XB-ART-54073
Brain
2008 Jul 01;131Pt 7:1686-700. doi: 10.1093/brain/awn076.
Show Gene links
Show Anatomy links
From fish to man: understanding endogenous remyelination in central nervous system demyelinating diseases.
Dubois-Dalcq M, Williams A, Stadelmann C, Stankoff B, Zalc B, Lubetzki C.
???displayArticle.abstract???
In the central nervous system (CNS) of man, evolutionary pressure has preserved some capability for remyelination while axonal regeneration is very limited. In contrast, two efficient programmes of regeneration exist in the adult fish CNS, neurite regrowth and remyelination. The rapidity of CNS remyelination is critical since it not only restores fast conduction of nerve impulses but also maintains axon integrity. If myelin repair fails, axons degenerate, leading to increased disability. In the human CNS demyelinating disease multiple sclerosis (MS), remyelination often takes place in the midst of inflammation. Here, we discuss recent studies that address the innate repair capabilities of the axon-glia unit from fish to man. We propose that expansion of this research field will help find ways to maintain or enhance spontaneous remyelination in man.
???displayArticle.pubmedLink??? 18474520
???displayArticle.pmcLink??? PMC2516372
???displayArticle.link??? Brain
???displayArticle.grants??? [+]
Z99 NS999999 Intramural NIH HHS
Species referenced: Xenopus
Genes referenced: birc6 cd3g olig2
???attribute.lit??? ???displayArticles.show???
|
|
Fig. 1. Time-lapse recording and OPC ablation experiment in transgenic olig2 EGFP zebrafish larva (at 60 h post fertilization) which expresses EGFP both in axons and OPCs. Image of spinal cord (dorsal side up) before and after laser ablation. Membrane bound GFP + oligodendrocyte-lineage cells which had migrated dorsally were targeted by their fluorescence and ablated using approximately five pulses of 440 nm light generated by a Photonics Micropoint Laser System. At time zero after ablation, the oligodendrocyte (arrow) extends new processes into the area vacated by the ablated cell (arrowhead) and later starts to enwrap axons between 3 and 8 h. The larvae were anaesthesized during both ablation and time lapse and then placed on their side on glass-bottomed 35 mm Petri dishes. The time lapse images were captured using 40 à oil-immersion objectives mounted on a motorized Zeiss Axiovert 200 microscope equipped with a Perkin Elmer ERS spinning disk confocal system with a heated stage and chamber to maintain embryos at 28.5oC (Kirby et al., 2006). Figure and Methodology: Courtesy of Norio Takada and Bruce Appel, Vanderbilt University, Tennessee, USA. Scale bar: 24 µm. |
|
|
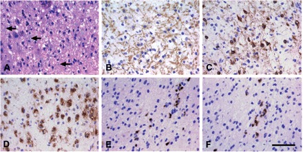
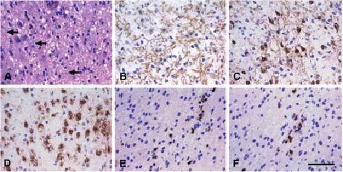
Fig. 2. Early remyelination of a demyelinated lesion with abundant inflammation in a brain biopsy from an MS patient. Pictures were taken from adjacent, sequential sections; the first section (A) was stained with luxol fast blue for myelin and PAS (nuclei are stained blue by hematoxylin) while all other sections were stained by peroxidase immunolabelling for different antigens (BâF). (A) Extensive demyelination with scarce, thin and irregular remyelinated fibres in light blue (arrows). (B) Proteolipid protein antibody stains abundant thin, apparently newly formed myelin sheaths. (C) Oligodendrocytes in the lesion are strongly immunolabelled (in brown) for TPPP/p25, the brain-specific tubulin polymerization promoting protein (Kovacs et al., 2004). Source: Antibody kindly provided by Poul H. Jensen, Aarhus, Denmark. (DâF) Abundant immune cells are detected in the same remyelinating lesion and identified as foamy macrophages (KiM1P in D) as well as T cells stained for CD3 (E) and CD8 (F). Scale bar: 50 µm. |
|
|
Fig. 3. The Congo Red derivative BMB is a myelin marker on brain sections (A, B) and is suitable for PET imaging (C). (A) When injected into mice intraperitoneally (40 mg/g), BMB crosses the blood brain barrier and stains the cerebellar white matter (green fluorescence, arrows). (B) When 1 mM of BMB was incubated in vitro on MS brains sections a clear fluorescent staining of the normal appearing white matter (NAWM) was obtained. The demyelinated area (âDemâ delineated by dotted line in the upper left corner) was visualized as a lack of staining. In the shadow plaque area (âRemâ surrounded by arrowheads), BMB staining is of intermediate intensity between that observed in demyelinated plaques (âDemâ) and normal appearing white matter (NAWM). (C) CNS PET imaging using [11C]-BMB (about 100 MBq) injected intravenously in an anaesthetized baboon. This 110 min PET examination was performed using an ECAT HR+ camera. The axial slice from PET imaging was co-registered with a corresponding slice of the brain MRI scan. Source: (A) and (B) are Figs 4A and 5F reproduced with âCopyright (2006) National Academy of Sciences, USAâ (Stankoff et al., 2006). Scale bar in (A) 300 µm, in (B) 150 µm and in (C) 12 mm. |
References [+] :
Aguirre,
A functional role for EGFR signaling in myelination and remyelination.
