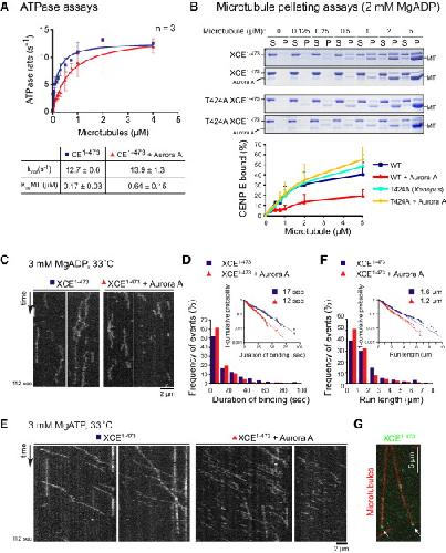
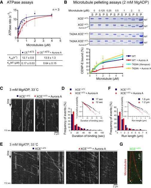
Figure 2. Phosphorylation of T424 of Xenopus CENP-E by Aurora Kinase Reduces CENP-E's Affinity for Microtubules and Reduces Its Run Length In Vitro(A) ATPase rates of Xenopus CENP-E1-473 and phosphorylated CENP-E1-473 measured with increasing concentrations of microtubules. Plots show the mean of three independent experiments and error bars represent SEM. kcat and KmMT values are represented ± SE.(B) Equilibrium binding of WT or T424A CENP-E1-473 (incubated with or without Aurora A) to microtubules in the ADP state. S, supernatant; P, pellet. Percent of CENP-E1-473 bound is shown below (n = 3; Error bars represent SD).(C) Kymographs showing diffusive motion of CENP-E1-473-RFP preincubated with or without Aurora A in 3 mM MgADP at 33°C.(D) Duration of binding (t) was distributed exponentially, and the mean binding time (tmean) was determined by fitting the data into a cumulative distribution function (exp [-t/tmean]). Inset shows 1-cumulative probability of CENP-E1-473-RFP binding time plotted on a log scale. The tmean is 17 ± 0.13 s for CENP-E1-473-RFP, n = 231 and 12 ± 0.07 s for CENP-E1-473-RFP plus Aurora A, n = 240. Values represented ± SE of the curve fit. Probability < 0.0001 that the duration of binding for CENP-E1-473-RFP plus Aurora A was distributed the same as the duration of binding for CENP-E1-473-RFP (by Kolmogorov-Smirnov Test).(E) Kymographs showing processive motion of CENP-E1-473-RFP in the presence of 3 mM MgATP at 33°C. See Movie S1.(F) Run length of CENP-E1-473-RFP was determined by fitting the data into a cumulative distribution function. Inset shows 1-cumulative probability of CENP-E1-473-RFP run length plotted on a log scale. Mean run length is 1.6 ± 0.02 μm for CENP-E1-473-RFP, n = 337 and 1.2 ± 0.02 μm for CENP-E1-473-RFP plus Aurora A, n = 294. See Movie S1. Probability < 0.05 that the run lengths for CENP-E1-473-RFP plus Aurora A were distributed the same as the CENP-E1-473-RFP run lengths (by Kolmogorov-Smirnov Test). Values represent ± SE of the curve fit.(G) Accumulated CENP-E (green) at the end of the microtubules (red). See also Figure S3. |
|
|
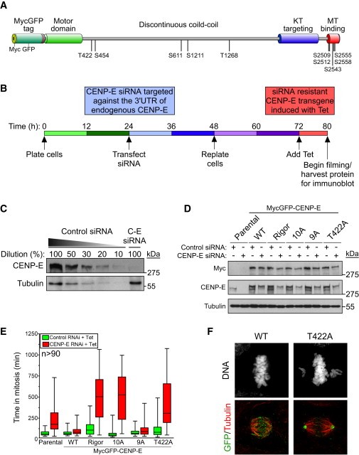
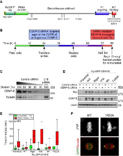
Figure 3. Phosphorylation of CENP-E at T422 Is Required for Chromosome Alignment(A) Diagram of MycLAP-CENP-E transgene with previously identified phosphorylation sites. Splice variations exist within the CENP-E coiled-coil domain and phosphorylation sites are numbered with respect to their position in the CENP-E clone used in this study.(B) Schematic of replacing endogenous CENP-E with a siRNA resistant transgene.(C) Immunoblot showing depletion of CENP-E by siRNA.(D) Immunoblot showing knockdown with control (GAPDH) or CENP-E siRNA in cells expressing various MycLAP-CENP-E transgenes.(E) Box and whisker plots showing the time spent in mitosis for cells expressing MycLAP-CENP-E following transfection of control (GAPDH, green) or CENP-E (red) siRNA. >90 cells per condition are plotted from at least three independent experiments.(F) Immunofluorescence images of cells in which endogenous CENP-E has been replaced with WT or T422A MycGFP-CENP-E. GFP (green); Tubulin (red). See also Figure S4, Figure S5, Figure S6, Movie S2, and Movie S3. |
|
|
Figure 4. CENP-E Phosphorylation by Aurora Is Required for Congression of Polar Chromosomes(A) Drug treatment scheme to enrich mono-oriented chromosomes near spindle poles.(B) Diagram illustrating attachment status of chromosomes following treatment with drug regime in (A).(C and D) Immunofluorescence images of drug-treated cells in which endogenous CENP-E was replaced with either WT or T422A MycLAP-CENP-E. KNL-1 (green); DNA (red).(E) Percentage of cells from (C) and (D) with polar chromosomes.(F) Number of polar chromosomes in cells from (C) and (D) displaying chromosome misalignment. Bars represent the mean of four independent experiments. ***p < 0.0001 by t test. Error bars represent SEM. See also Figure S7 and Movie S4. |
