XB-ART-60527
Nat Commun
2024 Jan 17;151:535. doi: 10.1038/s41467-023-44522-2.
Show Gene links
Show Anatomy links
Embryos assist morphogenesis of others through calcium and ATP signaling mechanisms in collective teratogen resistance.
Tung A, Sperry MM, Clawson W, Pavuluri A, Bulatao S, Yue M, Flores RM, Pai VP, McMillen P, Kuchling F, Levin M.
???displayArticle.abstract???
Information for organismal patterning can come from a variety of sources. We investigate the possibility that instructive influences for normal embryonic development are provided not only at the level of cells within the embryo, but also via interactions between embryos. To explore this, we challenge groups of embryos with disruptors of normal development while varying group size. Here, we show that Xenopus laevis embryos are much more sensitive to a diverse set of chemical and molecular-biological perturbations when allowed to develop alone or in small groups, than in large groups. Keeping per-embryo exposure constant, we find that increasing the number of exposed embryos in a cohort increases the rate of survival while incidence of defects decreases. This inter-embryo assistance effect is mediated by short-range diffusible signals and involves the P2 ATP receptor. Our data and computational model emphasize that morphogenesis is a collective phenomenon not only at the level of cells, but also of whole bodies, and that cohort size is a crucial variable in studies of ecotoxicology, teratogenesis, and developmental plasticity.
???displayArticle.pubmedLink??? 38233424
???displayArticle.pmcLink??? PMC10794468
???displayArticle.link??? Nat Commun
???displayArticle.grants??? [+]
S10OD032203 U.S. Department of Health & Human Services | National Institutes of Health (NIH), W911NF-19-2-0027 United States Department of Defense | Defense Advanced Research Projects Agency (DARPA), S10 OD032203 NIH HHS
Species referenced: Xenopus laevis
Genes referenced: mrc1
GO keywords: embryo development [+]
???displayArticle.gses??? GSE245780: NCBI
???attribute.lit??? ???displayArticles.show???
|
|
|
|
|
Fig. 2: Conspecific effect beyond thioridazine exposure. a Images of control (left) and forskolin-treated animals (right), demonstrating hyperpigmentation following forskolin exposure (purple arrows). b The graph shows the total frequency of hyperpigmentation in embryos exposed to forskolin in small (n = 25), medium (n = 50), and large (n = 300) groups. ****p < 0.001.. c Control animal raised in 0.1x MMR with normal brain structures (left). ****p <0.0001. Representative animals from cohorts subjected to nicotine treatment were then raised at a group size of 75 animals (right). Purple arrows highlight misshapen eyes, malformed forebrain, and midbrain. d Percent total of embryos with brain defects in groups treated with nicotine at densities of n = 10, 25, 50, 75, and 125. ****p < 0.0001, ***p = 0.0008, *p = 0.0197. e Effect of group size on incidence of defects in dominant-negative Kir6.1-injected embryos. Images of control (left) and injected (right) embryos at stage 45. Blue arrows indicate normal eyes and head shape while purple arrows point out misshapen heads and eyes. f Quantification of malformed and normal individuals at stage 45. Group size of n = 10, 25, 50, and 100. Both cells at the 2-cell stage were injected and embryos were split into different size groups post injection. *p = 0.0111, ****p < 0.0001, ***p = 0.0004, and **p = 0.0028. All animal images are dorsal views and oriented so anterior is facing up and dorsal is down. For all data: values are plotted as mean ± SD, one-way ANOVA, and Tukey tests were conducted. Each dot on the graph is a separate replicate. All treatments are normalized to the mean of non-treated controls’ spontaneous defects. Scale bars represent 2 mm. Source data are provided as a Source Data file. |
|
|
