Click here to close Hello! We notice that you are using Internet Explorer, which is not supported by Xenbase and may cause the site to display incorrectly. We suggest using a current version of Chrome, FireFox, or Safari.
XB-PHENO-21548

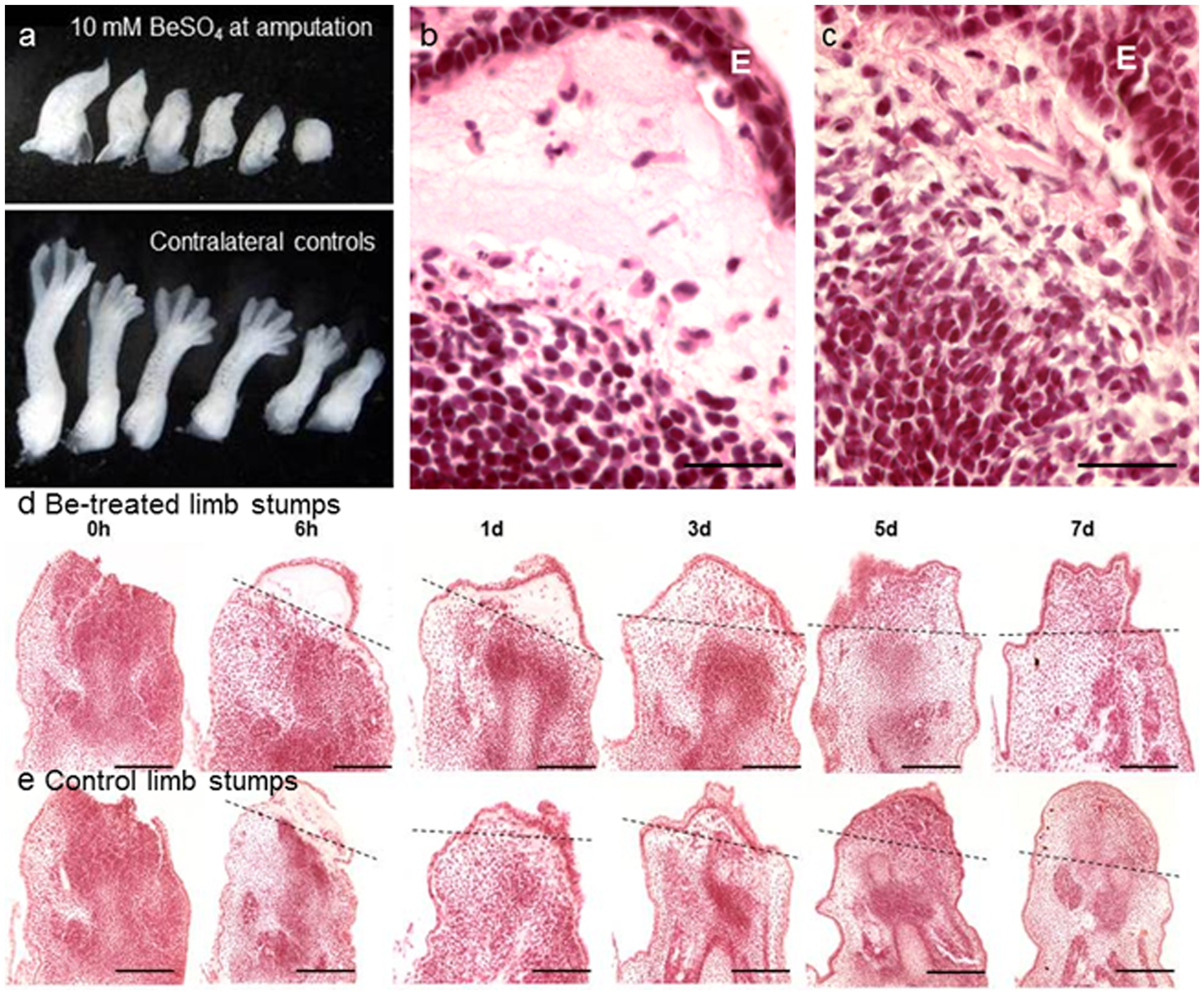
Xla Wt + BeSO4 + hindlimb amputation, Mescher AL et al. (2013)

Experiment + Assay: Xla Wt + BeSO4 + hindlimb amputation + NF57 (stained tissue microscopy)
Background: Xla.Inbred
Manipulations:
Manipulation Type Reagent Target Gene Stage Treatment Area
amputation/regeneration  
NF stage 53 hindlimb
chemical Beryllium sulfate
NF stage 53 whole organism
Conditions:
Assay Type Assay Stages Antibody
stained tissue microscopy NF stage 57  
Anatomical Phenotypes: absent regenerating hindlimb
Source: d
Article: XB-ART-47753, PubMed