|
Literature for DOID 5844: myocardial infarction
Xenbase Articles
(
|
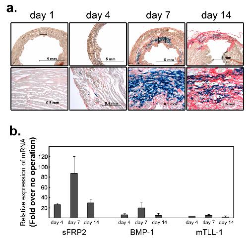
Secreted Frizzled-related protein 2 is a procollagen C proteinase enhancer with a role in fibrosis associated with myocardial infarction.,
Kobayashi K,Luo M,Zhang Y,Zhang Y,Wilkes DC,Ge G,Grieskamp T,Yamada C,Liu TC,Huang G,Basson CT,Kispert A,Greenspan DS,Sato TN,
Nat Cell Biol. January 1, 2009; 11(1):1476-4679.
|
|
Cardiac telocytes exist in the adult Xenopus tropicalis heart.,
Lv L,Liao Z,Luo J,Chen H,Guo H,Yang J,Huang R,Pu Q,Zhao H,Yuan Z,Feng S,Qi X,Cai D,
J Cell Mol Med. February 1, 2020; 24(4):1582-4934.
|