Fig. 3: Genetically diverse populations can also benefit from CEMA but unperturbed cohort members do not aid in stabilization. a Examples of wildtype and albino animals that were untreated (controls) or treated with thioridazine (treated). Blue arrows highlight normal head shape and pigmentation. Purple arrows indicate square heads and hyperpigmentation. b Percent total of embryos with square heads in two strains of Xenopus laevis, wildtype (either n = 150 or n = 300, respectively labeled on the graph) and albino (n = 150 or n = 300, respectively labeled on the graph). ****p < 0.0001. c Averages of the frequency of square head defects in a mixed group of n = 150 thioridazine-treated wildtype embryos + 150 untreated albinos, n = 300 treated wild-type embryos, and n = 150 treated wild-type embryos. **p = 0.0094 and *p = 0.0133. d Average of the frequency of brain defects and square heads in nicotine, thioridazine, and mixed treatments (n = 150 in each group). **p = 0.0019 and *p = 0.0291 for brain defects and ****p < 0.0001 for square head. All animal images are dorsal views with the anterior end at the top of the image. For all data: values are plotted as mean ± SD, one-way ANOVA, and Tukey test were conducted. All treatments are normalized to the mean of non-treated controls’ spontaneous defects. Scale bars represent 2 mm. Source data are provided as a Source Data file. |
|
|
Fig. 4: Computational agent-based model of CEMA. a Cartoon example of healthy and teratogen-influenced development. Left, an ECA, a 1D array of 0's and 1's, has an initial configuration of 40% 0's (white) and 60% 1's (black). ECA follows the GKL update rule, solving the majority problem by converging to all 1's. Right, an ECA that has noise induced by teratogens, which does not successfully solve the majority problem. b A cartoon example of inter-embryonic signaling from time t to time t + 1. Embryos signal their current health (red) at time t and supportive signals (black) at the next timestep to their neighbors and nearest neighbors. Embryos that have not been exposed to the teratogen cannot participate. c Data from the simulation shows that inter-embryonic signaling, CEMA, aids in development in the presence of noise (blue line). Without this communication, development fails in the presence of noise (red line). When half of a cohort is comprised of untreated embryos, they do not participate, and therefore the effect is lower (orange line). Each experiment included the number of embryos equal to the total embryos indicated on the x-axis and each experiment was repeated 50 times. The bars on the graph are 95% confidence intervals and the center represents the mean. Source data are provided as a Source Data file. |
|
|
Fig. 5: Increasing cohort size induced changes to the transcription of different small sets of genes in control and thioridazine-treated embryos. Volcano plots of differential expression data for large (300 embryos) compared to small (100 embryos) groups of a control and b thioridazine-treated embryos. Genes undergoing significant changes in expression (FDR < 0.05) are highlighted in red (increased expression) and blue (decreased expression). Pathway analysis for comparison of large vs. small numbers of conspecifics in the c control and d thioridazine treatment conditions. Pathway analysis was performed by over-representation testing of the differentially expressed genes (FDR < 0.1) in the gene ontology (GO) terms/pathways and over-represented pathways were identified at a significance threshold of FDR < 0.1. The size of the dots reflects the gene ratios (number of significant genes associated with the GO term/total number of significant genes associated with any GO term), and the adjusted p-value (FDR) reflects the significance. Source data are provided as a Source Data file. |
|
|
Fig. 6: CEMA requires diffusion but not physical contact. a Images of embryos undergoing thioridazine treatment in a standard physical isolation device (left) and an image of a diffusion-enhanced physical isolation device (right). b Groups of n = 300 embryos were treated with thioridazine and were isolated using windowed wells, solid wells, or unseparated. ****p < 0.0001 and ***p = 0.0010. c Groups of n = 300 embryos were either put into clear or opaque separation devices or left unseparated and treated with thioridazine. **p = 0.0021 between -separated,+vision and +separated,+vision and **p = 0.0012 between -separated,+vision and +separated,-vision. b, c were both analyzed using one-way ANOVA and Tukey tests. Values are means ± SD. All treatments are normalized to the mean of non-treated controls’ spontaneous defects. Source data are provided as a Source Data file |