2007, Pubmed
Aguirre, A functional role for EGFR signaling in myelination and remyelination. 2007, Pubmed
Aguirre, NG2-expressing cells in the subventricular zone are type C-like cells and contribute to interneuron generation in the postnatal hippocampus. 2004, Pubmed
Airas, Postpartum-activation of multiple sclerosis is associated with down-regulation of tolerogenic HLA-G. 2007, Pubmed
Albert, Extensive cortical remyelination in patients with chronic multiple sclerosis. 2007, Pubmed
Armstrong, Endogenous cell repair of chronic demyelination. 2006, Pubmed
Armstrong, In vitro analysis of the oligodendrocyte lineage in mice during demyelination and remyelination. 1990, Pubmed
Armstrong, Absence of fibroblast growth factor 2 promotes oligodendroglial repopulation of demyelinated white matter. 2002, Pubmed
Arnett, Considerations for the sensible use of rodent models of inflammatory disease in predicting efficacy of new biological therapeutics in the clinic. 2007, Pubmed
Arnett, bHLH transcription factor Olig1 is required to repair demyelinated lesions in the CNS. 2004, Pubmed
Arnett, Functional genomic analysis of remyelination reveals importance of inflammation in oligodendrocyte regeneration. 2003, Pubmed
Back, Hyaluronan accumulates in demyelinated lesions and inhibits oligodendrocyte progenitor maturation. 2005, Pubmed
Balabanov, Suppressor of cytokine signaling 1 expression protects oligodendrocytes from the deleterious effects of interferon-gamma. 2006, Pubmed
Barbin, Axonal cell-adhesion molecule L1 in CNS myelination. 2004, Pubmed
Barkhof, Remyelinated lesions in multiple sclerosis: magnetic resonance image appearance. 2003, Pubmed
Barres, Proliferation of oligodendrocyte precursor cells depends on electrical activity in axons. 1993, Pubmed
Black, Remyelination of dorsal column axons by endogenous Schwann cells restores the normal pattern of Nav1.6 and Kv1.2 at nodes of Ranvier. 2006, Pubmed
Blakemore, Remyelination of the superior cerebellar peduncle in the mouse following demyelination induced by feeding cuprizone. 1973, Pubmed
BUNGE, Ultrastructural study of remyelination in an experimental lesion in adult cat spinal cord. 1961, Pubmed
Butzkueven, Endogenous leukemia inhibitory factor production limits autoimmune demyelination and oligodendrocyte loss. 2006, Pubmed
Butzkueven, LIF receptor signaling limits immune-mediated demyelination by enhancing oligodendrocyte survival. 2002, Pubmed
Cahoy, A transcriptome database for astrocytes, neurons, and oligodendrocytes: a new resource for understanding brain development and function. 2008, Pubmed
Calderon, A role for CXCL12 (SDF-1alpha) in the pathogenesis of multiple sclerosis: regulation of CXCL12 expression in astrocytes by soluble myelin basic protein. 2006, Pubmed
Chandran, Myelin repair: the role of stem and precursor cells in multiple sclerosis. 2008, Pubmed
Charles, Re-expression of PSA-NCAM by demyelinated axons: an inhibitor of remyelination in multiple sclerosis? 2002, Pubmed
Chen, Local magnetization transfer ratio signal inhomogeneity is related to subsequent change in MTR in lesions and normal-appearing white-matter of multiple sclerosis patients. 2005, Pubmed
Colognato, Identification of dystroglycan as a second laminin receptor in oligodendrocytes, with a role in myelination. 2007, Pubmed
Coman, Nodal, paranodal and juxtaparanodal axonal proteins during demyelination and remyelination in multiple sclerosis. 2006, Pubmed
Coman, Axonal signals in central nervous system myelination, demyelination and remyelination. 2005, Pubmed
Delaunay, Early neuronal and glial fate restriction of embryonic neural stem cells. 2008, Pubmed
Deloire-Grassin, In vivo evaluation of remyelination in rat brain by magnetization transfer imaging. 2000, Pubmed
