Click here to close Hello! We notice that you are using Internet Explorer, which is not supported by Xenbase and may cause the site to display incorrectly. We suggest using a current version of Chrome, FireFox, or Safari.
XB-ART-61653
Commun Biol 2025 Dec 27;91:142. doi: 10.1038/s42003-025-09422-9.
Show Gene links Show Anatomy links

PRICKLE3 protects VANGL proteins from CK1-mediated phosphorylation and RNF43-mediated degradation.

Radaszkiewicz KA, Radaszkiewicz TW, Kolářová P, Paclíková P, Gömöryová K, Novotná Š, Maia LA, Číhalová T, Le Y, Bárta T, Hanáková K, Hýsková A, Tripsianes K, Zdráhal Z, Winkler C, Harnoš J.


???displayArticle.abstract???
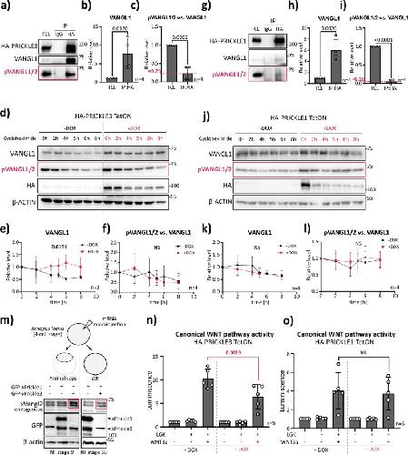
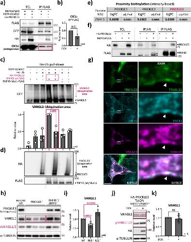
The PRICKLE proteins (PRICKLE1-PRICKLE4) play essential roles in the WNT/planar cell polarity (WNT/PCP) pathway in vertebrates. This signaling system governs cell polarity, tissue architecture, and coordinated cell movements, yet the specific roles and molecular mechanisms of individual PRICKLE members within this pathway are poorly understood. Here, we identify PRICKLE3 as a previously unrecognized, central regulator of WNT/PCP signaling in human cells, Xenopus laevis and zebrafish (Danio rerio) embryos. Using enhanced proximity biotinylation (miniTurboID) combined with mass spectrometry, we found PRICKLE3 enriched at the plasma membrane, where it associates with core WNT/PCP proteins, including VANGL1 and VANGL2. Through immunoblotting, live imaging and functional assays, we further demonstrated that PRICKLE3 selectively enhances VANGL1/2 stability by protecting them from Casein kinase 1ε (CK1ε)-mediated phosphorylation. Mechanistically, PRICKLE3 modulates an interaction network involving VANGL1/2, CK1ε, and the ubiquitin ligase RNF43, thereby increasing VANGL stabilization and accumulation at the plasma membrane. These effects were unique to PRICKLE3, as PRICKLE1 showed no comparable activity. Together, our findings reveal a PRICKLE3-specific mechanism that couples CK1ε inhibition with RNF43 suppression to stabilize VANGL complexes. We also provide a comprehensive interactome and molecular tools to support further functional dissection of the PRICKLE family in development and disease.

???displayArticle.pubmedLink??? 41455754
???displayArticle.pmcLink??? PMC12859043
???displayArticle.link??? Commun Biol
???displayArticle.grants??? [+]

Species referenced: Xenopus laevis
Genes referenced: prickle3 rnf43 vangl1 vangl2
GO keywords: Wnt signaling pathway


???attribute.lit??? ???displayArticles.show???