Click here to close Hello! We notice that you are using Internet Explorer, which is not supported by Xenbase and may cause the site to display incorrectly. We suggest using a current version of Chrome, FireFox, or Safari.
XB-ART-61370
Exp Cell Res 2025 Apr 28;4491:114579. doi: 10.1016/j.yexcr.2025.114579.
Show Gene links Show Anatomy links

NF-κB signaling and its anti-apoptotic effects in liver & skeletal muscle of dehydrated Xenopus laevis.

Biggar Y, Kamath AA, Breedon SA, Storey KB.


???displayArticle.abstract???
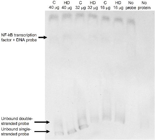
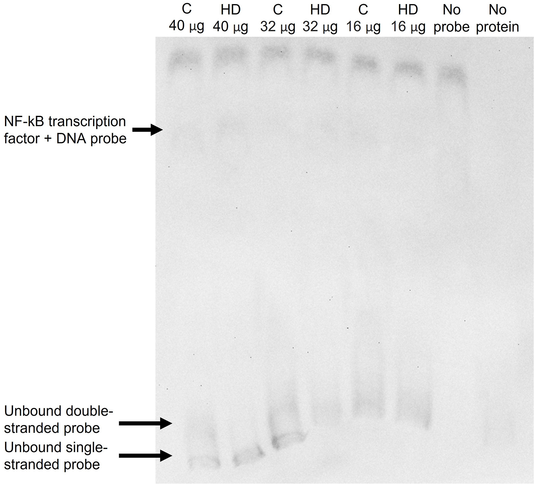
The African clawed frog, Xenopus laevis, is able to survive prolonged arid conditions during seasonal droughts. During these conditions, X. laevis enters aestivation whereby its metabolic rate is suppressed, urea and ammonia levels increase, and its physiological functions slow. Various molecular mechanisms are employed by X. laevis to mitigate the deleterious effects of severe dehydration and hypometabolism, including pro-survival cellular processes that protect cells and tissues from damage and atrophy. While previous research has focused on antioxidant proteins' role in preventing oxidative stress, information on the role of anti-apoptotic signaling in X. laevis is lacking. As such, we investigated the role of nuclear factor-kappa B (NF-κB) signaling and its downstream target genes in liver and skeletal muscle tissue of X. laevis. The transcription factor, NF-κB, and its downstream target genes work to inhibit apoptotic machinery and promote cell survival. Herein, we found that NF-κB signaling activation in liver tissue leads to the selective upregulation of downstream anti-apoptotic proteins. In contrast, this upregulation occurs independently of NF-κB signaling in skeletal muscle tissue. Overall, our results serve to expand our knowledge of the anti-apoptotic mechanisms underlying the natural dehydration-tolerance of X. laevis, including its likely use in mitigating tissue atrophy during aestivation.

???displayArticle.pubmedLink??? 40306608
???displayArticle.link??? Exp Cell Res


Species referenced: Xenopus laevis
GO keywords: transcription factor complex [+]


???attribute.lit??? ???displayArticles.show???