|
|
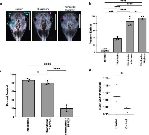
Fig. 7: ATP/P2X receptors may mediate CEMA. a Suramin eliminates the protective effect of large group size against thioridazine-induced craniofacial defects and death. Tadpoles in groups of 300 were treated with 100 µM suramin, 90 µM thioridazine, 90 µM thioridazine and 100 µM suramin together, and compared to 90 µM thioridazine exposure as singletons. Blue arrows showing normal eyes, pigmentation, and head shape. Purple arrows show defects in those regions. b Percent defect of each group (n = 300 for each group) was then quantified. ****p < 0.0001 and ***p = 0.0002. c Thioridazine concentration was constant at 90 µM across all treatments and calcium or P2 receptor blockers were added. Calcium was depleted using 5 µM BAPTA. P2 receptors were inhibited with 100 µM PPADS. Each treatment group had a total of n = 300 embryos. ****p < 0.0001. d Quantification of extracellular ATP concentration. *p = 0.0443. Each dot represents the average of a group of three replicates. All animal images are dorsal views, and are oriented with the anterior end at the top of the image. For all data: values are plotted as mean ± SD, one-way ANOVA, and Tukey tests were conducted, and ***p ≤ 0.001, **p ≤ 0.01, *p ≤ 0.05. All treatments are normalized to the mean of non-treated controls’ spontaneous defects. Scale bars represent 2 mm. Source data are provided as a Source Data file. |
|
|
Fig. 8: Mechanical damage in Xenopus induces calcium waves in distant, uninjured conspecifics. a Dimensions for holder and embryo arrangement for injury experiments. b Fluorescent images of GCAMP6S-expressing embryos at 0-, 10-, and 20-min post-injury for untreated stage 10–12 embryos. The injured embryo is on the left and the neighboring uninjured embryo is on the right. c The speeds of GCAMP6S signal propagation between and within embryos. Speeds were compared using the Kruskal–Wallis test, assessing differences in speed between embryos (n = 7) and within injured (n = 8) and receiver (n = 9) embryos; *p < 0.05. d Kymographs of receiver embryo calcium dynamics before injury (spontaneous activity) and post-injury under control, suramin, and ATP conditions. Maximum GCAMP6S signal for e injured and f receiver embryos from the control (n = 10) and suramin-treated (n = 5) groups. Intensities are normalized to the mean of the pre-injury spontaneous activity. Groups were compared separately for injured and receiver embryos using the two-tailed Welch’s t-test; **p = 0.009. g Maximum GCAMP6S signal for embryos exposed to a bolus of MMR media (control; n = 3) or ATP (n = 4). Groups were compared using the two-tailed Welch’s t-test; *p = 0.01. All error bars represent the standard deviation. Source data are provided as a Source Data file. |
|
|
Fig. 9: Mechanistic model of CEMA effects. a Naive condition in which embryos are undisturbed. Damaged conditions in which embryos are subjected to injury and ATP expulsion increases. Damaged embryo + PPADS/Suramin showing the environment in which P-type receptors are blocked and inhibiting the binding of ATP. Damaged + BAPTA shows that internal calcium stores are depleted and there is a reduction of calcium response. b Enlarged view of internal events during injury. Top: The embryo on the left is injured and elicits a calcium response and increased ATP release. ATP binds to P2X receptors on neighboring, uninjured embryos and elicits its own calcium response. Middle: In the presence of PPADS/Suramin, the injured embryo has a calcium and ATP response but P2X receptor blockade prevents ATP binding and subsequent calcium wave in the uninjured embryo. Bottom: In the presence of BAPTA, the injured embryo no longer has a calcium response, but is still able to increase the release of ATP. ATP can still bind to P2X receptors in the neighboring embryo but there is no calcium wave, indicating that the calcium responses in both the injured and uninjured neighbor are dependent on calcium. Created with BioRender.com. |
|
|
