Click here to close Hello! We notice that you are using Internet Explorer, which is not supported by Xenbase and may cause the site to display incorrectly. We suggest using a current version of Chrome, FireFox, or Safari.
XB-ART-61210
Development 2025 Feb 15;1522:. doi: 10.1242/dev.202865.
Show Gene links Show Anatomy links

Nup107 contributes to the maternal-to-zygotic transition by preventing the premature nuclear export of pri-miR427.

Kostiuk V, Kabir R, Levangie K, Empke S, Morgan K, Owens NDL, Lusk CP, Khokha MK.


???displayArticle.abstract???
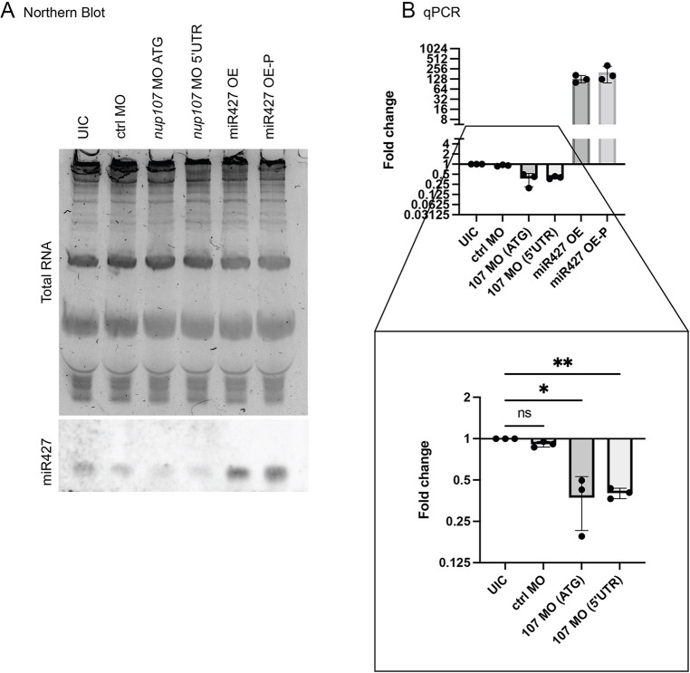
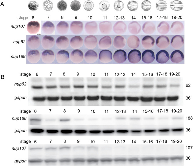
Emerging evidence suggests that the nuclear pore complex can have unique compositions and distinct nucleoporin functions in different cells. Here, we show that Nup107, a key component of the NPC scaffold, varies in expression over development: it is expressed at higher levels in the blastula compared to the gastrula, suggesting a crucial role before gastrulation in Xenopus. We find that depletion of Nup107 affects the differentiation of the early germ layers leading to an expansion of the ectoderm at the expense of endoderm and mesoderm. By analyzing an RNA-sequencing time course, we observed that depletion of Nup107 affects the maternal-zygotic transition by delaying the degradation of maternal transcripts that occurs as zygotic transcription begins. The transcripts are enriched in recognition sites for miR427, a conserved microRNA that destabilizes maternal transcripts including REST, which encodes a Kruppel-type zinc-finger transcription factor that we demonstrate is crucial for ectodermal cell fates. Mechanistically, we show that Nup107 is required to prevent the premature export of pri-miR427 transcript before processing. Nup107 depletion leads to the reduced production of mature miR427 and maternal transcript stabilization. We conclude that high levels of Nup107 in the early embryo are crucial for the nuclear retention and subsequent processing of pri-miR427 transcripts that is required for timely maternal RNA clearance to enable gastrulation.

???displayArticle.pubmedLink??? 39791357
???displayArticle.pmcLink??? PMC11829755
???displayArticle.link??? Development
???displayArticle.grants??? [+]


???displayArticle.gses??? GSE254871: NCBI

???attribute.lit??? ???displayArticles.show???