Click here to close
Hello! We notice that you are using Internet Explorer, which is not supported by Xenbase and may cause the site to display incorrectly.
We suggest using a current version of Chrome,
FireFox, or Safari.
???displayArticle.abstract???
Ataxia Telangiectasia mutated and RAD3-related (ATR) kinase is activated by DNA replication stress and also by various forms of DNA damage, including DNA double-strand breaks (DSBs). Recruitment to sites of damage is insufficient for ATR activation as one of two known ATR activators, either topoisomerase II-binding protein (TOPBP1) or Ewing's tumor-associated antigen 1, must also be present for signaling to initiate. Here, we employ our recently established DSB-mediated ATR activation in Xenopus egg extract (DMAX) system to examine how TOPBP1 is recruited to DSBs, so that it may activate ATR. We report that TOPBP1 is only transiently present at DSBs, with a half-life of less than 10 minutes. We also examined the relationship between TOPBP1 and the MRE11-RAD50-NBS1 (MRN), CtBP interacting protein (CtIP), and Ataxia Telangiectasia mutated (ATM) network of proteins. Loss of MRN prevents CtIP recruitment to DSBs, and partially inhibits TOPBP1 recruitment. Loss of CtIP has no impact on either MRN or TOPBP1 recruitment. Loss of ATM kinase activity prevents CtIP recruitment and enhances MRN and TOPBP1 recruitment. These findings demonstrate that there are MRN-dependent and independent pathways that recruit TOPBP1 to DSBs for ATR activation. Lastly, we find that both the 9-1-1 complex and MDC1 are dispensable for TOPBP1 recruitment to DSBs.
???displayArticle.pubmedLink???
35917319 ???displayArticle.pmcLink???PMC9345342 ???displayArticle.link???PLoS One ???displayArticle.grants???[+]
Fig 1. Functional domains and binding partners of TOPBP1.
Please see text for details.
https://doi.org/10.1371/journal.pone.0271905.g001
Fig 3. MRN is partially required for TOPBP1 recruitment to DSBs and ATR signaling.
A. NBS1 antibodies were used to remove the MRN complex from XEE via immunodepletion. A mock-depleted sample was also prepared. The depleted extracts were then probed for the indicated proteins (panels âtotal XEEâ). Note that NBS1 depletion results in the removal of all detectable NBS1, as well as MRE11, showing that the MRN complex has been removed. Note also that TOPBP1 is not co-depleted by the NBS1 antibody. The depleted extracts were then used for a DSB binding assay, and panels âDSB-boundâ shows the occupancy of the indicated proteins on the DSB beads. The experiment shown is representative of two independently performed biological replicates. B. Same as (A) except CtIP occupancy was examined in this experiment. The experiment shown is representative of two independently performed biological replicates. C. NBS1 antibodies were used to remove the MRN complex from XEE via immunodepletion. A mock-depleted sample was also prepared. The depleted extracts were then used for a DMAX assay to asses ATRâs ability to phosphorylate its key substrate, CHK1. âλ DSBsârefers to phage lambda DNA that was digested with EcoRI and represents the source of DSBs for this experiment. DSBs were optionally added to the depleted extracts, and after incubation samples were pulled and probed for P-CHK1, to assess the ATR activity state, and unmodified CHK1, to ensure CHK1 was present in the extract, and NBS1, to assess the effectiveness of the immunodepletion. The experiment shown is representative of two independently performed biological replicates. The other replicate is shown in S2 Fig. Shown below the blots is quantification of P-CHK1. For both replicates, ImageJ software was used to quantify the signal intensity for the P-CHK1 samples. The values for the mock-depleted sample were set to 100, the values for the NBS1-depleted samples were adjusted accordingly, and the results are presented as a ratio of NBS1-depelted signal over mock-depleted signal. âExpâ stands for experiment. D. Same as (A) except CtIP was depleted in this experiment. The experiment shown is representative of two independently performed biological replicates. The CtIP antibody we used recognizes a background band in the total extract, that runs just below CtIP. The background band is denoted by two asterisks while the CtIP band is denoted by two dots. Note that the background band remains after CtIP depletion whereas all detectable CtIP is removed.
https://doi.org/10.1371/journal.pone.0271905.g003
Fig 4. Loss of ATM kinase activity promotes the accumulation of MRN and TOPBP1 on DSBs.