Demerens, Induction of myelination in the central nervous system by electrical activity. 1996, Pubmed
Doetsch, EGF converts transit-amplifying neurogenic precursors in the adult brain into multipotent stem cells. 2002, Pubmed
Dubois-Dalcq, Enhancing central nervous system remyelination in multiple sclerosis. 2005, Pubmed
Dupree, Oligodendrocytes assist in the maintenance of sodium channel clusters independent of the myelin sheath. 2004, Pubmed
Dutta, Activation of the ciliary neurotrophic factor (CNTF) signalling pathway in cortical neurons of multiple sclerosis patients. 2007, Pubmed
Duyn, High-field MRI of brain cortical substructure based on signal phase. 2007, Pubmed
Dziembowska, A role for CXCR4 signaling in survival and migration of neural and oligodendrocyte precursors. 2005, Pubmed
Eshed, Secreted gliomedin is a perinodal matrix component of peripheral nerves. 2007, Pubmed
Fancy, Increased expression of Nkx2.2 and Olig2 identifies reactive oligodendrocyte progenitor cells responding to demyelination in the adult CNS. 2004, Pubmed
Felts, Conduction properties of central nerve fibers remyelinated by Schwann cells. 1992, Pubmed
Foote, Inflammation stimulates remyelination in areas of chronic demyelination. 2005, Pubmed
Fortin, Distinct fibroblast growth factor (FGF)/FGF receptor signaling pairs initiate diverse cellular responses in the oligodendrocyte lineage. 2005, Pubmed
Franklin, Understanding CNS remyelination: clues from developmental and regeneration biology. 1999, Pubmed
Fujiyoshi, In vivo tracing of neural tracts in the intact and injured spinal cord of marmosets by diffusion tensor tractography. 2007, Pubmed
Funch, Measurement of myelin sheath resistances: implications for axonal conduction and pathophysiology. 1984, Pubmed
Glaser, Neural cell adhesion molecule polysialylation enhances the sensitivity of embryonic stem cell-derived neural precursors to migration guidance cues. 2007, Pubmed
Gold, Understanding pathogenesis and therapy of multiple sclerosis via animal models: 70 years of merits and culprits in experimental autoimmune encephalomyelitis research. 2006, Pubmed
Greenberg, Future research directions in multiple sclerosis therapies. 2008, Pubmed
Hall, The effect of injections of lysophosphatidyl choline into white matter of the adult mouse spinal cord. 1972, Pubmed
Hannila, The role of cyclic AMP signaling in promoting axonal regeneration after spinal cord injury. 2008, Pubmed
Honmou, Restoration of normal conduction properties in demyelinated spinal cord axons in the adult rat by transplantation of exogenous Schwann cells. 1996, Pubmed
Howell, Disruption of neurofascin localization reveals early changes preceding demyelination and remyelination in multiple sclerosis. 2006, Pubmed
Hu, Bace1 modulates myelination in the central and peripheral nervous system. 2006, Pubmed
Ishibashi, Astrocytes promote myelination in response to electrical impulses. 2006, Pubmed
Kaplan, Differential control of clustering of the sodium channels Na(v)1.2 and Na(v)1.6 at developing CNS nodes of Ranvier. 2001, Pubmed
Kaplan, Induction of sodium channel clustering by oligodendrocytes. 1997, Pubmed
Káradóttir, Neurotransmitter receptors in the life and death of oligodendrocytes. 2007, Pubmed
Kazakova, A screen for mutations in zebrafish that affect myelin gene expression in Schwann cells and oligodendrocytes. 2006, Pubmed
Kerschensteiner, Targeting experimental autoimmune encephalomyelitis lesions to a predetermined axonal tract system allows for refined behavioral testing in an animal model of multiple sclerosis. 2004, Pubmed
Kirby, In vivo time-lapse imaging shows dynamic oligodendrocyte progenitor behavior during zebrafish development. 2006, Pubmed