Supplemental Figure 1. Additional images of thioridazine treated tadpoles and additional noted defects. (A) Whole body images of thioridazine treated animals. (B) Variations in square head phenotypes. (C) Quantification of all observed defects from thioridazine treatment in large and small groups with their respective controls. |
|
|
Supplemental Figure 2. Supplementary images of tadpoles treated with different teratogens. (A) Example control embryo. Example of forskolin (B), nicotine (C), and kir6.1 (D) treated embryos. |
|
|
Supplemental Figure 3. A visual example of how the control and ‘teratogenexposed’ ECAs update from one time step to another. (Left) Normally, cells follow the GKL rule 84, successfully solving the majority problem. There is an initial distribution of ones (black) and zeros (white) with more ones than zeros. The ECA evolves (top to bottom) and converges to all ones. (Right) In the presence of noise (red dashed line), the rules shift (and stay shifted) to random updating, and the ECA fails to solve the majority problem. There is the same majority in the right as in the left, but at the end of the simulation not all cells are one/black. These examples were generated as singletons, and no collective effects are shown here. |
|
|
Supplemental Figure 4. Two representative examples of health values over time. In each graph, the y-axis is embryos in the group and the x-axis is time. At each time point the health value of the embryo is reported as a color (yellow is more health and blue is more unhealthy). For low numbers of total embryos, health values quickly collapse to low values. This can be seen in the top graph as the colors slowly drift to a dark blue color. Conversely, under the same conditions, large numbers of embryos better resist noise, resulting in healthy, although not perfectly healthy, embryos. This can be visually seen in the lower graph, where the health values are more yellow than the upper graph, meaning higher health. While not a central area of investigation for this study, it is particularly interesting how health and noise balance one another. |
|
|
Supplemental Figure 5. (A) Left, a schematic of two tested conditions – first with only neighbor’s interactions involved in the simulations and second with neighbor’s neighbors’ involved. Right, a graph showing how these two conditions (orange and blue, respectively) effect how the cohort resists noise. Even when lowering noise (green), small, local-only interactions are not enough to resist noise. (B) Left, a schematic showing how health threshold values were tested. Right, a graph showing how these three conditions altered the simulations while keeping all other parameters set |
|
|
Supplemental Figure 6. Principal component analysis of RNA-sequencing data for Stage 25 and Stage 35 Xenopus housed in small (100-embryo) and large (300-embryo) group sizes in control or thioridazine-treated media. |
|
|
Supplemental Figure 7. Intensity vs. time plots for control and suramin-treated embryos. Baseline (0-10 minutes) and post-injury (10- 30 mins) traces are shown for the injured and receiver embryos. The time point of injury is denoted by the lightning bolt. |
References [+] :
Abbracchio,
International Union of Pharmacology LVIII: update on the P2Y G protein-coupled nucleotide receptors: from molecular mechanisms and pathophysiology to therapy.
2006, Pubmed
Abbracchio, International Union of Pharmacology LVIII: update on the P2Y G protein-coupled nucleotide receptors: from molecular mechanisms and pathophysiology to therapy. 2006, Pubmed
Adams, Early, H+-V-ATPase-dependent proton flux is necessary for consistent left-right patterning of non-mammalian vertebrates. 2006, Pubmed , Xenbase
Adams, H+ pump-dependent changes in membrane voltage are an early mechanism necessary and sufficient to induce Xenopus tail regeneration. 2007, Pubmed , Xenbase
Akberdin, A cellular automaton to model the development of primary shoot meristems of Arabidopsis thaliana. 2007, Pubmed
Andersen, Shape homeostasis in virtual embryos. 2009, Pubmed
Aubret, Heartbeat, embryo communication and hatching synchrony in snake eggs. 2016, Pubmed
Aw, The ATP-sensitive K(+)-channel (K(ATP)) controls early left-right patterning in Xenopus and chick embryos. 2010, Pubmed , Xenbase