A. A DSB binding assay was performed. One sample received magnetic streptavidin beads lacking DNA (empty beads) and the other two samples received DSB beads. Beads were incubated in XEEs treated with the indicated chemicals. ATMi is KU55933 at 100 uM. After incubation, samples were taken of the total extract and probed for the indicated proteins (panels âtotal XEEâ). Please see the legend for Fig 3D for an explanation of the CtIP panel. Beads were isolated and washed and the probed for occupancy of the indicated proteins (panels âDSB-boundâ). The experiment shown is representative of two independently performed biological replicates. B. A DSB-binding assay was performed in XEEs treated with the indicated compounds. Mirin was used at 100 uM. The experiment shown is representative of two independently performed biological replicates.
https://doi.org/10.1371/journal.pone.0271905.g004
Fig 5. ATM kinase activity is not essential for ATR signaling in the DMAX system.
A. XEEs were treated with the indicated compounds and then λ DSBs were optionally added. After incubation samples were taken and probed for the indicated proteins. The P-CHK1 and P-ATM signals were then quantified, as in Fig 3C. ATRi was present at 100 uM, as was ATMi (KU55933). The experiment shown is representative of two independently performed biological replicates. B. Same as (A) except ATRi was omitted and two different ATMis were used, at the indicated concentrations. The experiment shown is representative of two independently performed biological replicates.
https://doi.org/10.1371/journal.pone.0271905.g005
Fig 6. The AT70 DNA structure requires MRN and ATM for ATR signaling.
A. XEEs were incubated with either water, the A70 oligonucleotide, the T70 oligonucleotide, or the two oligonucleotides that had been annealed together (AT70). The samples were then probed for P-CHK1 and CHK1. The experiment shown is representative of two independently performed biological replicates. B. AT70 was optionally added to either mock- or NBS1-depleted extract. After incubation, samples were pulled and probed for the indicated proteins. The experiment shown is representative of two independently performed biological replicates. C. Extracts were treated with the indicated compounds and AT70 was optionally added. After incubation, samples were pulled and probed for the indicated proteins. ATMis were present at 100 uM. The experiment shown is representative of two independently performed biological replicates. D. The indicated DNAs at the indicated concentrations were added to XEEs and, after incubation, samples were pulled and probed for the indicated proteins. The experiment shown is representative of two independently performed biological replicates.
https://doi.org/10.1371/journal.pone.0271905.g006
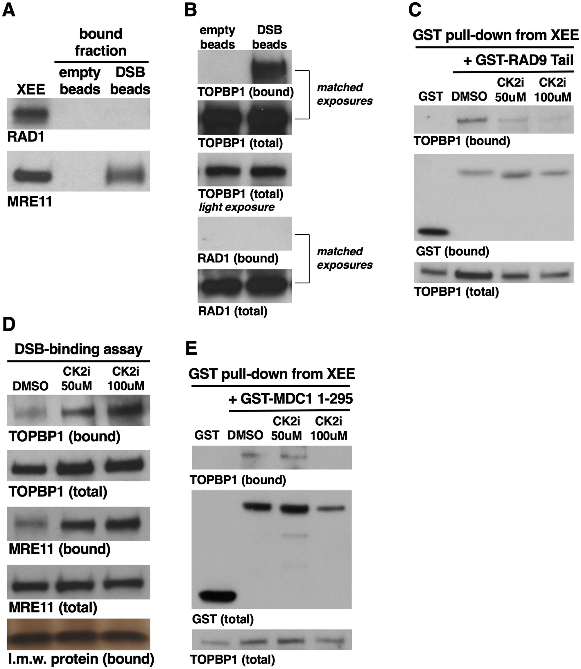
Fig 7. Neither the 9-1-1 complex nor MDC1 are required for TOPBP1 recruitment to DSBs.
