|
Literature for OMIM 300114: RAYNAUD-CLAES SYNDROME; MRXSRC
Xenbase Articles:
(
|
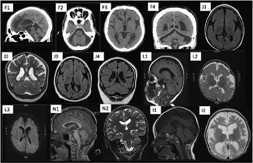
De novo and inherited mutations in the X-linked gene CLCN4 are associated with syndromic intellectual disability and behavior and seizure disorders in males and females.,
Palmer EE,Stuhlmann T,Weinert S,Haan E,Van Esch H,Boyle J,Leffler M,Moraine C,van Bokhoven H,Kleefstra T,Kahrizi K,Najmabadi H,Sirsi D,Golla S,Sommer A,Pietryga MP,Chung WK,Wynn J,Rohena L,Hamlin D,Faux BM,Grange DK,Manwaring L,Tolmie J,Joss S,Cobben JM,Goehringer JM,Challman TD,Hennig F,Fischer U,Grimme A,Suckow V,Musante L,Nicholl J,Shaw M,Niu Z,Rosenfeld JA,Jentsch TJ,Gecz J,Field M,Kalscheuer VM,Lodh SP,Stankiewicz P,Raynaud M,Delgado MR,Bernardo E,Duijkers FAM,Holvoet M,Ropers HH,
Mol Psychiatry. February 1, 2018; 23(2):1476-5578.
|