Bailey, Differential effects of suramin on P2-purinoceptors mediating contraction of the guinea-pig vas deferens and urinary bladder. 1994, Pubmed
Bantle, Further validation of FETAX: evaluation of the developmental toxicity of five known mammalian teratogens and non-teratogens. 1990, Pubmed , Xenbase
Barua, Lifestyle, pregnancy and epigenetic effects. 2015, Pubmed
Basanta, The evolution of robust development and homeostasis in artificial organisms. 2008, Pubmed
Bates, Ion channels in development and cancer. 2015, Pubmed
Bazazi, Collective motion and cannibalism in locust migratory bands. 2008, Pubmed
Beloussov, Local and global dynamics in collective movements of embryonic cells. 2018, Pubmed , Xenbase
Blanchard, Comparative Embryonic Spatio-Temporal Expression Profile Map of the Xenopus P2X Receptor Family. 2019, Pubmed , Xenbase
Bloch-Salisbury, Kangaroo care: cardio-respiratory relationships between the infant and caregiver. 2014, Pubmed
Braet, Calcium signal communication in the central nervous system. 2004, Pubmed
Broman, Myoelectric signal conduction velocity and spectral parameters: influence of force and time. 1985, Pubmed
Burnstock, Cellular distribution and functions of P2 receptor subtypes in different systems. 2004, Pubmed
Busse, Cross-limb communication during Xenopus hindlimb regenerative response: non-local bioelectric injury signals. 2018, Pubmed , Xenbase
Camley, Physical models of collective cell motility: from cell to tissue. 2017, Pubmed
Cavalli, Advances in epigenetics link genetics to the environment and disease. 2019, Pubmed
Chen, fastp: an ultra-fast all-in-one FASTQ preprocessor. 2018, Pubmed
Chen, Ultrasensitive fluorescent proteins for imaging neuronal activity. 2013, Pubmed
Cousin, Cranial Neural Crest Transplants. 2018, Pubmed , Xenbase
Couzin, Collective minds. 2007, Pubmed
Couzin, Collective memory and spatial sorting in animal groups. 2002, Pubmed
Couzin, Collective cognition in animal groups. 2009, Pubmed
Daly, Forskolin, adenylate cyclase, and cell physiology: an overview. 1984, Pubmed
Davidson, Embryonic wound healing by apical contraction and ingression in Xenopus laevis. 2002, Pubmed , Xenbase
Dawson, Developmental toxicity testing with FETAX: evaluation of five compounds. 1989, Pubmed , Xenbase
Deisboeck, Collective behavior in cancer cell populations. 2009, Pubmed
De Pittà, Multimodal encoding in a simplified model of intracellular calcium signaling. 2009, Pubmed
DiSalvo, In the social amoeba Dictyostelium discoideum, density, not farming status, determines predatory success on unpalatable Escherichia coli. 2014, Pubmed
Dolmetsch, Calcium oscillations increase the efficiency and specificity of gene expression. 1998, Pubmed
Eckersley-Maslin, Dynamics of the epigenetic landscape during the maternal-to-zygotic transition. 2018, Pubmed
Elliott, Transplantation of Xenopus laevis tissues to determine the ability of motor neurons to acquire a novel target. 2013, Pubmed , Xenbase
Erez, Communication between viruses guides lysis-lysogeny decisions. 2017, Pubmed
Fields, Scale-Free Biology: Integrating Evolutionary and Developmental Thinking. 2020, Pubmed
Fields, Regulative development as a model for origin of life and artificial life studies. 2023, Pubmed
Fort, Evaluation of the developmental toxicity of five compounds with the frog embryo teratogenesis assay: Xenopus (FETAX) and a metabolic activation system. 1989, Pubmed , Xenbase
Foster, Single cell RNA-seq in the sea urchin embryo show marked cell-type specificity in the Delta/Notch pathway. 2019, Pubmed
Fraebel, Evolution of Generalists by Phenotypic Plasticity. 2020, Pubmed
Fraire-Zamora, Vacuolar ATPase is required for ERK-dependent wound healing in the Drosophila embryo. 2018, Pubmed
Frank, Natural selection. III. Selection versus transmission and the levels of selection. 2012, Pubmed
Friston, Knowing one's place: a free-energy approach to pattern regulation. 2015, Pubmed
Gandelman, Uterine position and the activation of male sexual activity in testosterone propionate-treated female guinea pigs. 1986, Pubmed
Gandelman, Contiguity to male foetuses affects morphology and behaviour of female mice. 1977, Pubmed
Gerlee, Evolving homeostatic tissue using genetic algorithms. 2011, Pubmed