Klein, Process outgrowth of oligodendrocytes is promoted by interaction of fyn kinase with the cytoskeletal protein tau. 2002, Pubmed
Kohwi, A subpopulation of olfactory bulb GABAergic interneurons is derived from Emx1- and Dlx5/6-expressing progenitors. 2007, Pubmed
Kotter, Macrophage-depletion induced impairment of experimental CNS remyelination is associated with a reduced oligodendrocyte progenitor cell response and altered growth factor expression. 2005, Pubmed
Kovács, Natively unfolded tubulin polymerization promoting protein TPPP/p25 is a common marker of alpha-synucleinopathies. 2004, Pubmed
Kristensson, Increased levels of myelin basic protein transcripts in virus-induced demyelination. , Pubmed
Krumbholz, Chemokines in multiple sclerosis: CXCL12 and CXCL13 up-regulation is differentially linked to CNS immune cell recruitment. 2006, Pubmed
Kukley, Vesicular glutamate release from axons in white matter. 2007, Pubmed
Larsen, Matrix metalloproteinase-9 facilitates remyelination in part by processing the inhibitory NG2 proteoglycan. 2003, Pubmed
Laule, Myelin water imaging in multiple sclerosis: quantitative correlations with histopathology. 2006, Pubmed
Lavdas, Schwann cells genetically engineered to express PSA show enhanced migratory potential without impairment of their myelinating ability in vitro. 2006, Pubmed
Lazarini, Role of the alpha-chemokine stromal cell-derived factor (SDF-1) in the developing and mature central nervous system. 2003, Pubmed
Le Bihan, Diffusion tensor imaging: concepts and applications. 2001, Pubmed
Lee, NGF regulates the expression of axonal LINGO-1 to inhibit oligodendrocyte differentiation and myelination. 2007, Pubmed
Li, Extensive heterogeneity in white matter intensity in high-resolution T2*-weighted MRI of the human brain at 7.0 T. 2006, Pubmed
Lin, Interferon-gamma inhibits central nervous system remyelination through a process modulated by endoplasmic reticulum stress. 2006, Pubmed
Lubetzki, Promoting repair in multiple sclerosis: problems and prospects. 2005, Pubmed
Ludwin, Central nervous system demyelination and remyelination in the mouse: an ultrastructural study of cuprizone toxicity. 1978, Pubmed
Maertens, Cleavage and oligomerization of gliomedin, a transmembrane collagen required for node of ranvier formation. 2007, Pubmed
Magliozzi, Meningeal B-cell follicles in secondary progressive multiple sclerosis associate with early onset of disease and severe cortical pathology. 2007, Pubmed
Marriott, Leukemia inhibitory factor signaling modulates both central nervous system demyelination and myelin repair. 2008, Pubmed
McFarland, The B cell--old player, new position on the team. 2008, Pubmed
McKinnon, A role for TGF-beta in oligodendrocyte differentiation. 1993, Pubmed
Menn, Origin of oligodendrocytes in the subventricular zone of the adult brain. 2006, Pubmed
Merkler, A new focal EAE model of cortical demyelination: multiple sclerosis-like lesions with rapid resolution of inflammation and extensive remyelination. 2006, Pubmed
Mi, LINGO-1 negatively regulates myelination by oligodendrocytes. 2005, Pubmed
Mi, LINGO-1 antagonist promotes spinal cord remyelination and axonal integrity in MOG-induced experimental autoimmune encephalomyelitis. 2007, Pubmed
Michailov, Axonal neuregulin-1 regulates myelin sheath thickness. 2004, Pubmed
Miller, Dissecting demyelination. 2007, Pubmed
Murray, Regeneration of retinal axons into the goldfish optic tectum. 1976, Pubmed
Nait-Oumesmar, Activation of the subventricular zone in multiple sclerosis: evidence for early glial progenitors. 2007, Pubmed
Nave, Axonal regulation of myelination by neuregulin 1. 2006, Pubmed
Neema, MRI in multiple sclerosis: what's inside the toolbox? 2007, Pubmed
