Click here to close Hello! We notice that you are using Internet Explorer, which is not supported by Xenbase and may cause the site to display incorrectly. We suggest using a current version of Chrome, FireFox, or Safari.
XB-ART-58579
Open Biol 2021 Oct 01;1110:210121. doi: 10.1098/rsob.210121.
Show Gene links Show Anatomy links

The role of DDK and Treslin-MTBP in coordinating replication licensing and pre-initiation complex formation.

Volpi I, Gillespie PJ, Chadha GS, Blow JJ.


???displayArticle.abstract???
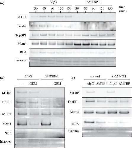
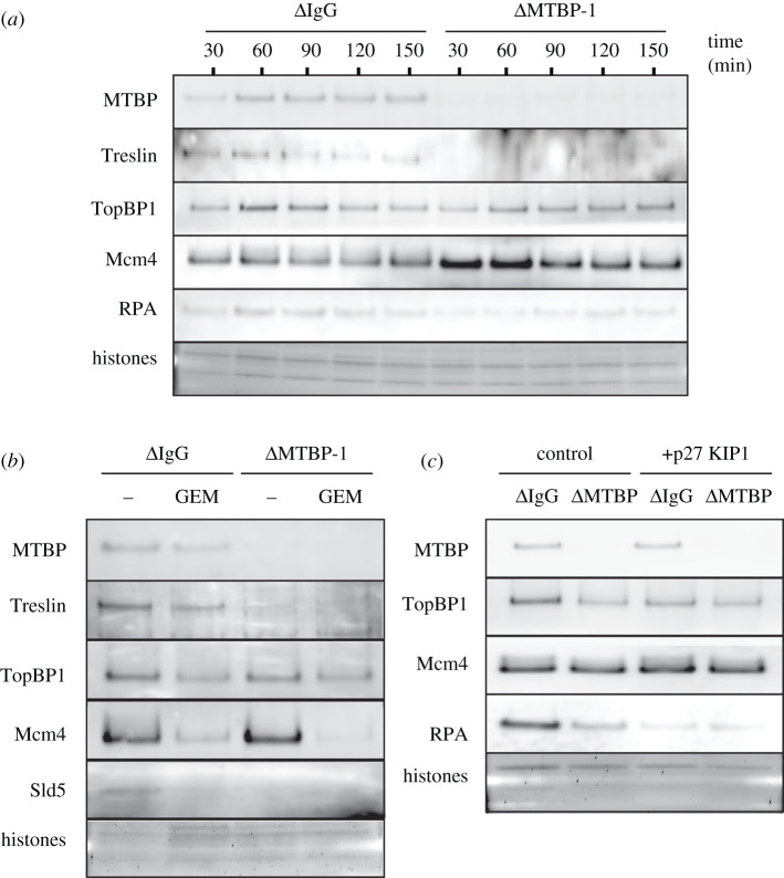
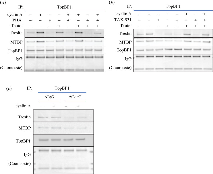
Treslin/Ticrr is required for the initiation of DNA replication and binds to MTBP (Mdm2 Binding Protein). Here, we show that in Xenopus egg extract, MTBP forms an elongated tetramer with Treslin containing two molecules of each protein. Immunodepletion and add-back experiments show that Treslin-MTBP is rate limiting for replication initiation. It is recruited onto chromatin before S phase starts and recruitment continues during S phase. We show that DDK activity both increases and strengthens the interaction of Treslin-MTBP with licensed chromatin. We also show that DDK activity cooperates with CDK activity to drive the interaction of Treslin-MTBP with TopBP1 which is a regulated crucial step in pre-initiation complex formation. These results suggest how DDK works together with CDKs to regulate Treslin-MTBP and plays a crucial in selecting which origins will undergo initiation.

???displayArticle.pubmedLink??? 34699733
???displayArticle.pmcLink??? PMC8548084
???displayArticle.link??? Open Biol
???displayArticle.grants??? [+]

Species referenced: Xenopus laevis
Genes referenced: mtbp ticrr topbp1


???attribute.lit??? ???displayArticles.show???
References [+] :
Alver, Reversal of DDK-Mediated MCM Phosphorylation by Rif1-PP1 Regulates Replication Initiation and Replisome Stability Independently of ATR/Chk1. 2017, Pubmed, Xenbase