Click here to close Hello! We notice that you are using Internet Explorer, which is not supported by Xenbase and may cause the site to display incorrectly. We suggest using a current version of Chrome, FireFox, or Safari.
XB-ART-6383
Mech Dev 2002 Nov 01;1191:45-54. doi: 10.1016/s0925-4773(02)00287-3.
Show Gene links Show Anatomy links

Role of 14-3-3 proteins in early Xenopus development.

Wu C, Muslin AJ.


???displayArticle.abstract???
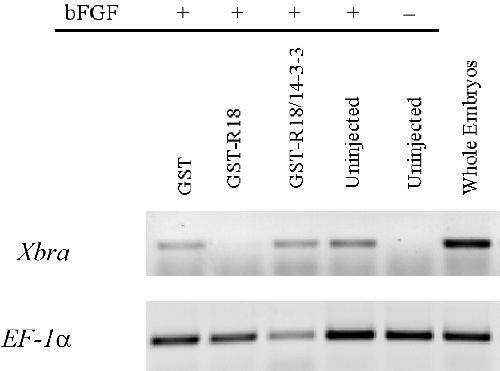
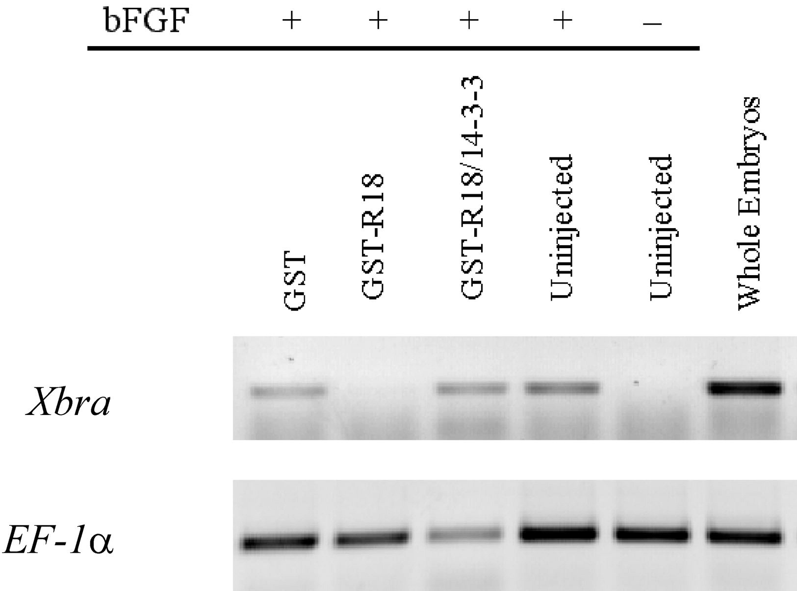
14-3-3 proteins are intracellular dimeric phosphoserine/threonine-binding molecules that participate in signal transduction and checkpoint control pathways. 14-3-3 proteins are required for normal eye development, brain function, and terminal patterning in Drosophila melanogaster, but the role of 14-3-3 proteins in vertebrate development is undefined. In this work an unphosphorylated peptide inhibitor of 14-3-3, R18, was used to determine the role of 14-3-3 proteins in Xenopus embryonic development. Biochemical analysis demonstrated that R18 was specific and efficient at attenuating global 14-3-3 activities in Xenopus embryos. Microinjection experiments showed a requirement for 14-3-3 function in mesodermal specification. Inhibition of 14-3-3 resulted in embryos with axial patterning defects and reduced expression of mesodermal marker genes. These phenotypic defects were caused by impaired fibroblast growth factor signaling in R18-injected embryos. These results establish the importance of 14-3-3 proteins in vertebrate embryonic development.

???displayArticle.pubmedLink??? 12385753
???displayArticle.link??? Mech Dev
???displayArticle.grants??? [+]

Species referenced: Xenopus
Genes referenced: chrd fgf2 gsc myod1 raf1 tbxt wnt8a


???attribute.lit??? ???displayArticles.show???