Click here to close
Hello! We notice that you are using Internet Explorer, which is not supported by Xenbase and may cause the site to display incorrectly.
We suggest using a current version of Chrome,
FireFox, or Safari.
Biol Open
2012 Jul 15;110:937-48. doi: 10.1242/bio.20121594.
Show Gene links
Show Anatomy links
Gene expression patterns specific to the regenerating limb of the Mexican axolotl.
Monaghan JR, Athippozhy A, Seifert AW, Putta S, Stromberg AJ, Maden M, Gardiner DM, Voss SR.
???displayArticle.abstract???
Salamander limb regeneration is dependent upon tissue interactions that are local to the amputation site. Communication among limbepidermis, peripheral nerves, and mesenchyme coordinate cell migration, cell proliferation, and tissue patterning to generate a blastema, which will form missing limb structures. An outstanding question is how cross-talk between these tissues gives rise to the regeneration blastema. To identify genes associated with epidermis-nerve-mesenchymal interactions during limb regeneration, we examined histological and transcriptional changes during the first week following injury in the wound epidermis and subjacent cells between three injury types; 1) a flank wound on the side of the animal that will not regenerate a limb, 2) a denervated limb that will not regenerate a limb, and 3) an innervated limb that will regenerate a limb. Early, histological and transcriptional changes were similar between the injury types, presumably because a common wound-healing program is employed across anatomical locations. However, some transcripts were enriched in limbs compared to the flank and are associated with vertebrate limb development. Many of these genes were activated before blastema outgrowth and expressed in specific tissue types including the epidermis, peripheral nerve, and mesenchyme. We also identified a relatively small group of transcripts that were more highly expressed in innervated limbs versus denervated limbs. These transcripts encode for proteins involved in myelination of peripheral nerves, epidermal cell function, and proliferation of mesenchymal cells. Overall, our study identifies limb-specific and nerve-dependent genes that are upstream of regenerative growth, and thus promising candidates for the regulation of blastema formation.
???displayArticle.pubmedLink???
23213371 ???displayArticle.pmcLink???PMC3507169 ???displayArticle.link???Biol Open ???displayArticle.grants???[+]
Fig. 1. Experimental design of the microarray analysis.(A) Cartoon showing where the limb was amputated in denervated limbs. Denervated nerve tracks are represented by a dashed red line. The bottom cartoon shows the regressing limb around the bone. (B) Cartoon showing an innervated limb with a solid line representing the nerves. The bottom cartoon shows the innervation of the amputation stump, thickening of the WE, and the beginning of cell accumulation underneath the WE. (C) Cartoon showing where the flank wound was administered on the flank of the animal. The bottom cartoon shows how deep the flank wound enters into the axolotl flank. (D) Schematic showing the 16 contrasts made in the analysis of the microarray. Notice that comparisons were performed over time and between treatments.
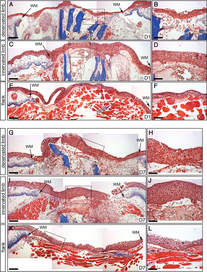
Fig. 2. Histology of NL, DL, and FW.Masson's trichrome staining of sections of NL, DL, and FW at 1 dpi (A–F) and 7 dpi (G–L). Area of magnified images on right are boxed in images on left. (A,B) Denervated limb at 1 dpi showing injury closure by the WE and the hemostatic response under the WE. (C,D) Innervated limb 1 dpi showing high similarity to the denervated limb. Normal epidermis and dermis can be seen outside the wound margins (WM). (E,F) FW at 1 dpi showing that the WE has closed the wound directly over the muscle and that a small hemostatic response is taking place. (G–L) Injuries at 7 dpi showing the thickening of the WE in DL (G,H), NL (I,J), and FW (K,L). Scale bar in A,C,E,G,I,K = 200 µm. Scale bar in B,D,F,H,J,L = 100 µm.
Fig. 3. BrdU staining of sections of injured limbs.(A–C) BrdU staining of NL at 7 dpi. (A,D) Cell proliferation is present in the epidermis near the wound edge in both NL and DL. (B,E) Little DNA synthesis is present in the WE in NL and DL. (C,F) Some DNA synthesis is present in the limb mesenchyme of both NL and DL at 7 dpi. Scale bar in A–F = 100 µm.
