Click here to close Hello! We notice that you are using Internet Explorer, which is not supported by Xenbase and may cause the site to display incorrectly. We suggest using a current version of Chrome, FireFox, or Safari.
XB-ART-59694
Mol Biol Cell 2023 Jun 01;347:ar64. doi: 10.1091/mbc.E22-09-0411.
Show Gene links Show Anatomy links

The RhoGEF protein Plekhg5 regulates medioapical and junctional actomyosin dynamics of apical constriction during Xenopus gastrulation.

Baldwin A, Popov IK, Keller R, Wallingford J, Chang C.


???displayArticle.abstract???
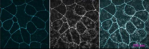
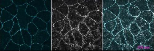
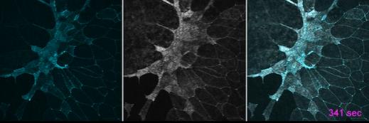
Apical constriction results in apical surface reduction in epithelial cells and is a widely used mechanism for epithelial morphogenesis. Both medioapical and junctional actomyosin remodeling are involved in apical constriction, but the deployment of medial versus junctional actomyosin and their genetic regulation in vertebrate embryonic development have not been fully described. In this study, we investigate actomyosin dynamics and their regulation by the RhoGEF protein Plekhg5 in Xenopus bottle cells. Using live imaging and quantitative image analysis, we show that bottle cells assume different shapes, with rounding bottle cells constricting earlier in small clusters followed by fusiform bottle cells forming between the clusters. Both medioapical and junctional actomyosin signals increase as surface area decreases, though correlation of apical constriction with medioapical actomyosin localization appears to be stronger. F-actin bundles perpendicular to the apical surface form in constricted cells, which may correspond to microvilli previously observed in the apical membrane. Knockdown of plekhg5 disrupts medioapical and junctional actomyosin activity and apical constriction but does not affect initial F-actin dynamics. Taking the results together, our study reveals distinct cell morphologies, uncovers actomyosin behaviors, and demonstrates the crucial role of a RhoGEF protein in controlling actomyosin dynamics during apical constriction of bottle cells in Xenopus gastrulation.

???displayArticle.pubmedLink??? 37043306
???displayArticle.pmcLink??? PMC10295481
???displayArticle.link??? Mol Biol Cell
???displayArticle.grants??? [+]

Species referenced: Xenopus laevis
Genes referenced: plekhg5 utrn
GO keywords: apical constriction [+]


???attribute.lit??? ???displayArticles.show???
References [+] :
Aigouy, EPySeg: a coding-free solution for automated segmentation of epithelia using deep learning. 2020, Pubmed