|
XB-GRNA-29072454
| Genomic Target | tropicalis | ||||||
| Identities | 19/20 | ||||||
genome
gRNA
|
5' CCAATGGCAAGCCCGTTACG 3'
|||||||||||||||||||
3' GGTTACCGTTCGGGCAATGG 5' |
||||||
| Genomic Alignments |
Position | Identity | Strand | Target | Genomic Target | ||
| laevis 10.1 | Chr9_10L:29939387..29939406 | 18/20 | unknown | ||||
| Chr8L:103238605..103238624 | 17/20 | unknown | tropicalis 10.0 | Chr9:19232690..19232709 | 19/20 | Antisense | target | traf7 |
| Publications | |||||||
| ???morpholino.displaySummary.papersFirst??? |
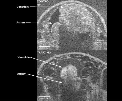
Pleiotropic role of TRAF7 in skull-base meningiomas and congenital heart disease., Proc Natl Acad Sci U S A 2023 |
||||||
| ???morpholino.displaySummary.papersRecent??? | |||||||
| ???morpholino.displaySummary.papersAll??? | |||||||
