Click here to close Hello! We notice that you are using Internet Explorer, which is not supported by Xenbase and may cause the site to display incorrectly. We suggest using a current version of Chrome, FireFox, or Safari.

Summary Images Attributions Wiki Source
XB-ANTIBODY-16331773

Antibody Name: Itga6 Ab1

Common Name: Integrin A6

RRID:
Synonyms: alpha 6

Antigens
Gene: itga6
XAO: neuroectoderm, central nervous system

Clone Type: Polyclonal
Source:

Antibody
Clone Number
Purification
Isotype IgG
Host Organism rabbit
Xenopus Reactivity X. tropicalis, X. laevis
Non-Xenopus Reactivity human
Description: Generated by Reichardt lab in 1993
Immunogen
Name Integrin A6
Type polypeptide
Post Translational Modifications None
Source Organism human
Description human integrin A6-a cytoplasmic domain
Sequence
Reported Usage
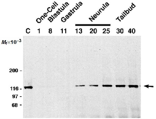
western blot 128kDa
Publications
???displayAntibody.papersFirst??? Function and spatial distribution in developing chick retina of the laminin receptor alpha 6 beta 1 and its isoforms., Development 1993  
???displayAntibody.papersRecent??? Integrin alpha 6 expression is required for early nervous system development in Xenopus laevis., Development 1996     
???displayAntibody.papersAll???