Nona, Schwann cells in the regenerating fish optic nerve: evidence that CNS axons, not the glia, determine when myelin formation begins. 2000, Pubmed
Nucifora, Diffusion-tensor MR imaging and tractography: exploring brain microstructure and connectivity. 2007, Pubmed
Nunes, Identification and isolation of multipotential neural progenitor cells from the subcortical white matter of the adult human brain. 2003, Pubmed
Omari, CXC chemokine receptors on human oligodendrocytes: implications for multiple sclerosis. 2005, Pubmed
Padovani-Claudio, Alterations in the oligodendrocyte lineage, myelin, and white matter in adult mice lacking the chemokine receptor CXCR2. 2006, Pubmed
Panitch, Exacerbations of multiple sclerosis in patients treated with gamma interferon. 1987, Pubmed
Patani, Remyelination can be extensive in multiple sclerosis despite a long disease course. 2007, Pubmed
Patrikios, Remyelination is extensive in a subset of multiple sclerosis patients. 2006, Pubmed
Pearse, Transplantation of Schwann cells and/or olfactory ensheathing glia into the contused spinal cord: Survival, migration, axon association, and functional recovery. 2007, Pubmed
Périer, Electron microscopic features of multiple sclerosis lesions. 1965, Pubmed
Plant, Lymphotoxin beta receptor (Lt betaR): dual roles in demyelination and remyelination and successful therapeutic intervention using Lt betaR-Ig protein. 2007, Pubmed
Pogoda, A genetic screen identifies genes essential for development of myelinated axons in zebrafish. 2006, Pubmed
Rodriguez, Effectors of demyelination and remyelination in the CNS: implications for multiple sclerosis. 2007, Pubmed
Rogister, From neural stem cells to myelinating oligodendrocytes. 1999, Pubmed
Rossignol, Spinal cord injury: time to move? 2007, Pubmed
Sarchielli, Production of brain-derived neurotrophic factor by mononuclear cells of patients with multiple sclerosis treated with glatiramer acetate, interferon-beta 1a, and high doses of immunoglobulins. 2007, Pubmed
Sasaki, Molecular reconstruction of nodes of Ranvier after remyelination by transplanted olfactory ensheathing cells in the demyelinated spinal cord. 2006, Pubmed
Schafer, Early events in node of Ranvier formation during myelination and remyelination in the PNS. 2006, Pubmed
Schumacher, Progesterone: therapeutic opportunities for neuroprotection and myelin repair. 2007, Pubmed
Schwab, The Nogo receptor complex: confining molecules to molecular mechanisms. 2006, Pubmed
Schweitzer, Expression of protein zero is increased in lesioned axon pathways in the central nervous system of adult zebrafish. 2003, Pubmed
Seifert, Notch1 and its ligand Jagged1 are present in remyelination in a T-cell- and antibody-mediated model of inflammatory demyelination. 2007, Pubmed
Setzu, Inflammation stimulates myelination by transplanted oligodendrocyte precursor cells. 2006, Pubmed
Sherman, A 'GAG' reflex prevents repair of the damaged CNS. 2008, Pubmed
Sim, Complementary patterns of gene expression by human oligodendrocyte progenitors and their environment predict determinants of progenitor maintenance and differentiation. 2006, Pubmed
Sim, The age-related decrease in CNS remyelination efficiency is attributable to an impairment of both oligodendrocyte progenitor recruitment and differentiation. 2002, Pubmed
Smith, Axonal protection in multiple sclerosis--a particular need during remyelination? 2006, Pubmed
Song, Dysmyelination revealed through MRI as increased radial (but unchanged axial) diffusion of water. 2002, Pubmed
Song, Demyelination increases radial diffusivity in corpus callosum of mouse brain. 2005, Pubmed
Spassky, Directional guidance of oligodendroglial migration by class 3 semaphorins and netrin-1. 2002, Pubmed