A. A DSB binding assay was performed and the bound fraction was probed for the indicated proteins. The experiment shown is representative of two independently performed biological replicates. B. A DSB binding assay was performed and samples from total extract and the bound fraction was probed for the indicated proteins. For the total extract samples, 1 ul of XEE was loaded on the gel. Please see text for explanation of âmatched exposuresâ. The experiment shown is representative of two independently performed biological replicates. C. A GST pull-down experiment was performed. The indicated GST fusion proteins were added to XEEs that had been treated with the indicated compounds and, after incubation, complexes were isolated back out of the extract via glutathione-sepharose beads and probed for the indicated proteins. Samples of the total extract were also probed for TOPBP1. The experiment shown is representative of two independently performed biological replicates. C. A DSB-binding assay was performed with XEEs treated with the indicated compounds at the indicated concentrations. Total extract and DSB-bound samples were then probed for the indicated proteins. The experiment shown is representative of two independently performed biological replicates. D. Same as (C) except a GST-MDC1 fusion protein was used in place of GST-RAD9 Tail. The experiment shown is representative of two independently performed biological replicates.
https://doi.org/10.1371/journal.pone.0271905.g007
Fig 8. Multiple pathways for TOPBP1 recruitment and ATR activation by DSBs in Xenopus.
A. Please see text for details. B. Please see text for details.
https://doi.org/10.1371/journal.pone.0271905.g008
Bakkenist,
DNA damage activates ATM through intermolecular autophosphorylation and dimer dissociation.
2003, Pubmed
Bakkenist,
DNA damage activates ATM through intermolecular autophosphorylation and dimer dissociation.
2003,
Pubmed Bigot,
Phosphorylation-mediated interactions with TOPBP1 couple 53BP1 and 9-1-1 to control the G1 DNA damage checkpoint.
2019,
Pubmed Blackford,
TopBP1 interacts with BLM to maintain genome stability but is dispensable for preventing BLM degradation.
2015,
Pubmed Blaikley,
The DNA damage checkpoint pathway promotes extensive resection and nucleotide synthesis to facilitate homologous recombination repair and genome stability in fission yeast.
2014,
Pubmed Cescutti,
TopBP1 functions with 53BP1 in the G1 DNA damage checkpoint.
2010,
Pubmed Choi,
Mdc1 modulates the interaction between TopBP1 and the MRN complex during DNA damage checkpoint responses.
2016,
Pubmed
,
Xenbase Day,
BRCT domains of the DNA damage checkpoint proteins TOPBP1/Rad4 display distinct specificities for phosphopeptide ligands.
2018,
Pubmed Delacroix,
The Rad9-Hus1-Rad1 (9-1-1) clamp activates checkpoint signaling via TopBP1.
2007,
Pubmed Dupré,
A forward chemical genetic screen reveals an inhibitor of the Mre11-Rad50-Nbs1 complex.
2008,
Pubmed
,
Xenbase Duursma,
A role for the MRN complex in ATR activation via TOPBP1 recruitment.
2013,
Pubmed
,
Xenbase Frattini,
TopBP1 assembles nuclear condensates to switch on ATR signaling.
2021,
Pubmed Gobbini,
The 9-1-1 Complex Controls Mre11 Nuclease and Checkpoint Activation during Short-Range Resection of DNA Double-Strand Breaks.
2020,
Pubmed Jazayeri,
ATM- and cell cycle-dependent regulation of ATR in response to DNA double-strand breaks.
2006,
Pubmed Kim,
Biochemical analysis of TOPBP1 oligomerization.
2020,
Pubmed
,
Xenbase Kumagai,
Claspin, a novel protein required for the activation of Chk1 during a DNA replication checkpoint response in Xenopus egg extracts.
2000,
Pubmed
,
Xenbase Lee,
The Mre11-Rad50-Nbs1 (MRN) complex has a specific role in the activation of Chk1 in response to stalled replication forks.
