|
Literature for OMIM 615881: PLASMA TRIGLYCERIDE LEVEL QUANTITATIVE TRAIT LOCUS; TGQTL
Xenbase Articles:
(
|
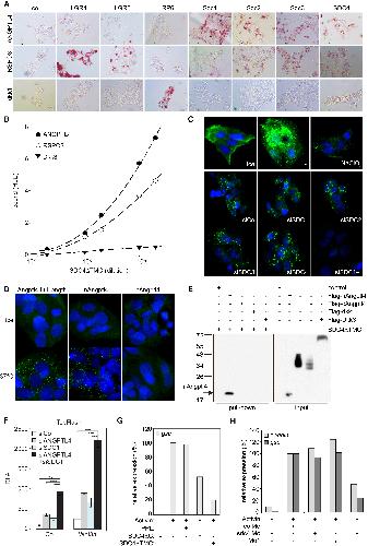
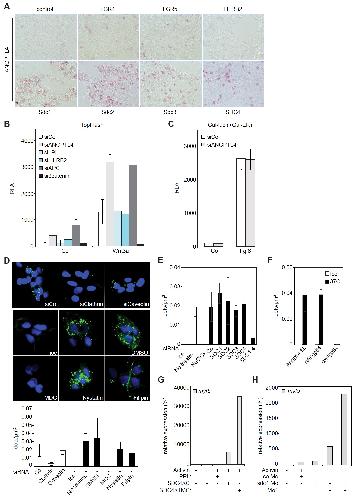
Angiopoietin-like 4 Is a Wnt Signaling Antagonist that Promotes LRP6 Turnover.,
Kirsch N,Chang LS,Koch S,Glinka A,Dolde C,Colozza G,Benitez MDJ,Niehrs C,De Robertis EM,
Dev Cell. October 9, 2017; 43(1):1878-1551.
|
