Click here to close Hello! We notice that you are using Internet Explorer, which is not supported by Xenbase and may cause the site to display incorrectly. We suggest using a current version of Chrome, FireFox, or Safari.

Summary Attributions Wiki
XB-MORPHOLINO-18328633

Morpholino Name: tril MO2
Synonyms:
Target mRNA: tril

Morpholino Type: uncategorized morpholino
Sequence: 5' TCCCAAACTGCTTAAACTGTCAGCT 3'

Source: Gene Tools LLC


Target mRNA tropicalis laevis.L laevis.S
Identities 22/25 24/25 23/25
genome
MO
5' AGCTGACAATTGAAGCAGTTTGGAA 3'
   |||||||| || ||||||||||| |
3' TCGACTGTCAAATTCGTCAAACCCT 5'
5' AGCTGACAGTATAAGCAGTTTGGGA 3'
   |||||||||| ||||||||||||||
3' TCGACTGTCAAATTCGTCAAACCCT 5'
5' AGCTGACAATTTAAGCAGTTTGGAA 3'
   |||||||| |||||||||||||| |
3' TCGACTGTCAAATTCGTCAAACCCT 5'
   
Genomic Alignments Position Identity Strand Target Target mRNA
laevis 10.1 Chr6L:44467827..44467851 24/25 Antisense target tril.L
Chr6S:35748113..35748137 23/25 Antisense target tril.S
Chr6S:35750640..35750664 24/25 unknown
Chr2S:27162552..27162576 21/25 unknown
Chr3L:55053580..55053604 21/25 unknown
Chr4S:116008586..116008610 21/25 unknown
Chr1L:170418244..170418268 21/25 unknown
Chr9_10S:55958001..55958025 21/25 unknown
Chr1S:194221053..194221077 21/25 unknown
tropicalis 10.0 Chr6:43196652..43196676 22/25 Antisense target tril
Chr4:36787025..36787049 22/25 unknown
Publications
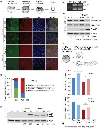
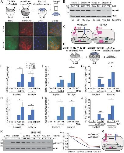
???morpholino.displaySummary.papersFirst??? Tril targets Smad7 for degradation to allow hematopoietic specification in Xenopus embryos., Development 2016     
???morpholino.displaySummary.papersRecent??? Tril dampens Nodal signaling through Pellino2- and Traf6-mediated activation of Nedd4l., Proc Natl Acad Sci U S A 2021     
???morpholino.displaySummary.papersAll???