|
Literature for OMIM 617767: JOUBERT SYNDROME 33; JBTS33
Xenbase Articles:
(
|
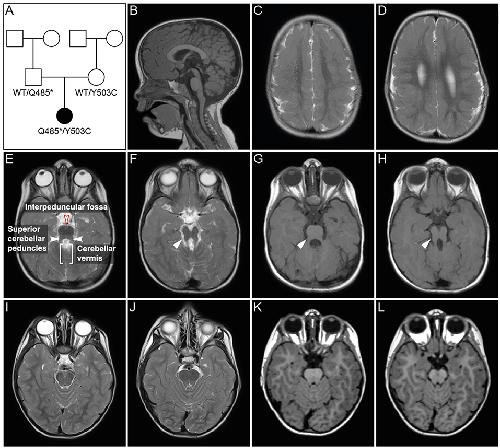
The Frog Xenopus as a Model to Study Joubert Syndrome: The Case of a Human Patient With Compound Heterozygous Variants in PIBF1.,
Ott T,Kaufmann L,Hinderhofer K,Bartram CR,Theiß S,Paramasivam N,Schulz A,Moog U,Evers CM,Granzow M,Seitz A,Blum M,
Front Physiol. January 1, 2019; 10:1664-042X.
|
