Click here to close Hello! We notice that you are using Internet Explorer, which is not supported by Xenbase and may cause the site to display incorrectly. We suggest using a current version of Chrome, FireFox, or Safari.

XB-ANTIBODY-14586223

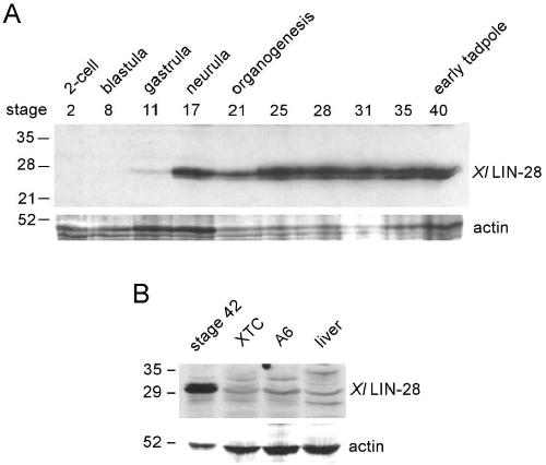
Antibody Name: Lin28a Ab1

Common Name: Lin-28

RRID:
Synonyms:

Antigens
Gene: lin28a

Clone Type: unknown
Source:

Antibody
Clone Number
Purification
Isotype isotype unknown
Host Organism rat
Xenopus Reactivity X. tropicalis, X. laevis
Non-Xenopus Reactivity
Description:
Immunogen
Name Lin-28
Type polypeptide
Post Translational Modifications None
Source Organism frog
Description
Sequence
Reported Usage
western blot
Publications
???displayAntibody.papersFirst??? Conservation of the heterochronic regulator Lin-28, its developmental expression and microRNA complementary sites., Dev Biol 2003     
???displayAntibody.papersRecent???
???displayAntibody.papersAll???