|
XB-MORPHOLINO-18386300
Morpholino Name:
mov10 MO2
Synonyms: z-MO
Target mRNA: mov10
Morpholino Type: splice blocking morpholino
Sequence: 5' TCTTCATGCCTAAGAGGTGGAAGTT 3'
Source: Gene Tools LLC
Synonyms: z-MO
Target mRNA: mov10
Morpholino Type: splice blocking morpholino
Sequence: 5' TCTTCATGCCTAAGAGGTGGAAGTT 3'
Source: Gene Tools LLC
| Target mRNA | laevis.L | ||||||
| Identities | 25/25 | ||||||
genome
MO
|
5' AACTTCCACCTCTTAGGCATGAAGA 3' ||||||||||||||||||||||||| 3' TTGAAGGTGGAGAATCCGTACTTCT 5' |
||||||
| Genomic Alignments |
Position | Identity | Strand | Target | Target mRNA | ||
| laevis 10.1 | Chr2L:77260177..77260201 | 25/25 | Antisense | target | mov10.L | ||
| Publications | |||||||
| ???morpholino.displaySummary.papersFirst??? |
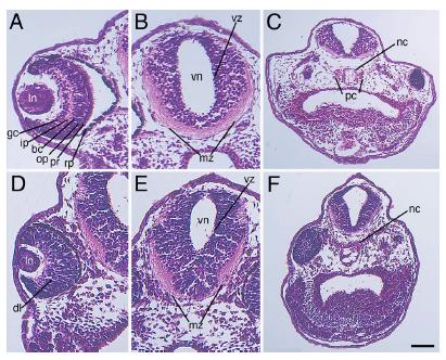
RNA helicase Mov10 is essential for gastrulation and central nervous system development., Dev Dyn 2018 |
||||||
| ???morpholino.displaySummary.papersRecent??? |
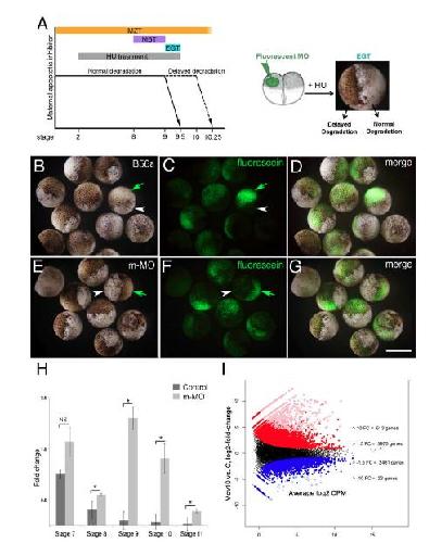
Morpholinos Do Not Elicit an Innate Immune Response during Early Xenopus Embryogenesis., Dev Cell 2019 |
||||||
| ???morpholino.displaySummary.papersAll??? | |||||||
