Click here to close Hello! We notice that you are using Internet Explorer, which is not supported by Xenbase and may cause the site to display incorrectly. We suggest using a current version of Chrome, FireFox, or Safari.
XB-ART-8719
Dev Biol 2001 Aug 01;2361:109-23. doi: 10.1006/dbio.2001.0310.
Show Gene links Show Anatomy links

Mesoderm formation in Eleutherodactylus coqui: body patterning in a frog with a large egg.

Ninomiya H, Zhang Q, Elinson RP.


???displayArticle.abstract???
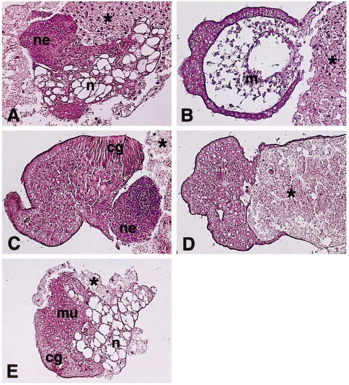
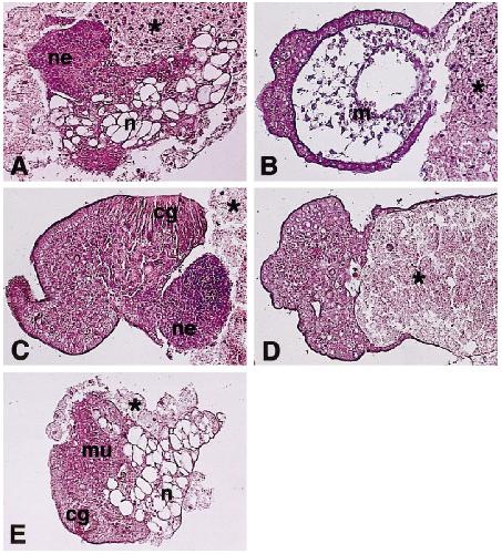
The direct developing frog, Eleutherodactylus coqui, develops from a large egg (diameter 3.5 mm). To investigate the effect of egg size on germ-layer formation, we studied mesoderm formation in E. coqui and compared it to that of Xenopus laevis (diameter 1.3 mm). First, we identified the position of prospective mesoderm in the 16-cell E. coqui embryo by cell-lineage tracing. Although the animal blastomeres are small, they form most of the blastocoel roof and make extensive contributions to some mesodermal tissues. Second, we performed recombinant analysis with X. laevis animal caps to define the distribution of mesoderm-inducing activity. Mesoderm-inducing activity in E. coqui was restricted around the marginal zone with strong activity in the superficial cells. Neither the vegetal pole nor the blastocoel floor had activity, although these same regions from X. laevis induced mesoderm. Third, we cloned Ecbra, a homologue of Xbra, an early mesoderm marker in X. laevis. Ecbra was expressed in the marginal ring close to the surface, similar to X. laevis, but E. coqui had weaker expression on the dorsal side. Our results suggest that mesoderm formation is shifted more animally and superficially in E. coqui compared to X. laevis.

???displayArticle.pubmedLink??? 11456448
???displayArticle.link??? Dev Biol


Species referenced: Xenopus laevis
Genes referenced: tbxt


???attribute.lit??? ???displayArticles.show???