Giaume, Intercellular calcium signaling and gap junctional communication in astrocytes. 1998, Pubmed
Gil, Effect of purinergic receptor antagonists suramin and theobromine on tumor-induced angiogenesis in BALB/c mice. 1993, Pubmed
Guo, Mesenchymal stem cells reprogram host macrophages to attenuate obliterative bronchiolitis in murine orthotopic tracheal transplantation. 2013, Pubmed
Harris, Bioelectric signaling as a unique regulator of development and regeneration. 2021, Pubmed
Hatzikirou, Cellular automata as microscopic models of cell migration in heterogeneous environments. 2008, Pubmed
He, The changing mouse embryo transcriptome at whole tissue and single-cell resolution. 2020, Pubmed
Herrgen, Calcium-dependent neuroepithelial contractions expel damaged cells from the developing brain. 2014, Pubmed , Xenbase
Hornick, Multiple follicle culture supports primary follicle growth through paracrine-acting signals. 2013, Pubmed
Horton, Fetal origins of developmental plasticity: animal models of induced life history variation. 2005, Pubmed
Hourani, Effects of the P2-purinoceptor antagonist, suramin, on human platelet aggregation induced by adenosine 5'-diphosphate. 1992, Pubmed
Ilsley, Finding cell-specific expression patterns in the early Ciona embryo with single-cell RNA-seq. 2020, Pubmed
Ireland, Phenotypically plastic responses of green frog embryos to conflicting predation risk. 2007, Pubmed
Jaffe, Fast calcium waves. 2010, Pubmed
Johnson, Cancer cell population growth kinetics at low densities deviate from the exponential growth model and suggest an Allee effect. 2019, Pubmed
Joshi, Experimental control of excitable embryonic tissues: three stimuli induce rapid epithelial contraction. 2010, Pubmed , Xenbase
Junkin, Mechanically induced intercellular calcium communication in confined endothelial structures. 2013, Pubmed
Kawakubo, A network of networks approach for modeling interconnected brain tissue-specific networks. 2019, Pubmed
Kelly, Phenotypic plasticity: molecular mechanisms and adaptive significance. 2012, Pubmed
Khakh, Molecular physiology of P2X receptors and ATP signalling at synapses. 2001, Pubmed
Kim, Mechanochemical actuators of embryonic epithelial contractility. 2014, Pubmed , Xenbase
Kono, Spontaneous oscillation and mechanically induced calcium waves in chondrocytes. 2006, Pubmed
Krämer-Albers, Exosomes deliver ROS for regeneration. 2018, Pubmed
Krause, Exosomes as secondary inductive signals involved in kidney organogenesis. 2018, Pubmed
Kucenas, Ectodermal P2X receptor function plays a pivotal role in craniofacial development of the zebrafish. 2009, Pubmed
Labavić, Networks of coupled circuits: from a versatile toggle switch to collective coherent behavior. 2014, Pubmed
Lalli, Suppression of KATP currents by gene transfer of a dominant negative Kir6.2 construct. 1998, Pubmed
Lambrecht, Structure-activity relationships of suramin and pyridoxal-5'-phosphate derivatives as P2 receptor antagonists. 2002, Pubmed
Lange, The H(+) vacuolar ATPase maintains neural stem cells in the developing mouse cortex. 2011, Pubmed
Langmead, Fast gapped-read alignment with Bowtie 2. 2012, Pubmed
Law, voom: Precision weights unlock linear model analysis tools for RNA-seq read counts. 2014, Pubmed
Leek, Capturing heterogeneity in gene expression studies by surrogate variable analysis. 2007, Pubmed
Levin, The Computational Boundary of a "Self": Developmental Bioelectricity Drives Multicellularity and Scale-Free Cognition. 2019, Pubmed
Levin, Bioelectric signaling: Reprogrammable circuits underlying embryogenesis, regeneration, and cancer. 2021, Pubmed , Xenbase
Levin, Life, death, and self: Fundamental questions of primitive cognition viewed through the lens of body plasticity and synthetic organisms. 2021, Pubmed
Levin, The wisdom of the body: future techniques and approaches to morphogenetic fields in regenerative medicine, developmental biology and cancer. 2011, Pubmed
Levin, Bioelectrical approaches to cancer as a problem of the scaling of the cellular self. 2021, Pubmed
Li, ATP6V1H regulates the growth and differentiation of bone marrow stromal cells. 2018, Pubmed
Li, The Sequence Alignment/Map format and SAMtools. 2009, Pubmed