Stankoff, Ciliary neurotrophic factor (CNTF) enhances myelin formation: a novel role for CNTF and CNTF-related molecules. 2002, Pubmed
Stankoff, Imaging of CNS myelin by positron-emission tomography. 2006, Pubmed
Stevens, Adenosine: a neuron-glial transmitter promoting myelination in the CNS in response to action potentials. 2002, Pubmed
Taveggia, Type III neuregulin-1 promotes oligodendrocyte myelination. 2008, Pubmed
Tozer, Correlation of apparent myelin measures obtained in multiple sclerosis patients and controls from magnetization transfer and multicompartmental T2 analysis. 2005, Pubmed
Trip, Optic nerve magnetization transfer imaging and measures of axonal loss and demyelination in optic neuritis. 2007, Pubmed
Utzschneider, Transplantation of glial cells enhances action potential conduction of amyelinated spinal cord axons in the myelin-deficient rat. 1994, Pubmed
Vana, Myelin transcription factor 1 (Myt1) expression in demyelinated lesions of rodent and human CNS. 2007, Pubmed
Vana, Platelet-derived growth factor promotes repair of chronically demyelinated white matter. 2007, Pubmed
Vanderlocht, Leukemia inhibitory factor is produced by myelin-reactive T cells from multiple sclerosis patients and protects against tumor necrosis factor-alpha-induced oligodendrocyte apoptosis. 2006, Pubmed
Voas, alphaII-spectrin is essential for assembly of the nodes of Ranvier in myelinated axons. 2007, Pubmed
Wakamatsu, The see-through medaka: a fish model that is transparent throughout life. 2001, Pubmed
Waxman, Axonal conduction and injury in multiple sclerosis: the role of sodium channels. 2006, Pubmed
Williams, Semaphorin 3A and 3F: key players in myelin repair in multiple sclerosis? 2007, Pubmed
Windrem, Fetal and adult human oligodendrocyte progenitor cell isolates myelinate the congenitally dysmyelinated brain. 2004, Pubmed
Wolburg, Myelination and remyelination in the regenerating visual system of the goldfish. 1981, Pubmed
Woodruff, Demyelination and remyelination of the caudal cerebellar peduncle of adult rats following stereotaxic injections of lysolecithin, ethidium bromide, and complement/anti-galactocerebroside: a comparative study. 1999, Pubmed
Woods, nsf is essential for organization of myelinated axons in zebrafish. 2006, Pubmed
Wu, A novel fluorescent probe that is brain permeable and selectively binds to myelin. 2006, Pubmed
Xiang, Detection of myelination using a novel histological probe. 2005, Pubmed
Zalc, The origin of the myelination program in vertebrates. 2008, Pubmed , Xenbase
Zalc, The acquisition of myelin: a success story. 2006, Pubmed
Zalc, Origins of vertebrate success. 2000, Pubmed
Zapata, Ontogeny of the immune system of fish. 2006, Pubmed
Zawadzka, Myelin regeneration in demyelinating disorders: new developments in biology and clinical pathology. 2007, Pubmed
Zhang, Interleukin-11 potentiates oligodendrocyte survival and maturation, and myelin formation. 2006, Pubmed
Zhang, A role for the polysialic acid-neural cell adhesion molecule in PDGF-induced chemotaxis of oligodendrocyte precursor cells. 2004, Pubmed
Zhao, Mechanisms of CNS remyelination--the key to therapeutic advances. 2005, Pubmed
Zhao, Promoting remyelination in multiple sclerosis by endogenous adult neural stem/precursor cells: defining cellular targets. 2008, Pubmed
Zhou, Retroviral lineage analysis of fibroblast growth factor receptor signaling in FGF2 inhibition of oligodendrocyte progenitor differentiation. 2006, Pubmed
Zivadinov, Can imaging techniques measure neuroprotection and remyelination in multiple sclerosis? 2007, Pubmed
Zujovic, Remyelination of the central nervous system: a valuable contribution from the periphery. 2007, Pubmed