|
|
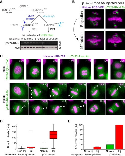
Figure 6. Dephosphorylation of CENP-E T422 by PP1 Is Required for the Stable Biorientation of Chromosomes Congressed from a Spindle Pole by CENP-E(A) Phosphorylated Xenopus CENP-E1-473 (1 μM) was preincubated with rabbit IgG or the pT422 antibody (3 μM) and subsequently mixed with PP1γ (0.2 μM). Phosphorylation of T422 was determined using rhodamine-labeled pT422 antibody and visualized using the rhodamine fluorophore. Anti-Myc immunoblot shows the CENP-E1-473 loading.(B) Reconstructed Z-sections of rhodamine-labeled pT422 antibody-injected live HeLa cells expressing Histone H2B-YFP. Histone H2B-YFP (purple); pT422-Rhod antibody (green).(C) Time-lapse images of antibody-microinjected (green) HeLa cells stably expressing Histone H2B-YFP (purple). Numbered arrows track the movement of four individual chromosomes which congress to the equator, but fail to stably biorient. Stills are taken from Movie S5 and Movie S6.(D) Box and whisker plots showing the time spent in mitosis for microinjected cells. Uninjected cells in the same field of view were also examined. For each antibody, >120 microinjected cells were observed from two independent experiments. (E) Bar graphs showing the percentage of abnormal mitosis for the cells observed in (D). |
References [+] :
Akiyoshi,
Quantitative proteomic analysis of purified yeast kinetochores identifies a PP1 regulatory subunit.
2009, Pubmed
Akiyoshi, Quantitative proteomic analysis of purified yeast kinetochores identifies a PP1 regulatory subunit. 2009, Pubmed
Berger, Predicting coiled coils by use of pairwise residue correlations. 1995, Pubmed
Case, The directional preference of kinesin motors is specified by an element outside of the motor catalytic domain. 1997, Pubmed
Cheeseman, A conserved protein network controls assembly of the outer kinetochore and its ability to sustain tension. 2004, Pubmed
Cheeseman, Phospho-regulation of kinetochore-microtubule attachments by the Aurora kinase Ipl1p. 2002, Pubmed
Cheeseman, The conserved KMN network constitutes the core microtubule-binding site of the kinetochore. 2006, Pubmed
Cimini, Aneuploidy: a matter of bad connections. 2005, Pubmed
Cimini, Aurora kinase promotes turnover of kinetochore microtubules to reduce chromosome segregation errors. 2006, Pubmed
Cleveland, Centromeres and kinetochores: from epigenetics to mitotic checkpoint signaling. 2003, Pubmed
Ditchfield, Aurora B couples chromosome alignment with anaphase by targeting BubR1, Mad2, and Cenp-E to kinetochores. 2003, Pubmed
Emanuele, Aurora B kinase and protein phosphatase 1 have opposing roles in modulating kinetochore assembly. 2008, Pubmed , Xenbase
Espeut, Phosphorylation relieves autoinhibition of the kinetochore motor Cenp-E. 2008, Pubmed , Xenbase
Francisco, Type 1 protein phosphatase acts in opposition to IpL1 protein kinase in regulating yeast chromosome segregation. 1994, Pubmed
Gestaut, Phosphoregulation and depolymerization-driven movement of the Dam1 complex do not require ring formation. 2008, Pubmed
Hackney, Kinesin ATPase: rate-limiting ADP release. 1988, Pubmed
Harrington, VX-680, a potent and selective small-molecule inhibitor of the Aurora kinases, suppresses tumor growth in vivo. 2004, Pubmed
Helenius, The depolymerizing kinesin MCAK uses lattice diffusion to rapidly target microtubule ends. 2006, Pubmed
Hendrickx, Docking motif-guided mapping of the interactome of protein phosphatase-1. 2009, Pubmed
Hoar, MLN8054, a small-molecule inhibitor of Aurora A, causes spindle pole and chromosome congression defects leading to aneuploidy. 2007, Pubmed