2013,
Pubmed
,
Xenbase Lee,
Cellular functions of the protein kinase ATM and their relevance to human disease.
2021,
Pubmed Lee,
The Rad9-Hus1-Rad1 checkpoint clamp regulates interaction of TopBP1 with ATR.
2007,
Pubmed
,
Xenbase Leimbacher,
MDC1 Interacts with TOPBP1 to Maintain Chromosomal Stability during Mitosis.
2019,
Pubmed Liao,
Analysis of MRE11's function in the 5'-->3' processing of DNA double-strand breaks.
2012,
Pubmed
,
Xenbase Ma,
Activation of ATR-related protein kinase upon DNA damage recognition.
2020,
Pubmed Montales,
Structure-function analysis of TOPBP1's role in ATR signaling using the DSB-mediated ATR activation in Xenopus egg extracts (DMAX) system.
2021,
Pubmed
,
Xenbase Myers,
Rapid activation of ATR by ionizing radiation requires ATM and Mre11.
2006,
Pubmed Paull,
Mechanisms of ATM Activation.
2015,
Pubmed Ramírez-Lugo,
CtIP interacts with TopBP1 and Nbs1 in the response to double-stranded DNA breaks (DSBs) in Xenopus egg extracts.
2011,
Pubmed
,
Xenbase Ruis,
Delineation of a minimal topoisomerase II binding protein 1 for regulated activation of ATR at DNA double-strand breaks.
2022,
Pubmed
,
Xenbase Saldivar,
The essential kinase ATR: ensuring faithful duplication of a challenging genome.
2017,
Pubmed Shiotani,
Two distinct modes of ATR activation orchestrated by Rad17 and Nbs1.
2013,
Pubmed Shiotani,
Single-stranded DNA orchestrates an ATM-to-ATR switch at DNA breaks.
2009,
Pubmed Smythe,
Systems for the study of nuclear assembly, DNA replication, and nuclear breakdown in Xenopus laevis egg extracts.
1991,
Pubmed
,
Xenbase Takeishi,
Casein kinase 2-dependent phosphorylation of human Rad9 mediates the interaction between human Rad9-Hus1-Rad1 complex and TopBP1.
2010,
Pubmed Taylor,
The Mre11/Rad50/Nbs1 complex functions in resection-based DNA end joining in Xenopus laevis.
2010,
Pubmed
,
Xenbase Thada,
ATR activation is regulated by dimerization of ATR activating proteins.
2021,
Pubmed Van Hatten,
The Xenopus Xmus101 protein is required for the recruitment of Cdc45 to origins of DNA replication.
2002,
Pubmed
,
Xenbase Wardlaw,
TopBP1: A BRCT-scaffold protein functioning in multiple cellular pathways.
2014,
Pubmed Waterman,
Checkpoint Responses to DNA Double-Strand Breaks.
2020,
Pubmed Williams,
Nbs1 flexibly tethers Ctp1 and Mre11-Rad50 to coordinate DNA double-strand break processing and repair.
2009,
Pubmed Williams,
Structures and regulations of ATM and ATR, master kinases in genome integrity.
2020,
Pubmed Williams,
Roles of ATM and ATR in DNA double strand breaks and replication stress.
2021,
Pubmed Wühr,
Deep proteomics of the Xenopus laevis egg using an mRNA-derived reference database.
2014,
Pubmed
,
Xenbase Yoo,
The Mre11-Rad50-Nbs1 complex mediates activation of TopBP1 by ATM.
2009,
Pubmed
,
Xenbase Yoo,
Ataxia-telangiectasia mutated (ATM)-dependent activation of ATR occurs through phosphorylation of TopBP1 by ATM.
2007,
Pubmed
,
Xenbase You,
CtIP links DNA double-strand break sensing to resection.
2009,
Pubmed
,
Xenbase Zhao,
A PARylation-phosphorylation cascade promotes TOPBP1 loading and RPA-RAD51 exchange in homologous recombination.
2022,
Pubmed