Liu, Gap junctions/hemichannels modulate interkinetic nuclear migration in the forebrain precursors. 2010, Pubmed
Liu, Coupling between distant biofilms and emergence of nutrient time-sharing. 2017, Pubmed
Ljubotina, Effects of neighbour location and nutrient distributions on root foraging behaviour of the common sunflower. 2019, Pubmed
Lobikin, Serotonergic regulation of melanocyte conversion: A bioelectrically regulated network for stochastic all-or-none hyperpigmentation. 2015, Pubmed , Xenbase
Mahall, Root communication among desert shrubs. 1991, Pubmed
Manicka, Minimal Developmental Computation: A Causal Network Approach to Understand Morphogenetic Pattern Formation. 2022, Pubmed
Markus, Simulation of vessel morphogenesis using cellular automata. 1999, Pubmed
Marques-Pita, Canalization and control in automata networks: body segmentation in Drosophila melanogaster. 2013, Pubmed
Massé, Purine-mediated signalling triggers eye development. 2007, Pubmed , Xenbase
Massé, Purines as potential morphogens during embryonic development. 2012, Pubmed , Xenbase
Mathews, The body electric 2.0: recent advances in developmental bioelectricity for regenerative and synthetic bioengineering. 2018, Pubmed
McCleery, Root branching plasticity: collective decision-making results from local and global signalling. 2017, Pubmed
McDowell, From cytoskeletal dynamics to organ asymmetry: a nonlinear, regulative pathway underlies left-right patterning. 2016, Pubmed , Xenbase
McGlashan, Embryonic communication in the nest: metabolic responses of reptilian embryos to developmental rates of siblings. 2012, Pubmed
McMillen, Toward Decoding Bioelectric Events in Xenopus Embryogenesis: New Methodology for Tracking Interplay Between Calcium and Resting Potentials In Vivo. 2020, Pubmed , Xenbase
Miki, Roles of ATP-sensitive K+ channels in cell survival and differentiation in the endocrine pancreas. 2001, Pubmed
Miller, Quorum sensing in bacteria. 2001, Pubmed
Moczek, The role of developmental plasticity in evolutionary innovation. 2011, Pubmed
Monteiro, V-ATPase proton pumping activity is required for adult zebrafish appendage regeneration. 2014, Pubmed
Moore, The role of the Cer1 transposon in horizontal transfer of transgenerational memory. 2021, Pubmed
Moore, Inform: Efficient Information-Theoretic Analysis of Collective Behaviors. 2018, Pubmed
Nesbitt, Intercellular calcium communication regulates platelet aggregation and thrombus growth. 2003, Pubmed
Ng, Encoding specificity in plant calcium signalling: hot-spotting the ups and downs and waves. 2003, Pubmed
Nicolas, Ex Vivo Cell Therapy by Ectopic Hepatocyte Transplantation Treats the Porcine Tyrosinemia Model of Acute Liver Failure. 2020, Pubmed
Nikolits, Towards Physiologic Culture Approaches to Improve Standard Cultivation of Mesenchymal Stem Cells. 2021, Pubmed
Nishimura, Unusually Large Number of Mutations in Asexually Reproducing Clonal Planarian Dugesia japonica. 2015, Pubmed
Noguera, Bird embryos perceive vibratory cues of predation risk from clutch mates. 2019, Pubmed
NULL, Thioridazine. 2008, Pubmed
Oldani, Chimeric xenotransplantation. 2019, Pubmed
Ott, Gregarious desert locusts have substantially larger brains with altered proportions compared with the solitarious phase. 2010, Pubmed
Pai, Transmembrane voltage potential controls embryonic eye patterning in Xenopus laevis. 2012, Pubmed , Xenbase
Pai, HCN2 Rescues brain defects by enforcing endogenous voltage pre-patterns. 2018, Pubmed , Xenbase
Pai, Preventing Ethanol-Induced Brain and Eye Morphology Defects Using Optogenetics. 2019, Pubmed , Xenbase
Parodi, Relationships between mutation and transformation frequencies in mammalian cells treated "in vitro" with chemical carcinogens. 1977, Pubmed
Peak, Evidence for complex, collective dynamics and emergent, distributed computation in plants. 2004, Pubmed
Pearson, ATP released via gap junction hemichannels from the pigment epithelium regulates neural retinal progenitor proliferation. 2005, Pubmed
Peixoto, From 1957 to Nowadays: A Brief History of Epigenetics. 2020, Pubmed
Pezzulo, Re-membering the body: applications of computational neuroscience to the top-down control of regeneration of limbs and other complex organs. 2015, Pubmed