Fig. 4. Summary of differentially regulated genes during limb regeneration.(A,B) Venn diagram showing the number of probe sets that measured significantly higher (A) and lower (B) transcript abundances in injured tissues at either 1 dpi versus baseline, 3 dpi versus 1 dpi, or 7 dpi versus 3 dpi. The total number of differentially regulated genes is represented for each injury type. (C) A schematic representing the progression from the total number of probe sets with higher transcript abundance in injured NL tissues compared with baseline (red circle in A) to the identification of limb-specific and nerve-dependent genes during the first 7 dpi. Numbers outside parentheses represent the total number of probe sets identified and the numbers within parentheses represent unique probe sets that have presumptive human orthologs.
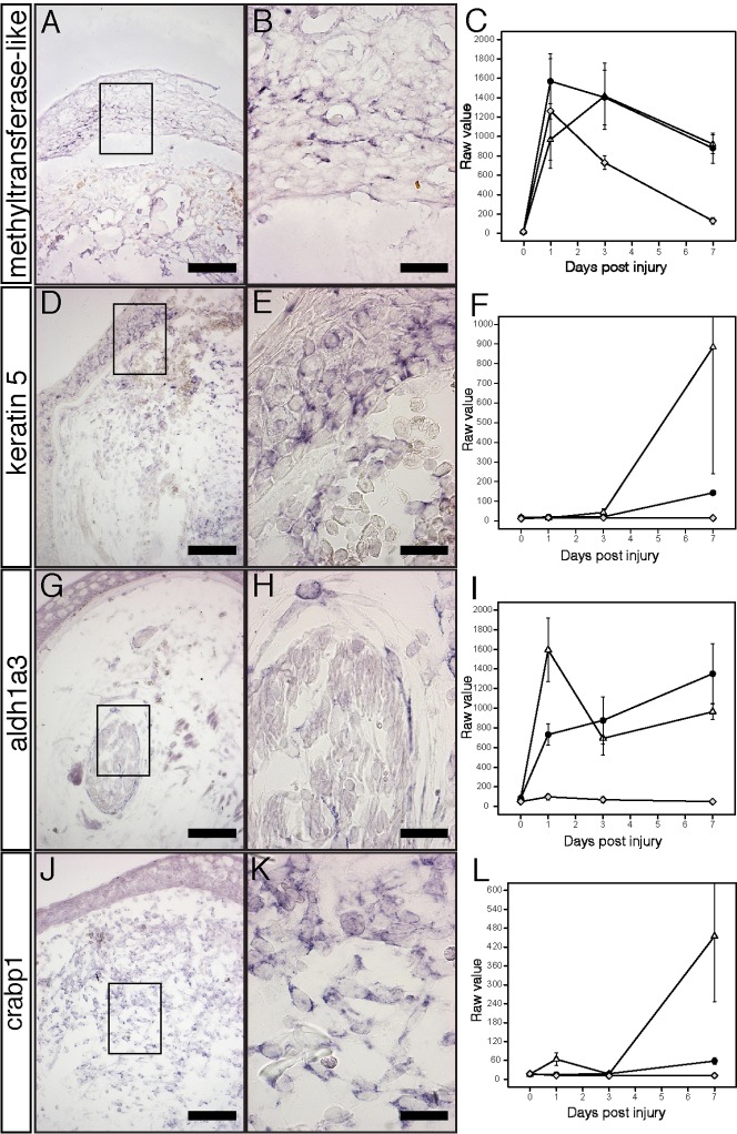
Fig. 5. In situ hybridization (ISH) of limb-enriched genes in NL 7 dpi limbs.(A,B) ISH staining of methyltransferase-like (axo23458-r) showing specific staining in the WE. Close-up of boxed area can be seen in B. (C) Transcriptional profile of methyltransferase-like showing strong up regulation in all injury types, but sustained expression in limbs. Y axis is the raw microarray value with error bars indicating ± SEM. Grey diamond indicates FW. Black circle indicates DL. White triangle indicates NL. (D,E) ISH of krt5 (axo06032-f) showing expression in the WE and underlying mesenchyme. (F) Transcriptional profile of krt5 showing expression only in innervated limbs. (G,H) ISH of aldh1a3 (axo07976-r) showing specific staining in cells surrounding and within peripheral nerve bundles. (I) Transcriptional profile of aldh1a3 showing that mRNA expression is only in limbs. (J,K) ISH of crabp1 (axo10015-r) showing strong staining in mesenchymal cells throughout the early blastema. (L) Transcriptional profile of crabp1 showing that mRNA expression is only expressed in innervated limbs. Scale bar in A,D,G,J = 200 µm. Scale bar in B,E,H,K = 50 µm.