Click here to close
Hello! We notice that you are using Internet Explorer, which is not supported by Xenbase and may cause the site to display incorrectly.
We suggest using a current version of Chrome,
FireFox, or Safari.
Crit Rev Toxicol
2021 Oct 01;519:729-739. doi: 10.1080/10408444.2021.1997910.
Show Gene links
Show Anatomy links
An examination of historical control histopathology metadata from 51 Amphibian Metamorphosis Assays.
Wolf JC
,
Bejarano AC
,
Fort DJ
,
Wheeler JR
.
???displayArticle.abstract???
The Amphibian Metamorphosis Assay (AMA) is used to identify substances that potentially interfere with the normal function of the hypothalamic-pituitary-thyroid (HPT) axis. Although numerous AMA studies have been performed since the establishment of this assay a decade earlier, a comprehensive, large-scale examination of histopathology data obtained from control larvae has not been performed. The current investigation reviewed 51 AMA experiments conducted at 7 different laboratories in Europe and North America. Dilution water control and/or solvent control specimens from each study (1,335 animals total) had been evaluated microscopically by one of eight anatomic pathologists. In order of descending frequency, the most common findings in prometamorphic Xenopus laevis controls were the core criteria of follicular cell (FC) hypertrophy, FC hyperplasia, thyroid hypertrophy, and thyroid atrophy, respectively. Less frequently recorded were non-core and ad hoc diagnoses, the toxicological relevance and utility of which were in some cases uncertain. As anticipated, the prevalence of FC hypertrophy and FC hyperplasia diagnoses were at least partially dependent on the Nieuwkoop and Faber (NF) stage at sacrifice. The recorded frequencies of each of the four core diagnoses also differed according to pathologist, which suggests that pathologist diagnostic interpretation is a potential source of variability across AMA study outcomes. Based on the current examination of the AMA historical data, and further hands-on experience with this assay, diagnostic approaches to evaluating the histopathology endpoint are discussed, and several recommendations are proposed for the refinement of core diagnostic criteria assessment.
Figure 1. Frequency and severity of follicular cell (FC) hypertrophy and FC hyperplasia in control frogs by Nieuwkoop and Faber (NF) stage for the 51 reviewed AMA studies. Frequencies at each stage are calculated by dividing the number of diagnoses by the number of control frogs examined. Numbers of control frogs examined are indicated in parentheses. There were no recordings of Grade 3 FC hyperplasia in controls.
Figure 2. Frequency of core diagnoses by pathologist for the 51 reviewed studies. For each of the four core diagnoses, the frequency is the number of diagnoses recorded by the pathologist divided by the number of animals examined by that same pathologist. The eight pathologists are indicated by various color and letter combinations (i.e. ah). Values in parentheses are the number of studies evaluated and the number of control frogs examined, respectively.
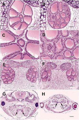
Figure 3. Morphologic variability of thyroid glands from AMA studies. (A, B) Thyroid glands of two control frogs from the same experiment (C and D are higher magnifications of A and B, respectively). While A was recorded as not remarkable, B displays mild follicular cell (FC) hypertrophy and mild FC hyperplasia. Note that despite the relative increase in cell proliferation, the overall gland size of B is actually smaller than A. The prevalence of mild to moderate FC hypertrophy may be as high as 100% in some control groups. (E, F) Variation in thyroid gland size, follicle size, and follicle shape in two control frogs from the same study. (G, H) Control and compound-exposed frogs, respectively, from the same study. Although the thyroids (arrows) in H are smaller than those of G, they are proportionally decreased in relation to body size, and therefore not necessarily atrophic. However, there does appear to be development delay in H compared to G, as evidenced by caudal migration of the thyroids and resorption of the internal gills in G. All images are hematoxylin and eosin. Bar sizes: A and Bâ=â50 microns; C and Dâ=â25 microns; E and Fâ=â100 microns; G and Hâ=â500 microns.
Histological section of thyroid gland from pre metamorphic tadpole of Xenopus laevis. Scale bar =50 microns
Histological section of thyroid gland from pre metamorphic tadpole of Xenopus laevis. Scale bar = 25 microns
Histological section of paired thyroid glands from pre metamorphic tadpole of Xenopus laevis. Scale bar = 100 microns
Histological section through head of pre-metamorphic tadpole of Xenopus laevis, with Arrows indicating paired thyroid glands. Scale bar = 500 microns