Place, Limitations of oxygen delivery to cells in culture: An underappreciated problem in basic and translational research. 2017, Pubmed
Power, What can ecosystems learn? Expanding evolutionary ecology with learning theory. 2015, Pubmed
Quadrana, Plant Transgenerational Epigenetics. 2016, Pubmed
Ramos-Cruz, Epigenetics in plant organismic interactions. 2021, Pubmed
Rio, Local interactions underlying collective motion in human crowds. 2018, Pubmed
Ritchie, limma powers differential expression analyses for RNA-sequencing and microarray studies. 2015, Pubmed
Robinson, A scaling normalization method for differential expression analysis of RNA-seq data. 2010, Pubmed
Romano, An integrated calcium imaging processing toolbox for the analysis of neuronal population dynamics. 2017, Pubmed
Rosenthal, Revealing the hidden networks of interaction in mobile animal groups allows prediction of complex behavioral contagion. 2015, Pubmed
Rubin, Cellular aging, destabilization, and cancer. 1996, Pubmed
Rubin, Ordered heterogeneity and its decline in cancer and aging. 2007, Pubmed
Rubin, What keeps cells in tissues behaving normally in the face of myriad mutations? 2006, Pubmed
Rubin, Cancer as a dynamic developmental disorder. 1985, Pubmed
Sanderson, Mechanisms and function of intercellular calcium signaling. 1994, Pubmed
Schiffmann, An hypothesis: phosphorylation fields as the source of positional information and cell differentiation--(cAMP, ATP) as the universal morphogenetic Turing couple. 1991, Pubmed
Sehgal, Impact of Skin-to-Skin Parent-Infant Care on Preterm Circulatory Physiology. 2020, Pubmed
Sennoune, V-ATPase regulates communication between microvascular endothelial cells and metastatic cells. 2014, Pubmed
Shimizu, Transplantation analysis of developmental mechanisms in Hydra. 2012, Pubmed
Shoshani, Cell isolation induces fate changes of bone marrow mesenchymal cells leading to loss or alternatively to acquisition of new differentiation potentials. 2014, Pubmed
Simpson, Simulating invasion with cellular automata: connecting cell-scale and population-scale properties. 2007, Pubmed
Siregar, Computational morphogenesis - Embryogenesis, cancer research and digital pathology. 2018, Pubmed
Siregar, A general framework dedicated to computational morphogenesis Part I - Constitutive equations. 2018, Pubmed
Solé, Synthetic collective intelligence. 2016, Pubmed
Stark, Amorphous computing: examples, mathematics and theory. 2013, Pubmed
Strandburg-Peshkin, GROUP DECISIONS. Shared decision-making drives collective movement in wild baboons. 2015, Pubmed
Strogatz, Coupled oscillators and biological synchronization. 1993, Pubmed
Talamali, When less is more: Robot swarms adapt better to changes with constrained communication. 2021, Pubmed
Tammen, Epigenetics: the link between nature and nurture. 2013, Pubmed
Tanaka, The mechanism controlling phenotypic plasticity of body color in the desert locust: some recent progress. 2016, Pubmed
Thanacoody, Thioridazine: the good and the bad. 2011, Pubmed
Thompson, Environmental epigenetics and epigenetic inheritance in domestic farm animals. 2020, Pubmed
Tung, Extra-genomic instructive influences in morphogenesis: A review of external signals that regulate growth and form. 2020, Pubmed
Urbanek, Antagonistic properties of four suramin-related compounds at vascular purine P2X receptors in the pithed rat. 1990, Pubmed
Verweij, Live Tracking of Inter-organ Communication by Endogenous Exosomes In Vivo. 2019, Pubmed
Ward, Developmental effects of the uterine environment: dependence on fetal sex in rats. 1977, Pubmed
Weissman, Calcium waves propagate through radial glial cells and modulate proliferation in the developing neocortex. 2004, Pubmed
West-Eberhard, Phenotypic accommodation: adaptive innovation due to developmental plasticity. 2005, Pubmed
West-Eberhard, Developmental plasticity and the origin of species differences. 2005, Pubmed
Wiedemar, 100 Years of Suramin. 2020, Pubmed
Xing, Spatiotemporal Characteristics of Intercellular Calcium Wave Communication in Micropatterned Assemblies of Single Cells. 2018, Pubmed
Yu, clusterProfiler: an R package for comparing biological themes among gene clusters. 2012, Pubmed
