|
XB-GRNA-23659197
gRNA Name:
rb1 gRNA2
Synonyms: rb1{cr1}
Genomic Target: rb1
PAM Sequence: GGG
Sequence: 5' AGACAAACAAGGGAACGGGA 3'
Synonyms: rb1{cr1}
Genomic Target: rb1
PAM Sequence: GGG
Sequence: 5' AGACAAACAAGGGAACGGGA 3'
| Genomic Target | tropicalis | ||||||
| Identities | 20/20 | ||||||
genome
gRNA
|
5' TCCCGTTCCCTTGTTTGTCT 3' |||||||||||||||||||| 3' AGGGCAAGGGAACAAACAGA 5' |
||||||
| Genomic Alignments |
Position | Identity | Strand | Target | Genomic Target | ||
| laevis 10.1 | Chr5S:65951324..65951343 | 18/20 | Antisense | off-target | crybg1.S | ||
| Chr6S:106985569..106985588 | 17/20 | Sense | off-target | stau2.S | |||
| Chr9_10L:22922051..22922070 | 16/20 | Sense | off-target | sdk2.L | |||
| Chr1L:178315804..178315823 | 16/20 | Sense | off-target | wscd2.L | |||
| Chr5L:114406155..114406174 | 16/20 | Sense | off-target | atp11b.L | |||
| Chr6S:58774228..58774247 | 16/20 | unknown | |||||
| Chr6L:136240367..136240386 | 16/20 | unknown | tropicalis 10.0 | Chr2:135006606..135006625 | 20/20 | Sense | target | rb1 |
| Chr1:205112268..205112287 | 18/20 | unknown | |||||
| Chr4:56351283..56351302 | 18/20 | unknown | |||||
| Chr6:101716027..101716046 | 18/20 | unknown | |||||
| Chr6:30254470..30254489 | 18/20 | unknown | |||||
| Publications | |||||||
| ???morpholino.displaySummary.papersFirst??? |
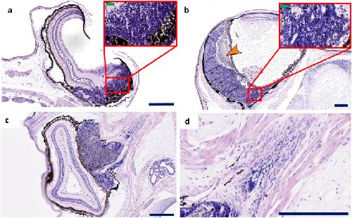
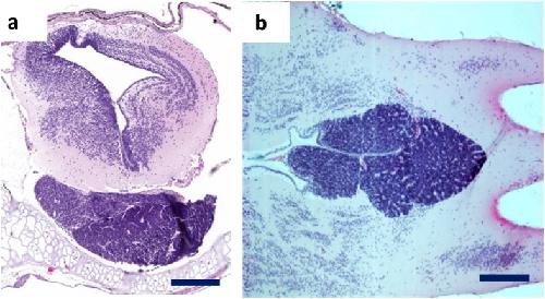
CRISPR/Cas9 mediated knockout of rb1 and rbl1 leads to rapid and penetrant retinoblastoma development in Xenopus tropicalis., Sci Rep 2016 |
||||||
| ???morpholino.displaySummary.papersRecent??? | |||||||
| ???morpholino.displaySummary.papersAll??? | |||||||
