Click here to close Hello! We notice that you are using Internet Explorer, which is not supported by Xenbase and may cause the site to display incorrectly. We suggest using a current version of Chrome, FireFox, or Safari.
XB-ART-60760
Development 2024 Jul 15;15114:. doi: 10.1242/dev.202693.
Show Gene links Show Anatomy links

SoxB1 transcription factors are essential for initiating and maintaining neural plate border gene expression.

Schock EN, York JR, Li AP, Tu AY, LaBonne C.


???displayArticle.abstract???
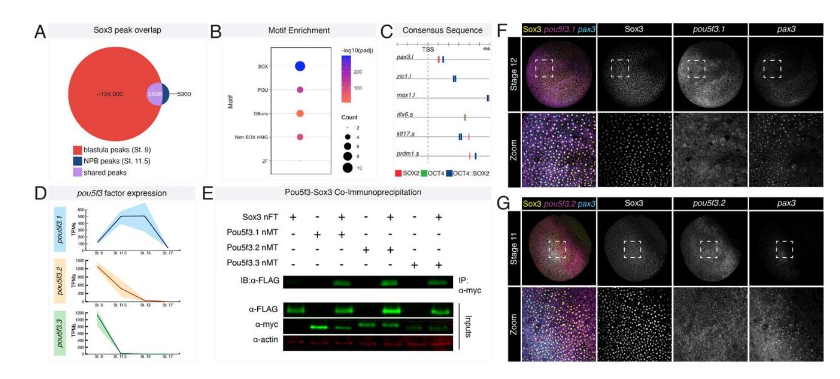
SoxB1 transcription factors (Sox2/3) are well known for their role in early neural fate specification in the embryo, but little is known about functional roles for SoxB1 factors in non-neural ectodermal cell types, such as the neural plate border (NPB). Using Xenopus laevis, we set out to determine if SoxB1 transcription factors have a regulatory function in NPB formation. Herein, we show that SoxB1 factors are necessary for NPB formation, and that prolonged SoxB1 factor activity blocks the transition from a NPB to a neural crest state. Using ChIP-seq we demonstrate that Sox3 is enriched upstream of NPB genes in early NPB cells and in blastula stem cells. Depletion of SoxB1 factors in blastula stem cells results in downregulation of NPB genes. Finally, we identify Pou5f3 factors as potential Sox3 partners in regulating the formation of the NPB and show their combined activity is needed for normal NPB gene expression. Together, these data identify a novel role for SoxB1 factors in the establishment and maintenance of the NPB, in part through partnership with Pou5f3 factors.

???displayArticle.pubmedLink??? 38940470
???displayArticle.pmcLink??? PMC11369808
???displayArticle.link??? Development
???displayArticle.grants??? [+]

Species referenced: Xenopus laevis
Genes referenced: dlx5 dlx6 foxd3 foxi2 gapdh klf17 lin28a msx1 myc npb odc1 olig2 pax3 pax7 pou5f3 pou5f3.2 pou5f3.3 prdm1 psmd6 six1 snai2 sox10 sox2 sox3 tfap2a ubc ventx2.2 zic1
GO keywords: Wnt signaling pathway [+]
???displayArticle.antibodies??? Acta1 Ab6 FLAG Ab3 Myc Ab1
???displayArticle.morpholinos??? pou5f3.1 MO6 pou5f3.2 MO8 pou5f3.2 MO9 pou5f3 MO5 sox2 MO6 sox3 MO4


???attribute.lit??? ???displayArticles.show???