Holland, Polo-like kinase 4 kinase activity limits centrosome overduplication by autoregulating its own stability. 2010, Pubmed
Holland, Boveri revisited: chromosomal instability, aneuploidy and tumorigenesis. 2009, Pubmed
Hopfield, Kinetic proofreading: a new mechanism for reducing errors in biosynthetic processes requiring high specificity. 1974, Pubmed
Hubbard, Regulation of protein phosphatase-1G from rabbit skeletal muscle. 1. Phosphorylation by cAMP-dependent protein kinase at site 2 releases catalytic subunit from the glycogen-bound holoenzyme. 1989, Pubmed
Hyman, Two different microtubule-based motor activities with opposite polarities in kinetochores. 1991, Pubmed
Kapoor, Chromosomes can congress to the metaphase plate before biorientation. 2006, Pubmed
Kim, CENP-E combines a slow, processive motor and a flexible coiled coil to produce an essential motile kinetochore tether. 2008, Pubmed , Xenbase
Kunitoku, CENP-A phosphorylation by Aurora-A in prophase is required for enrichment of Aurora-B at inner centromeres and for kinetochore function. 2003, Pubmed
Lampson, Correcting improper chromosome-spindle attachments during cell division. 2004, Pubmed
Liao, Mitotic regulation of microtubule cross-linking activity of CENP-E kinetochore protein. 1994, Pubmed
Liu, Regulated targeting of protein phosphatase 1 to the outer kinetochore by KNL1 opposes Aurora B kinase. 2010, Pubmed
Manfredi, Antitumor activity of MLN8054, an orally active small-molecule inhibitor of Aurora A kinase. 2007, Pubmed
Marumoto, Aurora-A kinase maintains the fidelity of early and late mitotic events in HeLa cells. 2003, Pubmed , Xenbase
Marumoto, Aurora-A - a guardian of poles. 2005, Pubmed , Xenbase
Nousiainen, Phosphoproteome analysis of the human mitotic spindle. 2006, Pubmed
Okada, A processive single-headed motor: kinesin superfamily protein KIF1A. 1999, Pubmed
Ovechkina, K-loop insertion restores microtubule depolymerizing activity of a "neckless" MCAK mutant. 2002, Pubmed
Putkey, Unstable kinetochore-microtubule capture and chromosomal instability following deletion of CENP-E. 2002, Pubmed
Rieder, Kinetochores are transported poleward along a single astral microtubule during chromosome attachment to the spindle in newt lung cells. 1990, Pubmed
Ruchaud, Chromosomal passengers: conducting cell division. 2007, Pubmed
Sassoon, Regulation of Saccharomyces cerevisiae kinetochores by the type 1 phosphatase Glc7p. 1999, Pubmed
Shaner, Improving the photostability of bright monomeric orange and red fluorescent proteins. 2008, Pubmed
Tanaka, Evidence that the Ipl1-Sli15 (Aurora kinase-INCENP) complex promotes chromosome bi-orientation by altering kinetochore-spindle pole connections. 2002, Pubmed
Thorn, Engineering the processive run length of the kinesin motor. 2000, Pubmed
Trinkle-Mulcahy, Time-lapse imaging reveals dynamic relocalization of PP1gamma throughout the mammalian cell cycle. 2003, Pubmed
Trinkle-Mulcahy, Repo-Man recruits PP1 gamma to chromatin and is essential for cell viability. 2006, Pubmed
Varga, Yeast kinesin-8 depolymerizes microtubules in a length-dependent manner. 2006, Pubmed
Weaver, Centromere-associated protein-E is essential for the mammalian mitotic checkpoint to prevent aneuploidy due to single chromosome loss. 2003, Pubmed
Woehlke, Microtubule interaction site of the kinesin motor. 1997, Pubmed
Wood, CENP-E is a plus end-directed kinetochore motor required for metaphase chromosome alignment. 1997, Pubmed , Xenbase
Yao, CENP-E forms a link between attachment of spindle microtubules to kinetochores and the mitotic checkpoint. 2000, Pubmed
Yucel, CENP-meta, an essential kinetochore kinesin required for the maintenance of metaphase chromosome alignment in Drosophila. 2000, Pubmed
Zecevic, Active MAP kinase in mitosis: localization at kinetochores and association with the motor protein CENP-E. 1998, Pubmed
