|
Literature for OMIM 614931: ECTODERMAL DYSPLASIA 9, HAIR/NAIL TYPE; ECTD9
Xenbase Articles:
(
|
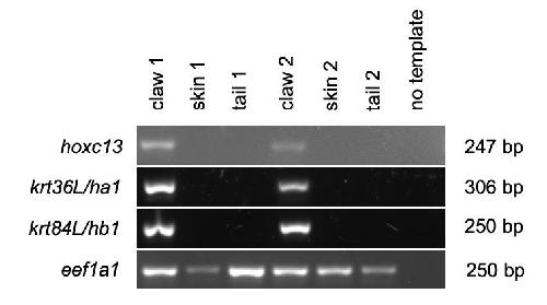
Evolutionary origin of Hoxc13-dependent skin appendages in amphibians.,
Carron M,Sachslehner AP,Cicekdal MB,Bruggeman I,Demuynck S,Golabi B,De Baere E,Declercq W,Tschachler E,Vleminckx K,Eckhart L,
Nat Commun. March 18, 2024; 15(1):2041-1723.
|
