Click here to close
Hello! We notice that you are using Internet Explorer, which is not supported by Xenbase and may cause the site to display incorrectly.
We suggest using a current version of Chrome,
FireFox, or Safari.
Biochem Biophys Res Commun
2019 Jul 12;5151:139-144. doi: 10.1016/j.bbrc.2019.05.104.
Show Gene links
Show Anatomy links
Involvement of Myt1 kinase in the G2 phase of the first cell cycle in Xenopus laevis.
Yoshitome S, Aiba Y, Yuge M, Furuno N, Watanabe M, Nakajo N.
???displayArticle.abstract???
During cleavage of Xenopus laevis, the first mitotic cell cycle immediately following fertilization is approximately 90 min and consists of S, G2, and M phases. In contrast, the subsequent eleven cell cycles are approximately 30 min and consist mostly of S and M phases. The balance between Cdc25 and Wee1A/Myt1 is thought to be crucial for Xenopus first cell cycle progression; however, the role of Myt1 in this period has not been fully investigated. In this study, we examined the roles of Myt1, Wee1A, and Cdc25A in the first cell cycle of Xenopus laevis. Inhibition of Cdc25A with antisense morpholino oligonucleotides lengthened the duration of the first cell cycle to some extent, whereas it was slightly shortened by ectopic Cdc25A expression, suggesting that the low concentration of Cdc25A during the first cell cycle does not fully account for the long duration of this cycle. Using the Wee1A antisense morpholino oligonucleotide and neutralizing antibody against Myt1, we found that Myt1 phosphorylates and inhibits Cdk1 much more effectively than Wee1A during the first cell cycle in Xenopus. Taken together, these results suggest that the activity of Myt1 is predominantly responsible for the duration of the long G2 phase in the first mitotic cell cycle in Xenopus.
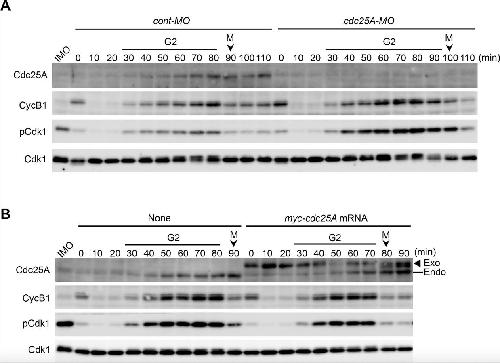
Fig. 1. Effects of Cdc25A expression on activated eggs. (A) Inhibition of Cdc25A synthesis by injection of a cdc25A morpholino oligonucleotide (cdc25A-MO) slightly lengthened the duration of the first cycle in activated eggs. Immature stage VI oocytes were injected with 18.4â¯ng of cdc25A-MO or control morpholino (cont-MO) per oocyte, followed by progesterone-induced maturation. Four hours after GVBD, they were activated by the calcium ionophore treatment, collected at the indicated times after activation, and subjected to Western blot analysis with each antibody. In the lower panel, Cdk1 showed mobility shifts due to phosphorylation [9,12]. G2 phase (G2) duration and time at entering M phase (M) are inferred from dynamics of Cyclin B1 and Cdk1 phosphorylation, as indicated in figures. (B) The first cycle was slightly shortened by ectopic myc-Cdc25A D231A mutant expression in activated eggs. Immature stage VI oocytes were either uninjected (None) or injected with 25â¯pg of mRNA encoding myc-tagged cdc25A D231A mutant per oocyte, and cultured for 1â¯h. These oocytes were treated as described in (A). The levels of ectopically expressed Cdc25A in mature oocytes were compared against endogenous Cdc25A in eggs 90â¯min after activation. Each extract from whole oocytes was equivalent to one-fourth oocyte. IMO; immature oocytes; Exo, exogenous Myc-Cdc25A D231A; Endo, endogenous Cdc25A. Four independent experiments were performed for both A and B, and, for each, a representative result is shown.
Fig. 2. Effects of Myt1 and Wee1 inhibition on Cdk1 phosphorylation in activated eggs. (A) Immature stage VI oocytes were injected with 18.4â¯ng of wee1A-MO or cont-MO per oocyte, followed by induced maturation. Four hours after GVBD, they were activated with the calcium ionophore. Activated eggs were collected at the indicated times and subjected to Western blot analysis with each antibody. (B) Inhibition of either or both Wee1A and Myt1 shortened the first cycle in activated eggs. Immature stage VI oocytes were injected with 18.4â¯ng wee1A-MO and 200â¯ng neutralizing anti-Myt1 antibody (Myt1-NAb), individually or in combination, and cultured for 1â¯h before progesterone treatment. As a control, the same amount of normal rabbit IgG (Cont-IgG) and cont-MO was injected. Maturation and activation were induced in oocytes as described above. Activated eggs were collected at the indicated times and subjected to Western blot analysis with each antibody. Each extract from whole oocytes was equivalent to one-fourth oocyte. Immature stage VI oocytes (IMO) were used as a control. At least three independent experiments were performed for A and B, and representative results are shown.
Fig. 3. Effect of Myt1-Nab injection on Xenopus early development. Embryos injected with either control IgG (cont-Ig) or Myt1-NAb (100â¯ng) at one blastomere at the two-cell stage⨠were cultured until the 16-cell (St. 5), late blastula (St. 9), or early neurula (St. 18) stages and photographed at the indicated stages. At least three independent experiments were performed, and representative results are shown.