|
XB-MORPHOLINO-18373831
Morpholino Name:
hif1an MO1
Synonyms: hif1an MO
Target mRNA: hif1an
Morpholino Type: uncategorized morpholino
Sequence: 5' CCGGCGTGACAGCACAGACCTGAAA 3'
Source: Gene Tools LLC
Synonyms: hif1an MO
Target mRNA: hif1an
Morpholino Type: uncategorized morpholino
Sequence: 5' CCGGCGTGACAGCACAGACCTGAAA 3'
Source: Gene Tools LLC
| Target mRNA | tropicalis | laevis.L | laevis.S | ||||
| Identities | 24/25 | 25/25 | 25/25 | ||||
genome
MO
|
5' TTTCGGGTCTGTGCTGTCACGCCGG 3'
|||| ||||||||||||||||||||
3' AAAGTCCAGACACGACAGTGCGGCC 5' |
5' TTTCAGGTCTGTGCTGTCACGCCGG 3' ||||||||||||||||||||||||| 3' AAAGTCCAGACACGACAGTGCGGCC 5' |
5' TTTCAGGTCTGTGCTGTCACGCCGG 3' ||||||||||||||||||||||||| 3' AAAGTCCAGACACGACAGTGCGGCC 5' |
||||
| Genomic Alignments |
Position | Identity | Strand | Target | Target mRNA | ||
| laevis 10.1 | Chr7L:40352294..40352318 | 25/25 | Antisense | target | hif1an.L | ||
| Chr7S:31677811..31677835 | 25/25 | Antisense | target | hif1an.S | |||
| Chr6S:118974336..118974360 | 21/25 | Antisense | off-target | zfpm2.S | tropicalis 10.0 | Chr7:42621903..42621927 | 24/25 | Antisense | target | hif1an |
| Chr6:1573452..1573476 | 21/25 | Antisense | off-target | kcnh2 | |||
| Chr6:151897296..151897320 | 21/25 | unknown | |||||
| Chr6:3665477..3665501 | 21/25 | unknown | |||||
| Publications | |||||||
| ???morpholino.displaySummary.papersFirst??? |
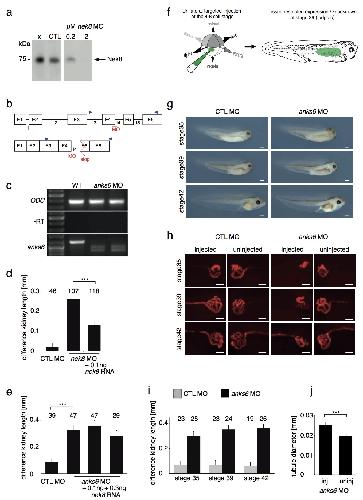
ANKS6 is a central component of a nephronophthisis module linking NEK8 to INVS and NPHP3., Nat Genet 2013 |
||||||
| ???morpholino.displaySummary.papersRecent??? | |||||||
| ???morpholino.displaySummary.papersAll??? | |||||||
