|
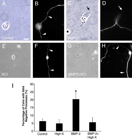
Fig. 1 â High potassium inhibits the induction of dendrites promoted by BMP-2. Dissociated sister retinal cultures from stage 24 embryos were treated either with control medium, 30 mM KCl, 50 ng/ml BMP-2 or 50 ng/ml BMP-2 + 30 mM KCl for two days. Fixed cultures were immunostained for the RGC speciï¬c axonal marker, neuroï¬lament associated antigen. NAApositive axons are indicated by arrowheads. (AâH) Phase contrast photomicrographs of RGCs in several different treatments, with their respective NAA immunolabeling. (A and B) control. (C and D) 50 ng/ml BMP-2. Arrows point to the NAA-negative,
dendrite-like structure. (E and F) 30 mM KCl. (G and H) 50 ng/ml BMP-2 + 30 mM KCl. Scale bar in A is 10 lm for AâD and 20 lm for E and F. (I) The mean percentage of NAA positive RGC somata that had dendrite-like NAA negative processes is shown for each experimental condition. Data is the mean of three independent experiments. *p < 0.05, One way ANOVA, Dunnettâs post
hoc test. |
|
Fig. 2 â GFP and the transgenic kV channel proteins are colocalized within RGC dendrites. At stage 19, the developing neuroepithelium that gives rise to the eye was transfected with either WTKv1.1 (AâC) or DNKv1.1 channel cDNA (DâF)
constructs. Embryos were left to develop until stage 39/40,
then ï¬xed and frozen transverse cryostat sections cut
through the central portion of the retina. Sections were
immunostained with antibodies against GFP and the myc
tag (9E10) of the kV channel transgenes. The GFP (B and E)
and myc immunoreactivity (A and D) were co-localized in
RGCs (merge shown in C and F), indicating that myc
immunoreactivity gives a similar representation of the
dendritic arbor as GFP. Scale bar in A is 15 lm. |
|
Fig. 3 â Misexpression of the WTKv1.1 potassium channel transgene enhances RGC dendrite growth. At stage 19, the developing neuroepithelium that gives rise to the eye was transfected with either GFP, WTKv1.1 or DNKv1.1 channel cDNA constructs. Embryos were left to develop until stage 39/40, then ï¬xed and wholemount immunostained with antibodies
against either GFP, or myc for the kV channel constructs. RGCs were visualized in 50 lm vibratome sections. (AâD) Photomicrographs of representative RGCs expressing GFP (A), DNKv1.1 (B), or WTKv1.1 (C and D) are shown. When necessary, digital composites of different focal planes were assembled to represent the entire RGC dendritic arbor. Arrowheads mark the
RGC axons and arrows the dendrites. RGCL, retinal ganglion cell layer; IPL, inner plexiform layer; L, lens. Scale bar in A is 20 lm. (EâH) Graphs of different parameters of the dendritic arbor for GFP-, WTKv1.1- and DNKv1.1-expressing RGCs. Shown are the mean number of primary dendrites (E), the average length of individual primary dendrites (F), the mean number of branch points (G), and the mean total length of the branches (H). Data is from 5 independent sets of transfected embryos. Error
bars are s.e.m. *p < 0.05, repeated measures One Way Anova, Dunnettâs post hoc test. |
|
Fig. 4 â Potassium channel constructs inhibit light evoked expression of the neural activity dependent marker c-fos. Embryos were electroporated at stage 28 with CS2-GFP alone (A, B, D and E), or CS2-GFP with either CS2-Kir2.1-myc (C, F) or CS2-WTKv1.1-myc. At stage 32 embryos were moved to the dark, and at stage 40/41 stimulated for 90 min with room light before ï¬xation and processing for c-fos immunoreactivity. (AâF) Panels represent GFP ï¬uorescence (AâC) and c-fos immunoreactivity (DâF) for dark-adapted CS2-GFP electroporated retinas exposed to light for 0 h (A and D) or 90 min (B and E), or dark-adapted CS2-GFP + CS2-Kir2.1-myc electroporated retinas exposed to light for 90 min (C and F). Asterisks label c-fos positive GFPexpressing cells in the RGC layer. Note that Xenopus embryonic tissue itself has some low level autoï¬uorescence and yolk granules are sometimes evident (arrowhead). (G and H) Graphs showing the percentage of GFP-expressing cells in the RGC
layer that are immunopositive for the immediate early gene protein c-fos. The data for CS2-Kir2.1 overexpression is shown in G, and for CS2-WTKv1.1 is shown in H. Numbers in brackets are the numbers of GFP-expressing cells. A chi-square statistical analysis was performed for the data in G (chi-square = 449.5, df 3) and H (chi-square = 50.3 df 3). |
|
Fig. 5. Misexpression of an inwared rectiï¬er channel and inhibition of voltage-gated calcium channels promotes RGC
dendrite branching. (AâC) RGCs in stage 39/40 retinas electroporated at stage 28 with dnKv1.1-myc (A, A') or Kir2.1-myc (B and C, B' and C') cDNA constructs. Composites of photomicrographs taken at 1â3 different focal planes are shown in A-C, andcartoons of the corresponding cells shown in A'âC'. Myc immunolabeling is shown for the cells in A and C, and the inset forthe cell in B. B shows GFP ï¬uorescence. (D) Graph showing the mean number of dendrite branch points. Numbers in brackets
are the numbers of cells, pooled from two independent experiments. Errors are s.e.m, ***p < 0.001, un-paired, two-tailedStudentâs t-test. (E and F) Retinas were electroporated at stage 28 with CS2-GFP. At stage 33/34, the skin around the eye was surgically removed, and embryos bathed either in control MBS solution, or in MBS containing 200 lM NiCl2 until stage 40.
GFP-expressing RGCs exposed to control (E) and NiCl2 (F) solutions. Photomicrographs (E-F) are composites of 1â3 different
focal planes, and corresponding schematic images (of the cells shown in E'âF'. Schematics were generated directly from tracing high magniï¬cation images of the RGCs. Arrows mark the axons, white arrowheads the dendrites, and black
arrowheads the dendrite branch points. (G) Graph showing the mean number of dendrite branch points for RGCs in control and NiCl2 conditions. Numbers in brackets are the numbers of cells, pooled from two independent experiments. Error bars are s.e.m.**, p < 0.01, un-paired, two-tailed studentâs t-test. Scale bar in A is 10 lm. IPL, inner plexiform layer; L, lens. |